EPS8 Antibody
-
中文名稱:EPS8兔多克隆抗體
-
貨號:CSB-PA615539LA01HU
-
規格:¥440
-
圖片:
-
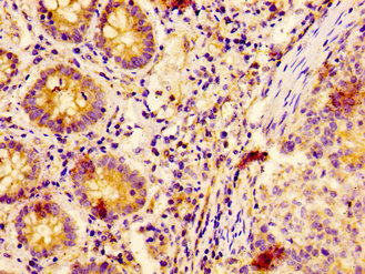
IHC image of CSB-PA615539LA01HU diluted at 1:400 and staining in paraffin-embedded human colon cancer performed on a Leica BondTM system. After dewaxing and hydration, antigen retrieval was mediated by high pressure in a citrate buffer (pH 6.0). Section was blocked with 10% normal goat serum 30min at RT. Then primary antibody (1% BSA) was incubated at 4°C overnight. The primary is detected by a biotinylated secondary antibody and visualized using an HRP conjugated SP system.
-
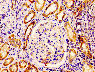
IHC image of CSB-PA615539LA01HU diluted at 1:400 and staining in paraffin-embedded human kidney tissue performed on a Leica BondTM system. After dewaxing and hydration, antigen retrieval was mediated by high pressure in a citrate buffer (pH 6.0). Section was blocked with 10% normal goat serum 30min at RT. Then primary antibody (1% BSA) was incubated at 4°C overnight. The primary is detected by a biotinylated secondary antibody and visualized using an HRP conjugated ABC system.
-
-
其他:
產品詳情
-
產品名稱:Rabbit anti-Homo sapiens (Human) EPS8 Polyclonal antibody
-
Uniprot No.:
-
基因名:EPS8
-
別名:Epidermal growth factor receptor kinase substrate 8 antibody; Epidermal growth factor receptor pathway substrate 8 antibody; EPS 8 antibody; EPS8 antibody; EPS8_HUMAN antibody
-
宿主:Rabbit
-
反應種屬:Human
-
免疫原:Recombinant Human Epidermal growth factor receptor kinase substrate 8 protein (572-670AA)
-
免疫原種屬:Homo sapiens (Human)
-
標記方式:Non-conjugated
本頁面中的產品,EPS8 Antibody (CSB-PA615539LA01HU),的標記方式是Non-conjugated。對于EPS8 Antibody,我們還提供其他標記。見下表:
-
克隆類型:Polyclonal
-
抗體亞型:IgG
-
純化方式:>95%, Protein G purified
-
濃度:It differs from different batches. Please contact us to confirm it.
-
保存緩沖液:Preservative: 0.03% Proclin 300
Constituents: 50% Glycerol, 0.01M PBS, pH 7.4 -
產品提供形式:Liquid
-
應用范圍:ELISA, IHC
-
推薦稀釋比:
Application Recommended Dilution IHC 1:200-1:500 -
Protocols:
-
儲存條件:Upon receipt, store at -20°C or -80°C. Avoid repeated freeze.
-
貨期:Basically, we can dispatch the products out in 1-3 working days after receiving your orders. Delivery time maybe differs from different purchasing way or location, please kindly consult your local distributors for specific delivery time.
-
用途:For Research Use Only. Not for use in diagnostic or therapeutic procedures.
