ERBIN Antibody
-
中文名稱:ERBIN兔多克隆抗體
-
貨號:CSB-PA857021ESR1HU
-
規格:¥440
-
圖片:
-
Western blot
All lanes: VSX1 antibody IgG at 0.87μg/ml + Hela whole cell lysate
Secondary
Goat polyclonal to rabbit IgG at 1/10000 dilution
Predicted band size: 159, 154, 153, 152, 151, 147, 160 kDa
Observed band size: 159 kDa -
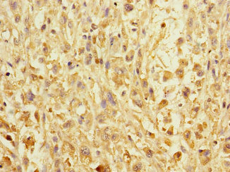
Immunohistochemistry of paraffin-embedded human melanoma using CSB-PA857021ESR1HU at dilution of 1:100
-
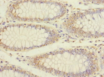
Immunohistochemistry of paraffin-embedded human colon cancer using CSB-PA857021ESR1HU at dilution of 1:100
-
-
其他:
產品詳情
-
產品名稱:Rabbit anti-Homo sapiens (Human) ERBIN Polyclonal antibody
-
Uniprot No.:
-
基因名:
-
別名:Densin-180-like protein antibody; Erbb2-interacting protein antibody; Erbb2ip antibody; Erbin antibody; LAP2 antibody; LAP2_HUMAN antibody; Protein LAP2 antibody
-
宿主:Rabbit
-
反應種屬:Human
-
免疫原:Recombinant Human Erbin protein (1193-1412AA)
-
免疫原種屬:Homo sapiens (Human)
-
標記方式:Non-conjugated
-
克隆類型:Polyclonal
-
抗體亞型:IgG
-
純化方式:Antigen Affinity Purified
-
濃度:It differs from different batches. Please contact us to confirm it.
-
保存緩沖液:PBS with 0.02% sodium azide, 50% glycerol, pH7.3.
-
產品提供形式:Liquid
-
應用范圍:ELISA, WB, IHC
-
推薦稀釋比:
Application Recommended Dilution WB 1:1000-1:5000 IHC 1:20-1:200 -
Protocols:
-
儲存條件:Upon receipt, store at -20°C or -80°C. Avoid repeated freeze.
-
貨期:Basically, we can dispatch the products out in 1-3 working days after receiving your orders. Delivery time maybe differs from different purchasing way or location, please kindly consult your local distributors for specific delivery time.
-
用途:For Research Use Only. Not for use in diagnostic or therapeutic procedures.
相關產品
靶點詳情
-
功能:Acts as an adapter for the receptor ERBB2, in epithelia. By binding the unphosphorylated 'Tyr-1248' of receptor ERBB2, it may contribute to stabilize this unphosphorylated state. Inhibits NOD2-dependent NF-kappa-B signaling and proinflammatory cytokine secretion.
-
基因功能參考文獻:
- Our data uncovered an important role of Erbin in regulating hepatocellular carcinoma (HCC) tumorigenesis through inactivating ERalpha-mediated tumor-suppressive signaling, suggesting a new strategy for tamoxifen therapy in HCC by targeting Erbin/ERalpha signaling axis. PMID: 28192186
- STAT3 activation promotes ERBIN expression and negatively regulates TGF-beta activity by the formation of a STAT3-ERBIN-SMAD2/3 complex. PMID: 28126831
- Erbin loss accelerates cell cycle though down-regulating p21 and p27 expression. Erbin is a novel negative modulator of Akt1-Skp2-p27 signaling pathway. PMID: 26025650
- Erbin promotes tumourigenesis and tumour growth in colorectal cancer by stabilizing epidermal growth factor receptor PMID: 25521828
- Erbin is an ErbB2 regulator for breast tumor formation and progression PMID: 25288731
- analysis of the C-terminal ligand specificity of the erbin PDZ domain PMID: 24813123
- Data reveal that Erbin is a negative regulator of AKT activation and suggest that Erbin may play a role in breast cancer progression. PMID: 23711387
- DSG1 and Erbin cooperate to repress MAPK signaling and promote keratinocyte differentiation. PMID: 23524970
- These results unravel a critical role of c-Myb in promoting Erbin transcription in G2/M phase and also predict an unappreciated function of Erbin in cell cycle progression. PMID: 22880131
- Data conclude that LAP2 is widely overexpressed in diverse digestive tract cancers and LAP2beta regulates motility of cancer cells and suggest that LAP2beta may have utility for diagnostics and therapeutics in digestive tract cancers. PMID: 22745766
- ERBIN binds to SARA using a domain (amino acids 1208-1265) that also interacts with SMAD2 and SMAD3, which we have called the SSID (SARA- and SMAD-interacting domain) PMID: 21878490
- PDZ domain binds with high affinity and specificity to the carboxyl termini of delta-catenin and ARVCF PMID: 11821434
- interacts in vivo with p0071 and may be involved in the organization of adherens junctions and the desmosomes of epithelia PMID: 12047349
- Erbin is a novel suppressor of Ras signaling by disrupting the Ras-Raf interaction; a negative regulator of the Ras-Raf-Erk signaling pathway PMID: 12379659
- selective binding and sequestration of this residue in its unphosphorylated state by the Erbin PDZ provides a novel mechanism for regulation of the ErbB2-mediated signaling and oncogenicity PMID: 12444095
- In this review, erbin is shown to inhibit epidermal growth factor signaling by preventing the activation of the Raf-1 kinase by Ras. PMID: 12966186
- Erbin is a regulator of Nod2-dependent NF-kappaB signaling with a role in inflammatory responses PMID: 16203728
- Erbin has a regulatory role in the Ras-Raf-MEK pathway and may inhibit ERK activation by disrupting the Sur-8-Ras/Raf interaction PMID: 16301319
- Structural analyses reveal that the differences between Erbin PDZ domain and the first PDZ domain of ZO-1 in specificity can be accounted for by two key differences in primary sequence. PMID: 16737969
- ErbB2, APC, beta-catenin, c-Rel and HTLV-1 Tax were identified as ligands of the PDZ domain of Erbin. PMID: 17100642
- Results define Erbin as a novel negative modulator of Smad2/Smad3 functions and expand the physiological role of Erbin to the regulation of TGFbeta signaling. PMID: 17591701
- Both palmitoylation and leucine-rich repeats are required for the plasma membrane localization of ERBIN. PMID: 18498353
- erbin acts as a negative regulator of beta-catenin/T-cell-factor-dependent gene expression. An erbin mutant with a deletion of the N-terminal leucine-rich repeat allows the PDZ domain of erbin to increase beta-catenin/T-cell-factor-dependent transcription PMID: 18667832
- Arginine 279, glutamic acid 246 in Smad3 and glutamic acid 1321 in Erbin are important for these proteins binding. PMID: 19013433
- This review discusses all-intracellular and membrane-associated localization of Densin-180 and its signaling, including a phosphorylation-rich area. PMID: 19187442
顯示更多
收起更多
-
亞細胞定位:Cell junction, hemidesmosome. Nucleus membrane. Basolateral cell membrane.
-
蛋白家族:LAP (LRR and PDZ) protein family
-
組織特異性:Highly expressed in brain, heart, kidney, muscle and stomach, followed by liver, spleen and intestine.
-
數據庫鏈接:
Most popular with customers
-
-
YWHAB Recombinant Monoclonal Antibody
Applications: ELISA, WB, IHC, IF, FC
Species Reactivity: Human, Mouse, Rat
-
Phospho-YAP1 (S127) Recombinant Monoclonal Antibody
Applications: ELISA, WB, IHC
Species Reactivity: Human
-
-
-
-
-















