ERN2 Antibody
-
中文名稱:ERN2兔多克隆抗體
-
貨號:CSB-PA585877
-
規格:¥1100
-
圖片:
-
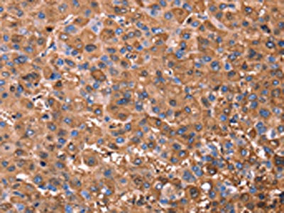
The image on the left is immunohistochemistry of paraffin-embedded Human liver cancer tissue using CSB-PA585877(ERN2 Antibody) at dilution 1/40, on the right is treated with synthetic peptide. (Original magnification: ×200)
-
The image on the left is immunohistochemistry of paraffin-embedded Human gastric cancer tissue using CSB-PA585877(ERN2 Antibody) at dilution 1/40, on the right is treated with synthetic peptide. (Original magnification: ×200)
-
-
其他:
產品詳情
-
Uniprot No.:
-
基因名:ERN2
-
別名:ERN2 antibody; IRE2Serine/threonine-protein kinase/endoribonuclease IRE2 antibody; Endoplasmic reticulum-to-nucleus signaling 2 antibody; Inositol-requiring protein 2 antibody; hIRE2p antibody; Ire1-beta antibody; IRE1b) [Includes: Serine/threonine-protein kinase antibody; EC 2.7.11.1); Endoribonuclease antibody; EC 3.1.26.-)] antibody
-
宿主:Rabbit
-
反應種屬:Human
-
免疫原:Synthetic peptide of Human ERN2
-
免疫原種屬:Homo sapiens (Human)
-
標記方式:Non-conjugated
-
抗體亞型:IgG
-
純化方式:Antigen affinity purification
-
濃度:It differs from different batches. Please contact us to confirm it.
-
保存緩沖液:-20°C, pH7.4 PBS, 0.05% NaN3, 40% Glycerol
-
產品提供形式:Liquid
-
應用范圍:ELISA,IHC
-
推薦稀釋比:
Application Recommended Dilution ELISA 1:2000-1:5000 IHC 1:50-1:200 -
Protocols:
-
儲存條件:Upon receipt, store at -20°C or -80°C. Avoid repeated freeze.
-
貨期:Basically, we can dispatch the products out in 1-3 working days after receiving your orders. Delivery time maybe differs from different purchasing way or location, please kindly consult your local distributors for specific delivery time.
-
用途:For Research Use Only. Not for use in diagnostic or therapeutic procedures.
相關產品
靶點詳情
-
功能:Induces translational repression through 28S ribosomal RNA cleavage in response to ER stress. Pro-apoptotic. Appears to play no role in the unfolded-protein response, unlike closely related proteins.
-
基因功能參考文獻:
- ER stress-regulated IRE1 dependent decay is involved in regulation of hepatic diseases. (review) PMID: 27774654
- The luminal event mediated by IRE1beta involves direct interaction with unfolded proteins rather than association/dissociation with BiP. PMID: 23236464
- Data show that IRE1beta represses translation on the ER membrane but not in the cytosol, and that this selective repression depends on the RNase activity of IRE1beta. PMID: 21146530
- The structural, biochemical, and functional studies in vivo altogether demonstrate that IRE1 and PERK have conserved a common molecular interface necessary and sufficient for dimerization and unfolded protein response (UPR) signaling. PMID: 16973740
- RNase domain of IRE1 determines the functional specificities of each of these isoforms. PMID: 18242182
顯示更多
收起更多
-
亞細胞定位:Endoplasmic reticulum membrane; Single-pass type I membrane protein.
-
蛋白家族:Protein kinase superfamily, Ser/Thr protein kinase family
-
數據庫鏈接:
Most popular with customers
-
-
YWHAB Recombinant Monoclonal Antibody
Applications: ELISA, WB, IHC, IF, FC
Species Reactivity: Human, Mouse, Rat
-
Phospho-YAP1 (S127) Recombinant Monoclonal Antibody
Applications: ELISA, WB, IHC
Species Reactivity: Human
-
-
-
-
-















