ESRRG Antibody
-
中文名稱:ESRRG兔多克隆抗體
-
貨號:CSB-PA034482
-
規格:¥1100
-
圖片:
-
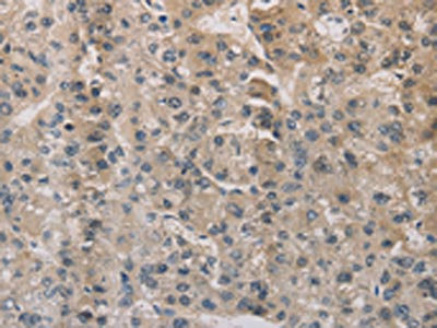
The image on the left is immunohistochemistry of paraffin-embedded Human gastic cancer tissue using CSB-PA034482(ESRRG Antibody) at dilution 1/30, on the right is treated with fusion protein. (Original magnification: ×200)
-
The image on the left is immunohistochemistry of paraffin-embedded Human liver cancer tissue using CSB-PA034482(ESRRG Antibody) at dilution 1/30, on the right is treated with fusion protein. (Original magnification: ×200)
-
-
其他:
產品詳情
-
Uniprot No.:
-
基因名:ESRRG
-
別名:DKFZp781L1617 antibody; ERR 3 antibody; ERR G2 antibody; ERR gamma 2 antibody; ERR gamma-2 antibody; ERR3 antibody; ERR3_HUMAN antibody; ERRG 2 antibody; ERRG2 antibody; ERRgamma antibody; ESRRG antibody; Estrogen receptor related protein 3 antibody; Estrogen receptor-related protein 3 antibody; Estrogen-related receptor gamma antibody; FLJ16023 antibody; KIAA0832 antibody; NR3B3 antibody; Nuclear receptor subfamily 3 group B member 3 antibody
-
宿主:Rabbit
-
反應種屬:Human,Mouse,Rat
-
免疫原:Fusion protein of Human ESRRG
-
免疫原種屬:Homo sapiens (Human)
-
標記方式:Non-conjugated
-
抗體亞型:IgG
-
純化方式:Antigen affinity purification
-
濃度:It differs from different batches. Please contact us to confirm it.
-
保存緩沖液:-20°C, pH7.4 PBS, 0.05% NaN3, 40% Glycerol
-
產品提供形式:Liquid
-
應用范圍:ELISA,IHC
-
推薦稀釋比:
Application Recommended Dilution ELISA 1:2000-1:5000 IHC 1:50-1:200 -
Protocols:
-
儲存條件:Upon receipt, store at -20°C or -80°C. Avoid repeated freeze.
-
貨期:Basically, we can dispatch the products out in 1-3 working days after receiving your orders. Delivery time maybe differs from different purchasing way or location, please kindly consult your local distributors for specific delivery time.
-
用途:For Research Use Only. Not for use in diagnostic or therapeutic procedures.
相關產品
靶點詳情
-
功能:Orphan receptor that acts as transcription activator in the absence of bound ligand. Binds specifically to an estrogen response element and activates reporter genes controlled by estrogen response elements. Induces the expression of PERM1 in the skeletal muscle.