相關產品
靶點詳情
-
功能:Signaling adapter that controls various cellular protrusions by regulating actin cytoskeleton dynamics and architecture. Depending on its association with other signal transducers, can regulate different processes. Together with SOS1 and ABI1, forms a trimeric complex that participates in transduction of signals from Ras to Rac by activating the Rac-specific guanine nucleotide exchange factor (GEF) activity. Acts as a direct regulator of actin dynamics by binding actin filaments and has both barbed-end actin filament capping and actin bundling activities depending on the context. Displays barbed-end actin capping activity when associated with ABI1, thereby regulating actin-based motility process: capping activity is auto-inhibited and inhibition is relieved upon ABI1 interaction. Also shows actin bundling activity when associated with BAIAP2, enhancing BAIAP2-dependent membrane extensions and promoting filopodial protrusions. Involved in the regulation of processes such as axonal filopodia growth, stereocilia length, dendritic cell migration and cancer cell migration and invasion. Acts as a regulator of axonal filopodia formation in neurons: in the absence of neurotrophic factors, negatively regulates axonal filopodia formation via actin-capping activity. In contrast, it is phosphorylated in the presence of BDNF leading to inhibition of its actin-capping activity and stimulation of filopodia formation. Component of a complex with WHRN and MYO15A that localizes at stereocilia tips and is required for elongation of the stereocilia actin core. Indirectly involved in cell cycle progression; its degradation following ubiquitination being required during G2 phase to promote cell shape changes.
-
基因功能參考文獻:
- Data showed that chronic myeloid leukemia (CML) patients expressed a higher level of EPS8 mRNA in bone marrow mononuclear cells. Functional results revealed that EPS8 regulated multiple biological functions such as proliferation, apoptosis, cell cycle, drug sensitivity of CML cells possibly by mediating the regulation of the BCR-ABL/AKT/mTOR signalling pathway. PMID: 29192326
- These results indicate that plasma-membrane-associated PTK6 phosphorylates Eps8, which promotes cell proliferation, adhesion, and migration PMID: 28214294
- Eps8/Abi1/Sos1 tricomplex acts as a key molecular switch altering the balance between Rac1 and Rho activation; its presence or absence in pancreatic ductal adenocarcinoma cells modulates alphavbeta6-dependent functions, resulting in a pro-migratory (Rac1-dependent) or a pro-TGF-beta1 activation (Rho-dependent) functional phenotype PMID: 28608476
- Immunohistochemistry revealed that Eps8 was significantly increased in cervical cancer specimens compared with squamous intraepithelial lesion and normal cervical tissues. Additionally, it was revealed that Eps8 expression not only correlated with cervical cancer progression, but also exhibited a close correlation with the epithelialmesenchymal transition (EMT) markers, Ecadherin and vimentin. PMID: 27573546
- Eps8 is required for continuous membrane blebbing. PMID: 26976596
- Erk activity promotes actin bundling by Eps8 to enhance cortex tension and drive the bleb-based migration of cancer cells under non-adhesive confinement. PMID: 26163656
- Eps8 is a crucial mediator of Src- and FAK-regulated processes. PMID: 25359883
- Eps8 is overexpressed in human breast cancers, possibly by regulating ERK signaling, MMP9, p53 and EMT-like transition to affect breast cancer cell growth, migration and invasion. PMID: 25333707
- EPS8, as MDR1 and WT1, may be a clinically valuable biomarker for assessing the outcome of ALL patients. PMID: 25843487
- These results indicate that employing the native and modified epitopes identified here in Eps8-based immunotherapy for HLA-A2.1 positive cancer patients may result in efficient anticancer immune responses for diverse tumor types. PMID: 25376540
- The ITSN2 interacts with Eps8 and stimulates the degradation of Eps8 proteins. PMID: 22449706
- EPS8 is an F-actin capping and bundling protein. Mutant mice lacking EPS8 (Eps8-/- mice), which is present in the hair bundle, the sensory antenna of the auditory sensory cells that operate the mechano-electrical transduction PMID: 24741995
- Eps8 functions as a key coordinator in the interplay between FGFR signalling and trafficking. PMID: 23203811
