ERI1 Antibody
-
中文名稱:ERI1兔多克隆抗體
-
貨號:CSB-PA22449A0Rb
-
規格:¥440
-
圖片:
-
Western Blot
Positive WB detected in: Jurkat whole cell lysate
All lanes: ERI1 antibody at 7μg/ml
Secondary
Goat polyclonal to rabbit IgG at 1/50000 dilution
Predicted band size: 41 kDa
Observed band size: 46 kDa -
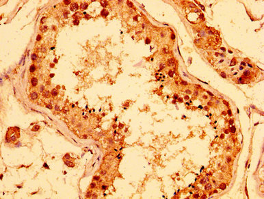
IHC image of CSB-PA22449A0Rb diluted at 1:400 and staining in paraffin-embedded human testis tissue performed on a Leica BondTM system. After dewaxing and hydration, antigen retrieval was mediated by high pressure in a citrate buffer (pH 6.0). Section was blocked with 10% normal goat serum 30min at RT. Then primary antibody (1% BSA) was incubated at 4°C overnight. The primary is detected by a biotinylated secondary antibody and visualized using an HRP conjugated SP system.
-
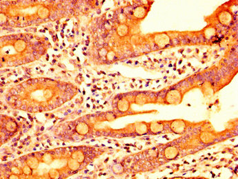
IHC image of CSB-PA22449A0Rb diluted at 1:400 and staining in paraffin-embedded human small intestine tissue performed on a Leica BondTM system. After dewaxing and hydration, antigen retrieval was mediated by high pressure in a citrate buffer (pH 6.0). Section was blocked with 10% normal goat serum 30min at RT. Then primary antibody (1% BSA) was incubated at 4°C overnight. The primary is detected by a biotinylated secondary antibody and visualized using an HRP conjugated SP system.
-
Immunofluorescence staining of HepG2 cells with CSB-PA22449A0Rb at 1:133, counter-stained with DAPI. The cells were fixed in 4% formaldehyde, permeabilized using 0.2% Triton X-100 and blocked in 10% normal Goat Serum. The cells were then incubated with the antibody overnight at 4°C. The secondary antibody was Alexa Fluor 488-congugated AffiniPure Goat Anti-Rabbit IgG(H+L).
-
-
其他:
產品詳情
-
產品名稱:Rabbit anti-Homo sapiens (Human) ERI1 Polyclonal antibody
-
Uniprot No.:
-
基因名:ERI1
-
別名:3' 5' exonuclease ERI 1 antibody; 3' 5' exonuclease ERI1 antibody; 3' EXO antibody; 3' exoribonuclease antibody; 3' HEXO antibody; 3' histone mRNA exonuclease 1 antibody; 3''-5'' exonuclease eri1 antibody; 3''-5'' exoribonuclease 1 antibody; 3'EXO antibody; 3'HEXO antibody; ERI 1 antibody; Eri 1 homolog antibody; Eri-1 homolog antibody; eri1 antibody; Eri1 homolog antibody; ERI1_HUMAN antibody; HEXO antibody; Histone mRNA 3' end specific exonuclease antibody; Histone mRNA 3' end specific exoribonuclease antibody; Histone mRNA 3''-end-specific exoribonuclease antibody; Histone mRNA 3''-exonuclease 1 antibody; MGC35395 antibody; Protein 3''hExo antibody; THEX 1 antibody; THEX1 antibody; Three prime histone mRNA exonuclease 1 antibody
-
宿主:Rabbit
-
反應種屬:Human, Rat
-
免疫原:Recombinant Human 3\'-5\' exoribonuclease 1 protein (2-66AA)
-
免疫原種屬:Homo sapiens (Human)
-
標記方式:Non-conjugated
本頁面中的產品,ERI1 Antibody (CSB-PA22449A0Rb),的標記方式是Non-conjugated。對于ERI1 Antibody,我們還提供其他標記。見下表:
-
克隆類型:Polyclonal
-
抗體亞型:IgG
-
純化方式:>95%, Protein G purified
-
濃度:It differs from different batches. Please contact us to confirm it.
-
保存緩沖液:Preservative: 0.03% Proclin 300
Constituents: 50% Glycerol, 0.01M PBS, pH 7.4 -
產品提供形式:Liquid
-
應用范圍:ELISA, WB, IHC, IF
-
推薦稀釋比:
Application Recommended Dilution WB 1:500-1:5000 IHC 1:200-1:500 IF 1:50-1:200 -
Protocols:
-
儲存條件:Upon receipt, store at -20°C or -80°C. Avoid repeated freeze.
-
貨期:Basically, we can dispatch the products out in 1-3 working days after receiving your orders. Delivery time maybe differs from different purchasing way or location, please kindly consult your local distributors for specific delivery time.
-
用途:For Research Use Only. Not for use in diagnostic or therapeutic procedures.
相關產品
靶點詳情
-
功能:RNA exonuclease that binds to the 3'-end of histone mRNAs and degrades them, suggesting that it plays an essential role in histone mRNA decay after replication. A 2' and 3'-hydroxyl groups at the last nucleotide of the histone 3'-end is required for efficient degradation of RNA substrates. Also able to degrade the 3'-overhangs of short interfering RNAs (siRNAs) in vitro, suggesting a possible role as regulator of RNA interference (RNAi). Requires for binding the 5'-ACCCA-3' sequence present in stem-loop structure. Able to bind other mRNAs. Required for 5.8S rRNA 3'-end processing. Also binds to 5.8s ribosomal RNA. Binds with high affinity to the stem-loop structure of replication-dependent histone pre-mRNAs.
-
基因功能參考文獻:
- the crystal structure of a ternary complex of human SLBP RNA binding domain, human 3'hExo, and a 26-nucleotide stem-loop RNA is reported. PMID: 23329046
- 3'hExo is a primary candidate for the exonuclease that initiates rapid decay of histone mRNA upon completion and/or inhibition of DNA replication PMID: 14536070
- molecular cloning; degrades siRNAs in vitro[ERI-1] PMID: 14961122
- Data describe the structure of the nuclease domain of 3'-5'-exoribonuclease (3'hExo) complexed with rAMP in the presence of magnesium at 1.6 A resolution. PMID: 15451662
- 3'hExo is a 3' exonuclease specifically interacting with the 3' end of histone mRNA PMID: 16912046
顯示更多
收起更多
-
亞細胞定位:Cytoplasm. Nucleus. Nucleus, nucleolus.
-
數據庫鏈接:
Most popular with customers
-
YWHAB Recombinant Monoclonal Antibody
Applications: ELISA, WB, IHC, IF, FC
Species Reactivity: Human, Mouse, Rat
-
Phospho-YAP1 (S127) Recombinant Monoclonal Antibody
Applications: ELISA, WB, IHC
Species Reactivity: Human
-
-
-
-
-
-