-
基因功能參考文獻:
- ERRgamma may exert oncogenic activity mainly associated with aggressiveness of EC by activating S100A4 transcription. PMID: 29901152
- Loss of ERRgamma in renal epithelial cells Results in Kidney Disease with Cysts. PMID: 29735694
- our present results show an intriguing association between the ESRRG rs1890552 GG genotype and an increased risk of impaired fasting glucose or type 2 diabetes mellitus as well as increased oxidative stress. PMID: 28034514
- It was also associated with beta-cell function (P=1.99 x 10(-3)) and fasting glucose level (P<0.05) in the meta-analyses of glucose and insulin-related traits consortium (MAGIC) data set.Cnoclusions:In summary, we identified epigenomic characteristics for obesity genes and suggested ESRRG as a novel obesity-susceptibility gene PMID: 27113491
- this study elucidates a molecular mechanism linking CB1R signaling, ERRgamma expression and fibrinogen gene transcription. PMID: 28750085
- Disruption of the orphan receptor ESRRG and disruption of KIAA0825 identified in a subject with hearing loss and mild developmental delay. Given the translocation breakpoints and supporting literature, disruption of ESRRG is the most likely cause for the disorder. PMID: 27381092
- Data suggest that activation of ERRgamma is involved in induction of matrix metalloproteinases 2/9 (MMP2 and MMP9) and increased migration/invasiveness of triple-negative breast cancer cells caused by low concentrations of environmental endocrine disruptors (nanomolar bisphenol A used here). PMID: 27038254
- The present results strongly suggest that human nuclear receptor ERRgamma functions as a genuine homomeric dimer with symmetrical dimeric interface regions. PMID: 26662629
- ERRgamma overexpression directs metabolic maturation in human Induced Pluripotent Stem Cells-derived beta-like cells. PMID: 27076077
- Estrogen-related receptor gamma is upregulated in liver cancer and its inhibition suppresses liver cancer cell proliferation via induction of p21 and p27. PMID: 26940882
- Data show that micrRNA miR-320a directly targets cAMP-regulated phosphoprotein 19 (ARPP-19) and estrogen-related receptor gamma protein (ERRgamma) in breast cancer cell lines. PMID: 25736597
- ERRgamma signaling is associated with poor DMFS in ER+, TAM-treated breast cancer PMID: 25971350
- ESRRG is down-regulated in placenta from intrauterine growth restriction tissue. PMID: 26051094
- Results suggest that hypoxia-inducible factor-1alpha can positively regulate the dopaminergic phenotype through estrogen-related receptor gamma . PMID: 25807177
- The results reveal that the double-layer binding sites, namely, the ordinary ligand binding sites and their back support residues, substantiate the strong binding of BPA to ERRgamma. PMID: 24978476
- A role for ESRRG in maternal blood pressure homeostasis during pregnancy. PMID: 24725083
- Report estrogen-mediated cell kinetics and the role of oestrogen-related receptor gamma on biliary epithelial cells in the pathogenesis of primary biliary cirrhosis. PMID: 24687322
- ERRgamma protein levels are affected by the activation state of ERK/mitogen-activated protein kinase, and mutation of consensus ERK target sites impairs ERRgamma-driven transcriptional activity and tamoxifen resistance. PMID: 24684682
- These findings demonstrate a novel ERRgamma/GATA4 signal cascade in the development of cardiac hypertrophy. PMID: 24083978
- Nuclear ANG directly binds to the ANG-Binding Sequence within ERRgamma of ERRgamma gene and inhibits ERRgamma transcription to promote breast cancer cell proliferation. PMID: 23977052
- ERRGamma mediates oxygen-dependent expression of genes involved in human trophoblast differentiation, function, and vascular homeostasis. PMID: 23584901
- Iranian women with short AAAG repeat are at higher risk of breast cancer. PMID: 24125170
- plays a role in maintenance of hearing in both humans and mice. PMID: 23540940
- The ESRRG gene is a novel target of miR-205 mediated RNA-interference. PMID: 23589079
- Data show that the orphan nuclear receptor estrogen related receptor gamma (ERRgamma) plays a critical role in hypoxia-mediated activation of pyruvate dehydrogenase kinase 4 (PDK4) gene expression. PMID: 23050013
