ERLIN2 Antibody
-
中文名稱:ERLIN2兔多克隆抗體
-
貨號:CSB-PA007791ESR1HU
-
規格:¥440
-
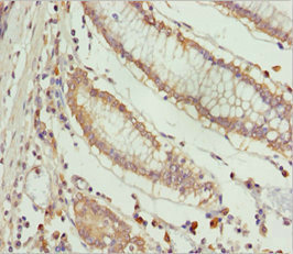
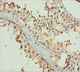
圖片:
-
其他:
產品詳情
-
產品名稱:Rabbit anti-Homo sapiens (Human) ERLIN2 Polyclonal antibody
-
Uniprot No.:
-
基因名:ERLIN2
-
別名:ERLIN2; C8orf2; SPFH2; UNQ2441/PRO5003/PRO9924; Erlin-2; Endoplasmic reticulum lipid raft-associated protein 2; Stomatin-prohibitin-flotillin-HflC/K domain-containing protein 2; SPFH domain-containing protein 2
-
宿主:Rabbit
-
反應種屬:Human
-
免疫原:Recombinant Human Erlin-2 protein (212-339AA)
-
免疫原種屬:Homo sapiens (Human)
-
標記方式:Non-conjugated
-
克隆類型:Polyclonal
-
抗體亞型:IgG
-
純化方式:Antigen Affinity Purified
-
濃度:It differs from different batches. Please contact us to confirm it.
-
保存緩沖液:PBS with 0.02% sodium azide, 50% glycerol, pH7.3.
-
產品提供形式:Liquid
-
應用范圍:ELISA, IHC
-
推薦稀釋比:
Application Recommended Dilution IHC 1:20-1:200 -
Protocols:
-
儲存條件:Upon receipt, store at -20°C or -80°C. Avoid repeated freeze.
-
貨期:Basically, we can dispatch the products out in 1-3 working days after receiving your orders. Delivery time maybe differs from different purchasing way or location, please kindly consult your local distributors for specific delivery time.
-
用途:For Research Use Only. Not for use in diagnostic or therapeutic procedures.
相關產品
靶點詳情
-
功能:Component of the ERLIN1/ERLIN2 complex which mediates the endoplasmic reticulum-associated degradation (ERAD) of inositol 1,4,5-trisphosphate receptors (IP3Rs) such as ITPR1. Promotes sterol-accelerated ERAD of HMGCR probably implicating an AMFR/gp78-containing ubiquitin ligase complex. Involved in regulation of cellular cholesterol homeostasis by regulation the SREBP signaling pathway. May promote ER retention of the SCAP-SREBF complex.
-
基因功能參考文獻:
- Novel Mutations in Endoplasmic Reticulum Lipid Raft-associated Protein 2 Gene Cause Pure Hereditary Spastic Paraplegia Type 18 PMID: 27824013
- Erlin-2 and the related erlin-1 were found to negatively regulate cholesterol and fatty acid biosynthesis in cultured cell models when the proteins were depleted by RNAi. The proteins also selectively bound cholesterol. PMID: 24217618
- ERLIN2 was found to be responsible for causing hereditary spastic paraplegia in a Saudi family. PMID: 23085305
- ERLIN2 may confer a selective growth advantage for breast cancer cells by facilitating a cytoprotective response to various cellular stresses associated with oncogenesis. PMID: 22681620
- ERLIN2 loss on cell growth may advance understanding of the mechanism behind motor neuron degeneration in primary lateral sclerosis PMID: 23109145
- a novel brain gamma-secretase associated protein , erlin-2, that resides in detergent resistant membranes and affects amyloid beta-peptide production. PMID: 22771797
- a novel role for ERLIN2 in supporting cancer cell growth by promoting the activation of the key lipogenic regulator SREBP1c and the production of cytosolic lipid droplets. PMID: 22690709
- study describes an extended consanguineous Saudi family in which hereditary spastic paraplegia is linked to SPG18, an autosomal recessive locus, and show it is associated with a nullimorphic deletion of ERLIN2 PMID: 21796390
- The gene encodes endoplasmic reticulum (ER) lipid raft-associated protein 2 that mediates the ER-associated degradation of activated inositol 1,4,5-trisphosphate receptors and other substrates. PMID: 21330303
- SPFH2 as a key endoplasmic reticulum associated degradation pathway component and suggest that it may act as a substrate recognition factor. PMID: 17502376
顯示更多
收起更多
-
相關疾病:Spastic paraplegia 18, autosomal recessive (SPG18)
-
亞細胞定位:Endoplasmic reticulum membrane; Single-pass type II membrane protein. Note=Associated with lipid raft-like domains of the endoplasmic reticulum membrane.
-
蛋白家族:Band 7/mec-2 family
-
組織特異性:Ubiquitous.
-
數據庫鏈接:
Most popular with customers
-
-
YWHAB Recombinant Monoclonal Antibody
Applications: ELISA, WB, IHC, IF, FC
Species Reactivity: Human, Mouse, Rat
-
Phospho-YAP1 (S127) Recombinant Monoclonal Antibody
Applications: ELISA, WB, IHC
Species Reactivity: Human
-
-
-
-
-