- results suggest that Eps8 may serve as a prognostic factor of responsiveness to chemotherapy in AML patients PMID: 24409660
- Novel binding partners and differentially regulated phosphorylation sites clarify Eps8 as a multi-functional adaptor. PMID: 23626693
- Eps8 is frequently expressed in OSCC. The aberrant expression of Eps8 closely correlated with poor survival in patients with OSCC. PMID: 22897151
- We found that Eps8 mediates cell proliferation and survival of glioma cells, at least in part, by affecting phosphorylated ERK and Akt/beta-catenin activities. PMID: 23229386
- Identify Fbxw5-driven fluctuation of Eps8 levels as an important mechanism that contributes to cell-shape changes during entry into-and exit from-mitosis. PMID: 23314863
- The loss of EPS8 expression in colorectal adenomas and carcinomas suggests that down regulation of this gene contributes to the development of a subset of colorectal cancers. PMID: 22876043
- silencing of the protein by siRNA abrogated the migratory and invasive capacity of three different glioblastoma cell lines both in 2-dimensional and 3-dimensional in vitro assays. PMID: 22683923
- Eps8 is a key regulator of the LPS-stimulated TLR4-MyD88 interaction and contributes to macrophage phagocytosis PMID: 22493489
- Studied generation of filopodia with regards to the dynamic interaction established by Eps8, IRSp53 and VASP with actin filaments. PMID: 21814501
- critical role for JNK2 and EPS8 in receptor tyrosine kinase signaling and trafficking to convey distinctly different effects on cell migration. PMID: 21357683
- Study implicates that the integrity of SOS1/EPS8/ABI1 tri-complex is a determinant of ovarian cancer metastasis. PMID: 21118970
- IRSp53, through its interaction with Eps8, not only affects cell migration but also dictates cellular growth in cancer cells. PMID: 20418908
- Overexpression of EPS8 induced expression of the chemokine ligands CXCL5 and CXCL12 in a FOXM1-dependent manner, which was blocked by LY294002 or a dominant-negative form of AKT PMID: 20351091
- Eps8 is recruited to lysosomes and subjected to chaperone-mediated autophagy in cancer cells PMID: 20184880
- Involved in the growth factor-controlled regulation of cell proliferation and differentiation in the seminiferous epithelium. PMID: 15273867
- These results support a model whereby the synergic bundling activity of the IRSp53-Eps8 complex, regulated by Cdc42, contributes to the generation of actin bundles, thus promoting filopodial protrusions. PMID: 17115031
- Eps8 is essential for actin dynamics and cell interactions, independent of Eps8-like gene products. PMID: 17537571
- These findings implicate the involvement of Eps8 in chemoresistance and show its importance in prognosis of cervical cancer patients. PMID: 18566210
- overexpression of EPS8 in HN4 cells was sufficient to induce growth of non-tumorigenic cells in orthotopic transplantation assays. EPS8 expression in samples of squamous cell carcinoma showed variable expression levels and paralleled expression of MMP-9 PMID: 19008210
- A role of Eps8 in amplifying growth factor receptor signaling in human pituitary tumors to promote proliferation and cell survival. PMID: 19116338
- Results show that alphavbeta6- and alpha5beta1-integrin-dependent activation of Rac1 was mediated through Eps8. PMID: 19448673
- the crystal structures of human LanCL1, both free of and complexed with glutathione, revealing glutathione binding to a zinc ion at the putative active site formed by conserved GxxG motifs PMID: 19528316
顯示更多
收起更多
-
相關疾病:Deafness, autosomal recessive, 102 (DFNB102)
-
亞細胞定位:Cytoplasm, cell cortex. Cell projection, ruffle membrane. Cell projection, growth cone. Cell projection, stereocilium. Cell junction, synapse, synaptosome.
-
蛋白家族:EPS8 family
-
組織特異性:Expressed in all tissues analyzed, including heart, brain, placenta, lung, liver, skeletal muscle, kidney and pancreas. Expressed in all epithelial and fibroblastic lines examined and in some, but not all, hematopoietic cells.
-
數據庫鏈接:
Most popular with customers
-
-
YWHAB Recombinant Monoclonal Antibody
Applications: ELISA, WB, IHC, IF, FC
Species Reactivity: Human, Mouse, Rat
-
Phospho-YAP1 (S127) Recombinant Monoclonal Antibody
Applications: ELISA, WB, IHC
Species Reactivity: Human
-
-
-
-
-















