EMCN Antibody
-
中文名稱:EMCN兔多克隆抗體
-
貨號:CSB-PA007632ESR1HU
-
規格:¥440
-
圖片:
-
Western Blot
Positive WB detected in: HEK293 whole cell lysate(20μg), 293T whole cell lysate(20μg), PC-3 whole cell lysate(20μg)
All lanes: FFAR3 antibody at 1:1000
Secondary
Goat polyclonal to rabbit IgG at 1/40000 dilution
Predicted band size: 27, 19 kDa
Observed band size: 37 kDa
Exposure time: 5s -
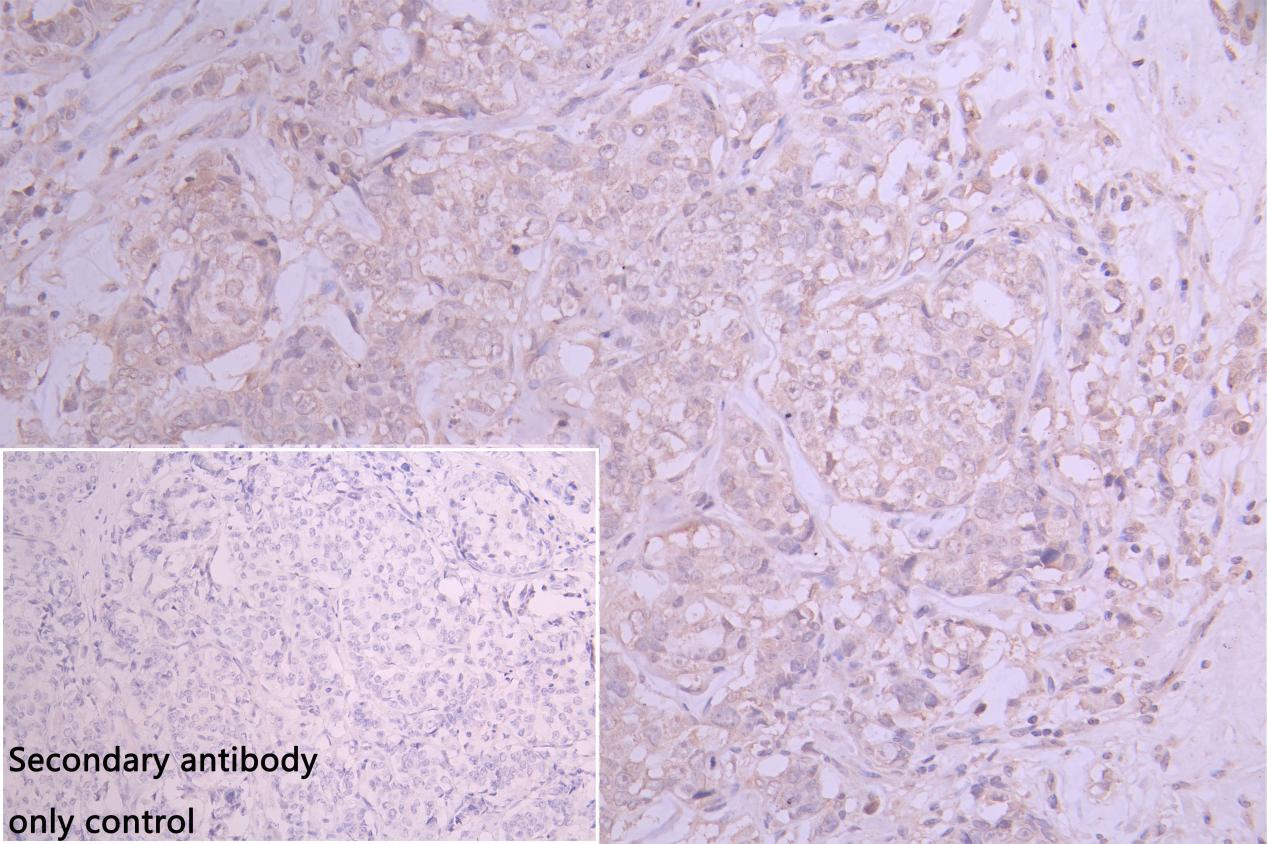
IHC image of CSB-PA007632ESR1HU diluted at 1:50 and staining in paraffin-embedded human breast cancer performed on a Leica BondTM system. After dewaxing and hydration, antigen retrieval was mediated by high pressure in a citrate buffer (pH 6.0). Section was blocked with 10% normal goat serum 30min at RT. Then primary antibody (1% BSA) was incubated at 4°C overnight. The primary is detected by a Goat anti-rabbit polymer IgG labeled by HRP and visualized using 0.05% DAB. Secondary antibody only control: uses 1% BSA instead of primary antibody
-
-
其他:
產品詳情
-
產品描述:
Rabbits were immunized with the recombinant human Endomucin protein (19-135aa) to produce the EMCN polyclonal antibodies. This stimulates the rabbit's immune system to produce a varied set of antibodies that recognize distinct epitopes on the antigen. Subsequently, the antibodies were purified from the rabbits' sera using antigen affinity chromatography.
