ESYT2 Antibody
-
中文名稱:ESYT2兔多克隆抗體
-
貨號:CSB-PA008279LA01HU
-
規格:¥440
-
圖片:
-
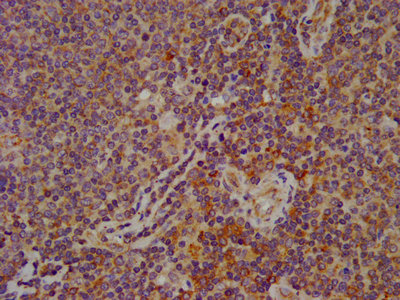
IHC image of CSB-PA008279LA01HU diluted at 1:600 and staining in paraffin-embedded human lymph node tissue performed on a Leica BondTM system. After dewaxing and hydration, antigen retrieval was mediated by high pressure in a citrate buffer (pH 6.0). Section was blocked with 10% normal goat serum 30min at RT. Then primary antibody (1% BSA) was incubated at 4°C overnight. The primary is detected by a biotinylated secondary antibody and visualized using an HRP conjugated SP system.
-
Immunofluorescence staining of A549 cells with CSB-PA008279LA01HU at 1:200, counter-stained with DAPI. The cells were fixed in 4% formaldehyde, permeabilized using 0.2% Triton X-100 and blocked in 10% normal Goat Serum. The cells were then incubated with the antibody overnight at 4°C. The secondary antibody was Alexa Fluor 488-congugated AffiniPure Goat Anti-Rabbit IgG(H+L).
-
-
其他:
產品詳情
-
產品名稱:Rabbit anti-Homo sapiens (Human) ESYT2 Polyclonal antibody
-
Uniprot No.:
-
基因名:ESYT2
-
別名:ESYT2 antibody; FAM62B antibody; KIAA1228Extended synaptotagmin-2 antibody; E-Syt2 antibody; Chr2Syt antibody
-
宿主:Rabbit
-
反應種屬:Human
-
免疫原:Recombinant Human Extended synaptotagmin-2 protein (567-736AA)
-
免疫原種屬:Homo sapiens (Human)
-
標記方式:Non-conjugated
本頁面中的產品,ESYT2 Antibody (CSB-PA008279LA01HU),的標記方式是Non-conjugated。對于ESYT2 Antibody,我們還提供其他標記。見下表:
-
克隆類型:Polyclonal
-
抗體亞型:IgG
-
純化方式:>95%, Protein G purified
-
濃度:It differs from different batches. Please contact us to confirm it.
-
保存緩沖液:Preservative: 0.03% Proclin 300
Constituents: 50% Glycerol, 0.01M PBS, pH 7.4 -
產品提供形式:Liquid
-
應用范圍:ELISA, IHC, IF
-
推薦稀釋比:
Application Recommended Dilution IHC 1:500-1:1000 IF 1:200-1:500 -
Protocols:
-
儲存條件:Upon receipt, store at -20°C or -80°C. Avoid repeated freeze.
-
貨期:Basically, we can dispatch the products out in 1-3 working days after receiving your orders. Delivery time maybe differs from different purchasing way or location, please kindly consult your local distributors for specific delivery time.
-
用途:For Research Use Only. Not for use in diagnostic or therapeutic procedures.
相關產品
靶點詳情
-
功能:Tethers the endoplasmic reticulum to the cell membrane and promotes the formation of appositions between the endoplasmic reticulum and the cell membrane. Binds glycerophospholipids in a barrel-like domain and may play a role in cellular lipid transport. Plays a role in FGF signaling via its role in the rapid internalization of FGFR1 that has been activated by FGF1 binding; this occurs most likely via the AP-2 complex. Promotes the localization of SACM1L at endoplasmic reticulum-plasma membrane contact sites (EPCS).
-
基因功能參考文獻:
- ESyt2 and ESyt3, but not ESyt1, interact with activated FGFR1. PMID: 25922075
- 2.44 A resolution the crystal structure of a fragment of extended synaptotagmin 2, including an SMP domain and two adjacent C2 domains; evidence for a role of SMP-domain-containing proteins in the control of lipid transfer at membrane contact sites PMID: 24847877
- The extended synaptotagmins (E-Syt1, E-Syt2, and E-Syt3) are endoplasmic reticulum-anchored proteins. They form homo- and heteromeric complexes that mediate contacts with the plasma membrane. Such contacts are critically dependent on the presence of PI(4,5)P2 in this membrane and are additionally regulated by cytosolic Ca2+ via the Ca2+-sensing property of E-Syt1. PMID: 23791178
-
亞細胞定位:Cell membrane; Peripheral membrane protein. Endoplasmic reticulum membrane; Multi-pass membrane protein.
-
蛋白家族:Extended synaptotagmin family
-
組織特異性:Widely expressed with high level in cerebellum.
-
數據庫鏈接:
Most popular with customers
-
-
YWHAB Recombinant Monoclonal Antibody
Applications: ELISA, WB, IHC, IF, FC
Species Reactivity: Human, Mouse, Rat
-
Phospho-YAP1 (S127) Recombinant Monoclonal Antibody
Applications: ELISA, WB, IHC
Species Reactivity: Human
-
-
-
-
-