- results suggest that Estrogen-Related Receptor gamma (ERRgamma) could be implicated in the energy metabolism regulation of human trophoblasts PMID: 22763271
- Orphan nuclear receptor estrogen-related receptor gamma (ERRgamma) is key regulator of hepatic gluconeogenesis PMID: 22549789
- Our study indicates that the AAAG tetranucleotide repeat polymorphism in ERR-gamma gene 5' UTR region may be a new biomarker for genetic susceptibility to breast cancer. PMID: 21153485
- Disorder-to-order transition underlies the structural basis for the assembly of a transcriptionally active PGC-1alpha/ERRgamma complex PMID: 22049338
- Estrogen-related receptor gamma (ERRgamma) is a novel transcriptional regulator of phosphatidic acid phosphatase, LIPIN1, and inhibits hepatic insulin signaling PMID: 21911493
- These novel findings identify ERRgamma as an O(2)-dependent transcription factor and HIF-1alpha target gene that serves a critical role in the induction of hCYP19 expression during human trophoblast differentiation. PMID: 21757507
- Study provides evidence for nuclear receptor mediated regulation of Dnmt1 expression through ERRgamma and SHP crosstalk. PMID: 21459093
- miR-378( *) inhibits the expression of two PGC-1beta partners, ERRgamma and GABPA, leading to a reduction in TCA cycle gene expression and oxygen consumption as well as an increase in lactate production and in cell proliferation PMID: 20889127
- Estrogen-related receptor gamma modulates cell proliferation and estrogen signaling in breast cancer. PMID: 20883782
- These results suggest involvement of ESRRgamma in the determination of bone density in women. PMID: 19821770
- Transcriptional activation by ERR3 can be ligand-independent. PMID: 11864604
- Not only PNRC2 but also the corepressor TLE1 functioned as ERRgamma coactivator in a reporter gene analysis PMID: 14651967
- Up-regulation of estrogen-related receptor gamma is associated with endometrial adenocarcinoma PMID: 16681769
- Thermal stability studies show that agonist binding leads to global stabilization of the ligand binding domain. PMID: 16990259
- is a novel target of ERRgamma, and their interaction is crucial for cancer cell proliferation PMID: 17706602
- First evidence is provided that the nuclear receptor estrogen-related receptor gamma forms complexes with the endocrine disruptor, providing detailed molecular insight into the interaction features. PMID: 17761695
- Results clearly indicate that estrogen-related receptor gamma forms an appropriate structure presumably to adopt an unidentified endogenous ligand. PMID: 18005256
- ERRGamma (estrogen-related receptor gamma ) mRNA levels decreased from normal vagina of the pre-menopausal women to atrophic vaginal tissue in post-menopausal women PMID: 18328649
- The 2.0 A crystal structure of the 4-alpha-cumylphenol/ERRgamma complex clearly revealed that ERRgamma's Leu345-beta-isopropyl plays a role in the tight binding of 4-alpha-cumylphenol and BPA, rotating in a back-and-forth induced-fit manner. PMID: 18582436
- Kaempferol is an estrogen-related receptor gamma inverse agonist. PMID: 19171140
- placenta expresses ERRgamma mRNA extremely highly; among the 3 ERRgamma protein isoforms, placenta exclusively expresses the type-1 isoform; results suggest that bisphenol A accumulates in the placenta by binding to ERRgamma PMID: 19304792
- Single nucleotide polymorphisms in the estrogen-related receptor gamma is Associated with post-menopausal breast cancer women. PMID: 19415745
- SMILE is a novel corepressor of ERRgamma, and SIRT1 has a role as a novel repressive mechanism for SMILE and ERRgamma inverse agonist PMID: 19690166
顯示更多
收起更多
-
亞細胞定位:Nucleus.
-
蛋白家族:Nuclear hormone receptor family, NR3 subfamily
-
組織特異性:Expressed in the heart, kidney, brain, lung, bone marrow, adrenal gland, trachea, spinal cord and thyroid gland.
-
數據庫鏈接:
Most popular with customers
-
YWHAB Recombinant Monoclonal Antibody
Applications: ELISA, WB, IHC, IF, FC
Species Reactivity: Human, Mouse, Rat
-
Phospho-YAP1 (S127) Recombinant Monoclonal Antibody
Applications: ELISA, WB, IHC
Species Reactivity: Human
-
-
-
-
-
-















