ENPP3 Antibody
-
中文名稱:ENPP3兔多克隆抗體
-
貨號:CSB-PA448237
-
規格:¥1100
-
圖片:
-
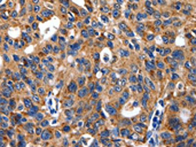
The image on the left is immunohistochemistry of paraffin-embedded Human colon cancer tissue using CSB-PA448237(ENPP3 Antibody) at dilution 1/15, on the right is treated with synthetic peptide. (Original magnification: ×200)
-
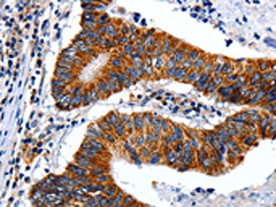
The image on the left is immunohistochemistry of paraffin-embedded Human ovarian cancer tissue using CSB-PA448237(ENPP3 Antibody) at dilution 1/15, on the right is treated with synthetic peptide. (Original magnification: ×200)
-
-
其他:
產品詳情
-
Uniprot No.:
-
基因名:
-
別名:Alkaline phosphodiesterase I antibody; ARHR2 antibody; B10 antibody; CD203c antibody; CD203c antigen antibody; dJ1005H11.3 (phosphodiesterase I/nucleotide pyrophosphatase 3) antibody; dJ914N13.3 (phosphodiesterase I/nucleotide pyrophosphatase 3) antibody; E NPP 3 antibody; E-NPP 3 antibody; Ectonucleotide pyrophosphatase/phosphodiesterase 3 antibody; Ectonucleotide pyrophosphatase/phosphodiesterase family member 3 antibody; ENPP3 antibody; ENPP3_HUMAN antibody; gp130RB13 6 antibody; gp130RB136 antibody; M6S1 antibody; NPP1 antibody; NPP3 antibody; NPPase antibody; NPPS antibody; Nucleotide pyrophosphatase antibody; PC 1 antibody; PC-1 antibody; PCA1 antibody; PD Ibeta antibody; PD-Ibeta antibody; PDNP1 antibody; PDNP3 antibody; Phosphodiesterase I beta antibody; Phosphodiesterase I/nucleotide pyrophosphatase 3 antibody; phosphodiesterase i/nucleotide pyrophosphatase beta antibody
-
宿主:Rabbit
-
反應種屬:Human,Mouse,Rat
-
免疫原:Synthetic peptide of Human ENPP3
-
免疫原種屬:Homo sapiens (Human)
-
標記方式:Non-conjugated
-
抗體亞型:IgG
-
純化方式:Antigen affinity purification
-
濃度:It differs from different batches. Please contact us to confirm it.
-
保存緩沖液:-20°C, pH7.4 PBS, 0.05% NaN3, 40% Glycerol
-
產品提供形式:Liquid
-
應用范圍:ELISA,IHC
-
推薦稀釋比:
Application Recommended Dilution ELISA 1:1000-1:2000 IHC 1:10-1:50 -
Protocols:
-
儲存條件:Upon receipt, store at -20°C or -80°C. Avoid repeated freeze.
-
貨期:Basically, we can dispatch the products out in 1-3 working days after receiving your orders. Delivery time maybe differs from different purchasing way or location, please kindly consult your local distributors for specific delivery time.
-
用途:For Research Use Only. Not for use in diagnostic or therapeutic procedures.
相關產品
靶點詳情
-
功能:Hydrolase that metabolizes extracellular nucleotides, including ATP, GTP, UTP and CTP. Limits mast cell and basophil responses during inflammation and during the chronic phases of allergic responses by eliminating the extracellular ATP that functions as signaling molecule and activates basophils and mast cells and induces the release of inflammatory cytokines. Metabolizes extracellular ATP in the lumen of the small intestine, and thereby prevents ATP-induced apoptosis of intestinal plasmacytoid dendritic cells. Has also alkaline phosphodiesterase activity.
-
基因功能參考文獻:
- We showed the ability of the immunological marker CD203c to predict the clinical efficacy of sublingual immunotherapy on rhinitis subjects allergic to Parietaria. PMID: 29702283
- Basophil CD203c surface expression reliably discriminated cystic fibrosis with allergic bronchopulmonary aspergillosis from cystic fibrosis with Aspergillus colonization and cystic fibrosis over time. PMID: 26585435
- Expression of CD203c on basophils as a marker of immunoglobulin E-mediated (L)-asparaginase allergy. PMID: 23581640
- Anaphylactic transfusion reaction in homozygous haptoglobin deficiency detected by CD203c expression on basophils. PMID: 24497482
- ENPP3 is a regulator of N-acetylglucosaminyltransferase GnT-IX (GnT-Vb) PMID: 23960081
- The early signaling requirements for the CD11b/CD203c compartment expression and CD63 degranulation provide support for the hypothesis that CD11b and CD203c reside in a similar compartment. PMID: 22722613
- Subjects with nut allergy show an increase of basophil CD203c levels at baseline and following rapid ex vivo stimulation with nut allergen PMID: 20975283
- Asthma exacerbation was accompanied by increased expression of CD203c on basophils that decreased significantly during remission PMID: 20159259
- Influence of hyperosmotic conditions on basophil CD203c upregulation in patients with food-dependent exercise-induced anaphylaxis. PMID: 20047266
- Data show that low and high dilutions of histamine inhibit CD203c up-regulation in anti-IgE stimulated basophils. PMID: 19418203
- E-NPP3 is associated with carcinogenesis of human colon cancer and that serum E-NPP3 might be a tumor marker of colon carcinoma PMID: 14533006
- E-NPP3 is involved in the infiltration of neoplastic bile duct carcinoma PMID: 15072822
- Our data demonstrate that leptin promotes platelet activation, provides a mechanistic basis for the prothrombotic effect of this hormone, and identifies a potentially novel therapeutic avenue to limit obesity-associated cardiovascular disease. PMID: 15886225
- In conclusion, using well-defined experimental conditions, the measurement of CD203c up-regulation on basophils in response to specific allergens is as reliable as CD63-BAT for the in vitro diagnosis of patients with IgE-mediated allergy. PMID: 17275019
顯示更多
收起更多
-
亞細胞定位:Cell membrane; Single-pass type II membrane protein. Apical cell membrane; Single-pass type II membrane protein. Secreted.
-
蛋白家族:Nucleotide pyrophosphatase/phosphodiesterase family
-
組織特異性:Detected on bile ducts in liver, and in blood serum (at protein level). Detected in prostate and uterus. Detected on basophils, but not neutrophils.
-
數據庫鏈接:
Most popular with customers
-
YWHAB Recombinant Monoclonal Antibody
Applications: ELISA, WB, IHC, IF, FC
Species Reactivity: Human, Mouse, Rat
-
Phospho-YAP1 (S127) Recombinant Monoclonal Antibody
Applications: ELISA, WB, IHC
Species Reactivity: Human
-
-
-
-
-
-















