ENOX2 Antibody
-
中文名稱:ENOX2兔多克隆抗體
-
貨號:CSB-PA007677ESR1HU
-
規格:¥440
-
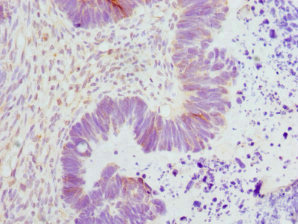
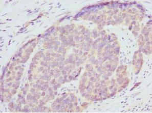
圖片:
-
其他:
產品詳情
-
產品名稱:Rabbit anti-Homo sapiens (Human) ENOX2 Polyclonal antibody
-
Uniprot No.:
-
基因名:ENOX2
-
別名:APK1 antibody; APK1 antigen antibody; COVA1 antibody; Cytosolic ovarian carcinoma antigen 1 antibody; Ecto NOX disulfide thiol exchanger 2 antibody; ENOX 2 antibody; ENOX2 antibody; ENOX2_HUMAN antibody; OTTHUMP00000024021 antibody; OTTHUMP00000024022 antibody; Protein disulfide-thiol oxidoreductase antibody; tNOX antibody; Tumor associated hydroquinone oxidase antibody; Tumor-associated hydroquinone oxidase antibody
-
宿主:Rabbit
-
反應種屬:Human
-
免疫原:Recombinant Human Ecto-NOX disulfide-thiol exchanger 2 protein (411-610AA)
-
免疫原種屬:Homo sapiens (Human)
-
標記方式:Non-conjugated
-
克隆類型:Polyclonal
-
抗體亞型:IgG
-
純化方式:Antigen Affinity Purified
-
濃度:It differs from different batches. Please contact us to confirm it.
-
保存緩沖液:PBS with 0.02% sodium azide, 50% glycerol, pH7.3.
-
產品提供形式:Liquid
-
應用范圍:ELISA, IHC
-
推薦稀釋比:
Application Recommended Dilution IHC 1:20-1:200 -
Protocols:
-
儲存條件:Upon receipt, store at -20°C or -80°C. Avoid repeated freeze.
-
貨期:Basically, we can dispatch the products out in 1-3 working days after receiving your orders. Delivery time maybe differs from different purchasing way or location, please kindly consult your local distributors for specific delivery time.
-
用途:For Research Use Only. Not for use in diagnostic or therapeutic procedures.
相關產品
靶點詳情
-
功能:May be involved in cell growth. Probably acts as a terminal oxidase of plasma electron transport from cytosolic NAD(P)H via hydroquinones to acceptors at the cell surface. Hydroquinone oxidase activity alternates with a protein disulfide-thiol interchange/oxidoreductase activity which may control physical membrane displacements associated with vesicle budding or cell enlargement. The activities oscillate with a period length of 22 minutes and play a role in control of the ultradian cellular biological clock.
-
基因功能參考文獻:
- The tumor-associated NADH oxidase (tNOX)-mediated modulation of the NAD+ concentration and SIRT1 are involved in oxaliplatin-induced apoptosis. PMID: 28122359
- These findings not only shed light on the molecular mechanism of the anticancer properties of capsaicin, but also the transcription regulation of tNOX expression that may potentially explain how POU3F2 is associated with tumorigenesis. PMID: 27271588
- The findings support a role for arNOX as a major source of oxidative damage leading to cross-linking of skin proteins. PMID: 24906676
- The results suggest that phosphorylation of serine-504 by PKCdelta modulates the biological function of tNOX. PMID: 22659163
- this result suggests that hnRNP F directs formation of the exon 4 minus variant of ENOX2. PMID: 21625959
- increased NADH levels resulting from ENOX2 inhibition result in decreased prosurvival sphingosine-1-phosphate and increased proapoptotic ceramide, both of which may be important to initiation of the ENOX2 inhibitor-induced apoptotic cascade. PMID: 21571040
- ENOX2 is a dimeric protein containing 4 coppers/dimer capable of carrying out concerted four electron transfers from NADH or ubiquinol to molecular oxygen as required to form water. PMID: 20922471
- arNOX activity correlates with age and reaches a maximum at about age 65 in males and 55 in females. PMID: 20345278
- Enhanced arNOX activity correlates with age and with oxidative changes contributing to skin aging. PMID: 19734125
- tNOX is both necessary and sufficient for the cellular anticancer activities attributed to both EGCg and capsaicin. *tNOX enzyme PMID: 15706060
- results indicate that shRNA targeting of tNOX inhibits the growth of cervical cancer cells, and reduces cell migration via a decrease in the membrane association of Rac. PMID: 18023414
- A relationship of tNOX to unregulated growth of cancer cells was provided by data where growth of HeLa cells was inhibited by transfection with the exon 5 antisense oligonucleotides PMID: 18351130
- These results indicate that tNOX is suppressed during apoptosis and demonstrate that tNOX down-regulation sensitizes cells to stress-induced growth reduction, suggesting that tNOX is required for transformed cell growth. PMID: 18789934
顯示更多
收起更多
-
亞細胞定位:Cell membrane. Secreted, extracellular space. Note=Extracellular and plasma membrane-associated.
-
蛋白家族:ENOX family
-
組織特異性:Found in the sera of cancer patients with a wide variety of cancers including breast, prostate, lung and ovarian cancers, leukemias, and lymphomas. Not found in the serum of healthy volunteers or patients with disorders other than cancer. Probably shed in
-
數據庫鏈接:
Most popular with customers
-
-
YWHAB Recombinant Monoclonal Antibody
Applications: ELISA, WB, IHC, IF, FC
Species Reactivity: Human, Mouse, Rat
-
Phospho-YAP1 (S127) Recombinant Monoclonal Antibody
Applications: ELISA, WB, IHC
Species Reactivity: Human
-
-
-
-
-















