ERGIC2 Antibody
-
中文名稱:ERGIC2兔多克隆抗體
-
貨號:CSB-PA857020EA01HU
-
規格:¥440
-
圖片:
-
Western Blot
Positive WB detected in: Hela whole cell lysate, Rat brain tissue, Mouse brain tissue
All lanes: ERGIC2 antibody at 2.5µg/ml
Secondary
Goat polyclonal to rabbit IgG at 1/50000 dilution
Predicted band size: 43 kDa
Observed band size: 43 kDa -
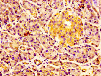
IHC image of CSB-PA857020EA01HU diluted at 1:100 and staining in paraffin-embedded human pancreatic tissue performed on a Leica BondTM system. After dewaxing and hydration, antigen retrieval was mediated by high pressure in a citrate buffer (pH 6.0). Section was blocked with 10% normal goat serum 30min at RT. Then primary antibody (1% BSA) was incubated at 4°C overnight. The primary is detected by a biotinylated secondary antibody and visualized using an HRP conjugated SP system.
-
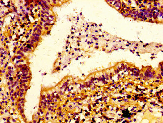
IHC image of CSB-PA857020EA01HU diluted at 1:100 and staining in paraffin-embedded human lung cancer performed on a Leica BondTM system. After dewaxing and hydration, antigen retrieval was mediated by high pressure in a citrate buffer (pH 6.0). Section was blocked with 10% normal goat serum 30min at RT. Then primary antibody (1% BSA) was incubated at 4°C overnight. The primary is detected by a biotinylated secondary antibody and visualized using an HRP conjugated SP system.
-
Immunofluorescence staining of HepG2 cells with CSB-PA857020EA01HU at 1:100, counter-stained with DAPI. The cells were fixed in 4% formaldehyde, permeabilized using 0.2% Triton X-100 and blocked in 10% normal Goat Serum. The cells were then incubated with the antibody overnight at 4°C. The secondary antibody was Alexa Fluor 488-congugated AffiniPure Goat Anti-Rabbit IgG(H+L).
-
-
其他:
產品詳情
-
產品名稱:Rabbit anti-Homo sapiens (Human) ERGIC2 Polyclonal antibody
-
Uniprot No.:
-
基因名:ERGIC2
-
別名:ERGIC2; ERV41; PTX1; CDA14; Endoplasmic reticulum-Golgi intermediate compartment protein 2
-
宿主:Rabbit
-
反應種屬:Human, Rat, Mouse
-
免疫原:Recombinant Human Endoplasmic reticulum-Golgi intermediate compartment protein 2 protein (55-310AA)
-
免疫原種屬:Homo sapiens (Human)
-
標記方式:Non-conjugated
本頁面中的產品,ERGIC2 Antibody (CSB-PA857020EA01HU),的標記方式是Non-conjugated。對于ERGIC2 Antibody,我們還提供其他標記。見下表:
-
克隆類型:Polyclonal
-
抗體亞型:IgG
-
純化方式:>95%, Protein G purified
-
濃度:It differs from different batches. Please contact us to confirm it.
-
保存緩沖液:Preservative: 0.03% Proclin 300
Constituents: 50% Glycerol, 0.01M PBS, pH 7.4 -
產品提供形式:Liquid
-
應用范圍:ELISA, WB, IHC, IF
-
推薦稀釋比:
Application Recommended Dilution WB 1:500-1:5000 IHC 1:20-1:200 IF 1:50-1:200 -
Protocols:
-
儲存條件:Upon receipt, store at -20°C or -80°C. Avoid repeated freeze.
-
貨期:Basically, we can dispatch the products out in 1-3 working days after receiving your orders. Delivery time maybe differs from different purchasing way or location, please kindly consult your local distributors for specific delivery time.
-
用途:For Research Use Only. Not for use in diagnostic or therapeutic procedures.
相關產品
靶點詳情
-
功能:Possible role in transport between endoplasmic reticulum and Golgi.
-
基因功能參考文獻:
- A variant of ERGIC2 with four coding bases deleted has an abrogated function as a transport shuttle, but does continue to upregulate the heme oxygenase 1 gene, suggesting that it may be involved in the oxidative stress pathway. PMID: 24303950
- may play an important role in the growth and tumorigenicity of PC-3 prostate tumor cells PMID: 12932305
- ERGIC-32 functions as a modulator of the hErv41-hErv46 complex by stabilizing hErv46 PMID: 15308636
- Ectopic expression of a partial sequence of PTX1 (Met84 - Leu225) as a VP22-fusion protein in prostate cancer cell line, PC-3, induced cellular senescence. PMID: 16989575
- CDA14 participated in the elongation factor 1alpha regulated mechanisms PMID: 17980171
顯示更多
收起更多
-
亞細胞定位:Endoplasmic reticulum-Golgi intermediate compartment membrane; Multi-pass membrane protein. Golgi apparatus, cis-Golgi network membrane; Multi-pass membrane protein. Endoplasmic reticulum membrane; Multi-pass membrane protein. Cytoplasm. Nucleus.
-
蛋白家族:ERGIC family
-
組織特異性:Ubiquitously expressed.
-
數據庫鏈接:
Most popular with customers
-
-
YWHAB Recombinant Monoclonal Antibody
Applications: ELISA, WB, IHC, IF, FC
Species Reactivity: Human, Mouse, Rat
-
Phospho-YAP1 (S127) Recombinant Monoclonal Antibody
Applications: ELISA, WB, IHC
Species Reactivity: Human
-
-
-
-
-