The effectiveness of the EMCN antibody was evaluated in ELISA and IHC applications, and it was found to efficiently identify and bind the EMCN protein in human samples. The EMCN protein is involved in controlling vascular permeability and angiogenesis, which is the process of forming new blood vessels.
-
產品名稱:Rabbit anti-Homo sapiens (Human) EMCN Polyclonal antibody
-
Uniprot No.:
-
基因名:EMCN
-
別名:EMCN antibody; EMCN2 antibody; Endomucin 2 antibody; Endomucin antibody; Endomucin-2 antibody; Endothelial sialomucin antibody; Gastric cancer antigen Ga34 antibody; MUC-14 antibody; MUC14 antibody; MUCEN_HUMAN antibody; Mucin 14 antibody; Mucin-14 antibody
-
宿主:Rabbit
-
反應種屬:Human
-
免疫原:Recombinant Human Endomucin protein (19-135AA)
-
免疫原種屬:Homo sapiens (Human)
-
標記方式:Non-conjugated
-
克隆類型:Polyclonal
-
抗體亞型:IgG
-
純化方式:Antigen Affinity Purified
-
濃度:It differs from different batches. Please contact us to confirm it.
-
保存緩沖液:PBS with 0.02% sodium azide, 50% glycerol, pH7.3.
-
產品提供形式:Liquid
-
應用范圍:ELISA, WB, IHC
-
推薦稀釋比:
Application Recommended Dilution WB 1:1000-1:3000 IHC 1:50-1:200 -
Protocols:
-
儲存條件:Upon receipt, store at -20°C or -80°C. Avoid repeated freeze.
-
貨期:Basically, we can dispatch the products out in 1-3 working days after receiving your orders. Delivery time maybe differs from different purchasing way or location, please kindly consult your local distributors for specific delivery time.
-
用途:For Research Use Only. Not for use in diagnostic or therapeutic procedures.
相關產品
靶點詳情
-
功能:Endothelial sialomucin, also called endomucin or mucin-like sialoglycoprotein, which interferes with the assembly of focal adhesion complexes and inhibits interaction between cells and the extracellular matrix.
-
基因功能參考文獻:
- In contrast, endomucin (EMCN) is present on the lymphatic sinus endothelium and not on lymphatic endothelium of the subcapsular sinus. Moreover, both murine and human MSR1 on lymphatic endothelium of the SS bind lymphocytes and in in vivo studies MSR1 regulates entrance of lymphocytes from the SS to the lymph node parenchyma PMID: 27601677
- These results indicate that endomucin prevents leukocyte contact with adhesion molecules in non-inflamed tissues and that downregulation of endomucin is critical to facilitate adhesion of leukocytes into inflamed tissues. PMID: 26831939
- Knockdown of endomucin markedly attenuated endothelial cell growth, migration and tube formation. PMID: 21666600
- A significant association between EMCN and rheumatoid arthritis susceptibility was detected in our Japanese study population. The EMCN allele conferring rheumatoid arthritis susceptibility may also contribute to the pathogenesis of rheumatoid arthritis. PMID: 21159824
-
亞細胞定位:[Isoform 1]: Cell membrane; Single-pass type I membrane protein. Membrane; Single-pass type I membrane protein. Note=Consistently localized to the plasma membrane and less abundantly to Golgi-like perinuclear stacks.; [Isoform 2]: Secreted.
-
組織特異性:Expressed in heart, kidney and lung.
-
數據庫鏈接:
Most popular with customers
-
-
YWHAB Recombinant Monoclonal Antibody
Applications: ELISA, WB, IHC, IF, FC
Species Reactivity: Human, Mouse, Rat
-
Phospho-YAP1 (S127) Recombinant Monoclonal Antibody
Applications: ELISA, WB, IHC
Species Reactivity: Human
-
-
-
-
-















