ERP44 Antibody
-
中文名稱:ERP44兔多克隆抗體
-
貨號:CSB-PA438768
-
規格:¥1100
-
圖片:
-
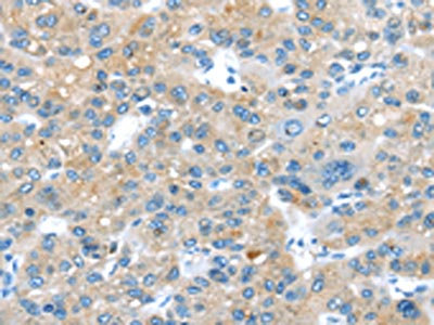
The image on the left is immunohistochemistry of paraffin-embedded Human liver cancer tissue using CSB-PA438768(ERP44 Antibody) at dilution 1/20, on the right is treated with synthetic peptide. (Original magnification: ×200)
-
The image on the left is immunohistochemistry of paraffin-embedded Human colorectal cancer tissue using CSB-PA438768(ERP44 Antibody) at dilution 1/20, on the right is treated with synthetic peptide. (Original magnification: ×200)
-
Gel: 8%SDS-PAGE,Lysate: 40 μg,Lane 1-7: A431 cells, K562 cells, 231 cells, HepG2 cells, Hela cells, A549 cells, Raji cells,Primary antibody: CSB-PA438768(ERP44 Antibody) at dilution 1/200 dilution,Secondary antibody: Goat anti rabbit IgG at 1/8000 dilution,Exposure time: 10 seconds
-
-
其他:
產品詳情
-
Uniprot No.:
-
基因名:
-
別名:Endoplasmic reticulum resident protein 44 antibody; Endoplasmic reticulum resident protein 44 kDa antibody; Endoplasmic reticulum resident protein ERp44 antibody; ER protein 44 antibody; ERp44 antibody; ERP44_HUMAN antibody; KIAA0573 antibody; PDIA10 antibody; Protein disulfide isomerase family A; member 10 antibody; Thioredoxin domain containing 4 (endoplasmic reticulum) antibody; Thioredoxin domain containing protein 4 antibody; Thioredoxin domain-containing protein 4 antibody; UNQ532/PRO1075 antibody
-
宿主:Rabbit
-
反應種屬:Human,Mouse
-
免疫原:Synthetic peptide of Human ERP44
-
免疫原種屬:Homo sapiens (Human)
-
標記方式:Non-conjugated
-
抗體亞型:IgG
-
純化方式:Antigen affinity purification
-
濃度:It differs from different batches. Please contact us to confirm it.
-
保存緩沖液:-20°C, pH7.4 PBS, 0.05% NaN3, 40% Glycerol
-
產品提供形式:Liquid
-
應用范圍:ELISA,WB,IHC
-
推薦稀釋比:
Application Recommended Dilution ELISA 1:2000-1:5000 WB 1:500-1:2000 IHC 1:25-1:100 -
Protocols:
-
儲存條件:Upon receipt, store at -20°C or -80°C. Avoid repeated freeze.
-
貨期:Basically, we can dispatch the products out in 1-3 working days after receiving your orders. Delivery time maybe differs from different purchasing way or location, please kindly consult your local distributors for specific delivery time.
-
用途:For Research Use Only. Not for use in diagnostic or therapeutic procedures.
相關產品
靶點詳情
-
功能:Mediates thiol-dependent retention in the early secretory pathway, forming mixed disulfides with substrate proteins through its conserved CRFS motif. Inhibits the calcium channel activity of ITPR1. May have a role in the control of oxidative protein folding in the endoplasmic reticulum. Required to retain ERO1A and ERO1B in the endoplasmic reticulum.
-
基因功能參考文獻:
- Endogenous ERp44 is O-glycosylated and secreted by human primary endometrial cells, suggesting possible pathophysiological roles of these processes. PMID: 25097228
- findings indicated that overexpression of miR-101 could downregulate ERp44 PMID: 24804790
- the decrease in 5-HT uptake rates of GDM trophoblast is the consequence of defective insulin signaling, which entraps SERT with ERp44 and impairs its glycosylation. PMID: 25512553
- The ERp44 assembly control cycle couples secretion fidelity and efficiency downstream of the calnexin/calreticulin and BiP-dependent quality control cycles. PMID: 23685074
- ERp44 together with Ero1-Lalpha plays an important role in disulfide formation of SERT, which may be a prerequisite step for the assembly of SERT molecules in oligomeric form. PMID: 22451649
- contains a thioredoxin domain with a CRFS motif and is induced during ER stress PMID: 11847130
- Ero1alpha and Ero1beta are retained in the endoplasmic reticulum by interactions with PDI and ERp44 PMID: 16677073
- ERGIC-53 provides a platform that receives micro(2)L(2) subunits from the BiP-dependent checkpoint, assisting polymerization. In this process, ERp44 couples thiol-dependent assembly and quality control. PMID: 17805346
- ERp44-mediated retention of FGE, indicating that noncovalent interactions between ERp44 and FGE are sufficient to mediate ER retention. PMID: 18178549
- Study shows that SUMF1 interacts with protein disulfide isomerase (PDI) and ERp44, two thioredoxin family members residing in the early secretory pathway, and with ERGIC-53, a lectin that shuttles between the ER and the Golgi. PMID: 18508857
- Crystal structure of ERp44 at a resolution of 2.6 A, is presented. PMID: 18552768
顯示更多
收起更多
-
亞細胞定位:Endoplasmic reticulum lumen.
-
數據庫鏈接:
Most popular with customers
-
-
YWHAB Recombinant Monoclonal Antibody
Applications: ELISA, WB, IHC, IF, FC
Species Reactivity: Human, Mouse, Rat
-
Phospho-YAP1 (S127) Recombinant Monoclonal Antibody
Applications: ELISA, WB, IHC
Species Reactivity: Human
-
-
-
-
-















