ETFB Antibody
-
中文名稱:ETFB兔多克隆抗體
-
貨號:CSB-PA585322
-
規格:¥1100
-
圖片:
-
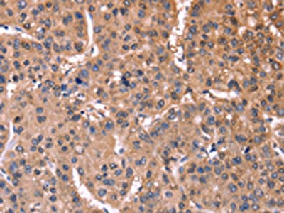
The image on the left is immunohistochemistry of paraffin-embedded Human gastic cancer tissue using CSB-PA585322(ETFB Antibody) at dilution 1/25, on the right is treated with synthetic peptide. (Original magnification: ×200)
-
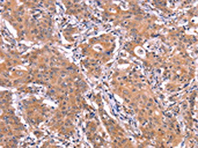
The image on the left is immunohistochemistry of paraffin-embedded Human liver cancer tissue using CSB-PA585322(ETFB Antibody) at dilution 1/25, on the right is treated with synthetic peptide. (Original magnification: ×200)
-
Gel: 10%SDS-PAGE, Lysate: 40 μg, Lane 1-5: HepG2 cells, A549 cells, Hela cells, human fetal liver tissue, mouse liver tissue, Primary antibody: CSB-PA585322(ETFB Antibody) at dilution 1/200, Secondary antibody: Goat anti rabbit IgG at 1/8000 dilution, Exposure time: 40 seconds
-
-
其他:
產品詳情
-
Uniprot No.:
-
基因名:ETFB
-
別名:Beta ETF antibody; Beta-ETF antibody; Electron transfer flavoprotein beta polypeptide antibody; Electron transfer flavoprotein beta subunit antibody; Electron transfer flavoprotein subunit beta antibody; Electron transferring flavoprotein beta polypeptide antibody; etfB antibody; ETFB_HUMAN antibody; FP585 antibody; MADD antibody
-
宿主:Rabbit
-
反應種屬:Human,Mouse
-
免疫原:Synthetic peptide of Human ETFB
-
免疫原種屬:Homo sapiens (Human)
-
標記方式:Non-conjugated
-
抗體亞型:IgG
-
純化方式:Antigen affinity purification
-
濃度:It differs from different batches. Please contact us to confirm it.
-
保存緩沖液:-20°C, pH7.4 PBS, 0.05% NaN3, 40% Glycerol
-
產品提供形式:Liquid
-
應用范圍:ELISA,WB,IHC
-
推薦稀釋比:
Application Recommended Dilution ELISA 1:2000-1:5000 WB 1:500-1:2000 IHC 1:25-1:100 -
Protocols:
-
儲存條件:Upon receipt, store at -20°C or -80°C. Avoid repeated freeze.
-
貨期:Basically, we can dispatch the products out in 1-3 working days after receiving your orders. Delivery time maybe differs from different purchasing way or location, please kindly consult your local distributors for specific delivery time.
-
用途:For Research Use Only. Not for use in diagnostic or therapeutic procedures.
相關產品
靶點詳情
-
功能:Heterodimeric electron transfer flavoprotein that accepts electrons from several mitochondrial dehydrogenases, including acyl-CoA dehydrogenases, glutaryl-CoA and sarcosine dehydrogenase. It transfers the electrons to the main mitochondrial respiratory chain via ETF-ubiquinone oxidoreductase (Probable). Required for normal mitochondrial fatty acid oxidation and normal amino acid metabolism. ETFB binds an AMP molecule that probably has a purely structural role.
-
基因功能參考文獻:
- We identified and replicated a novel gene, ETFB, strongly associated with chronic anthracycline-induced cardiotoxicity independently of age at tumor onset and related to anthracycline-mediated mitochondrial dysfunction PMID: 28913729
- These results suggested that increasing levels of ATP5B and ETFB were associated with worsening renal injury. PMID: 27840937
- the findings of our present study suggest that ETFbeta plays an important role in renal tubular cell apoptosis during the progression of DN. PMID: 27035869
- Electron Transfer Flavoprotein Subunit Beta Is a Candidate Endothelial Cell Autoantigen in Behcet's Disease PMID: 25915519
- Human METTL20 is a mitochondrial lysine methyltransferase that targets ETFbeta and modulates its activity. PMID: 25416781
- ETFB knockdown can affect TGF-beta-induced tissue remodeling and/or fibrotic processes in vitro. PMID: 23068445
- Point mutations in electron-transfer-flavoprotein beta is associated with destabilized conformations and defective protein:protein interactions leading to mitochondrial dysfunction. PMID: 22588007
- ETFB participates in the mechanoregulation of fibroblast cell number in collagen gel culture. PMID: 21903359
- non-productive conformation stabilization underpins rapid electron transfer to electron-transferring flavoprotein PMID: 15975918
- Tissue samples from 16 unrelated patients with ETF deficiency were analysed, two of them harboured mutations in the ETFB gene. PMID: 16510302
- conformational and stability properties of the disease-causing variant ETFbeta-D128N, and our findings on the effect of flavinylation in modulating protein conformational stability and activity. PMID: 19088074
顯示更多
收起更多
-
相關疾病:Glutaric aciduria 2B (GA2B)
-
亞細胞定位:Mitochondrion matrix.
-
蛋白家族:ETF beta-subunit/FixA family
-
組織特異性:Abundant in liver, heart and skeletal muscle. A weak expression is seen in the brain, placenta, lung, kidney and pancreas.
-
數據庫鏈接:
Most popular with customers
-
-
YWHAB Recombinant Monoclonal Antibody
Applications: ELISA, WB, IHC, IF, FC
Species Reactivity: Human, Mouse, Rat
-
Phospho-YAP1 (S127) Recombinant Monoclonal Antibody
Applications: ELISA, WB, IHC
Species Reactivity: Human
-
-
-
-
-















