EPG5 Antibody
-
中文名稱:EPG5兔多克隆抗體
-
貨號:CSB-PA384782
-
規格:¥1090
-
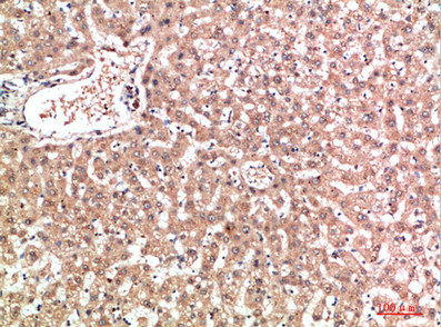
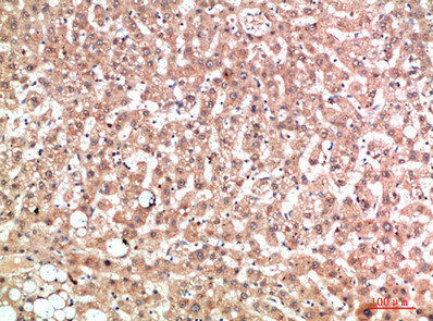
圖片:
-
其他:
產品詳情
-
Uniprot No.:
-
基因名:EPG5
-
別名:Ectopic P granules autophagy protein 5 homolog (C. elegans) antibody; Ectopic P granules protein 5 homolog antibody; Epg5 antibody; EPG5_HUMAN antibody; HEEW1 antibody; hEPG5 antibody; KIAA1632 antibody
-
宿主:Rabbit
-
反應種屬:Human
-
免疫原:Synthetic peptide from Human protein at AA range: 141-190
-
免疫原種屬:Homo sapiens (Human)
-
標記方式:Non-conjugated
-
純化方式:The antibody was affinity-purified from rabbit serum by affinity-chromatography using specific immunogen.
-
濃度:It differs from different batches. Please contact us to confirm it.
-
保存緩沖液:Liquid in PBS containing 50% glycerol, 0.5% BSA and 0.02% sodium azide.
-
產品提供形式:Liquid
-
應用范圍:IHC,ELISA
-
推薦稀釋比:
Application Recommended Dilution IHC IHC-p:1:50-300 ELISA 1:10000-20000 -
Protocols:
-
儲存條件:Upon receipt, store at -20°C or -80°C. Avoid repeated freeze.
-
貨期:Basically, we can dispatch the products out in 1-3 working days after receiving your orders. Delivery time maybe differs from different purchasing way or location, please kindly consult your local distributors for specific delivery time.
-
用途:For Research Use Only. Not for use in diagnostic or therapeutic procedures.
相關產品
靶點詳情
-
功能:Involved in autophagy. May play a role in a late step of autophagy, such as clearance of autophagosomal cargo. Plays a key role in innate and adaptive immune response triggered by unmethylated cytidine-phosphate-guanosine (CpG) dinucleotides from pathogens, and mediated by the nucleotide-sensing receptor TLR9. It is necessary for the translocation of CpG dinucleotides from early endosomes to late endosomes and lysosomes, where TLR9 is located.
-
基因功能參考文獻:
- Our findings expand the phenotypical spectrum of EPG5-related Vici syndrome and suggest that this severe condition may already present in utero PMID: 28748650
- Our report further reinforces that EPG5-related Vici syndrome is both a neurodevelopmental disorder, which can be diagnosed as early as the second trimester of pregnancy, as well as a neurodegenerative disorder. PMID: 28168853
- The Vici syndrome protein EPG5 is a Rab7 effector that determines the fusion specificity of autophagosomes with late endosomes/lysosomes. PMID: 27588602
- Seven SNPs were significantly associated with the risk of Alzheimer disease, and eight SNPs were associated with the age at onset of AD. PMID: 27586004
- We report two sisters with a nonsense mutation within exon 14 of the EPG5 gene and a phenotype consistent with Vici syndrome PMID: 26854214
- This article confirms in silico predictions of aberrant splicing in the EPG5 gene due to the mutation NM_020964.2; c.1007A>G p.Gln336Arg PMID: 27343256
- A mutation affecting the penultimate exon of EPG5 and presenting with typical clinical manifestations of Vici syndrome. PMID: 25331754
- Recessive mutations in EPG5 cause Vici syndrome, a multisystem disorder with defective autophagy. PMID: 23222957
- We characterized the KIAA1632 gene by computational methods: detailed investigation of the genomic structure, protein prediction, identification of orthologs in other species and phylogenetic analysis. PMID: 17549423
顯示更多
收起更多
-
相關疾病:Vici syndrome (VICIS)
-
亞細胞定位:Cytoplasm, perinuclear region. Lysosome.
-
蛋白家族:EPG5 family
-
數據庫鏈接:
Most popular with customers
-
-
YWHAB Recombinant Monoclonal Antibody
Applications: ELISA, WB, IHC, IF, FC
Species Reactivity: Human, Mouse, Rat
-
Phospho-YAP1 (S127) Recombinant Monoclonal Antibody
Applications: ELISA, WB, IHC
Species Reactivity: Human
-
-
-
-
-















