ELMOD1 Antibody
-
中文名稱:ELMOD1兔多克隆抗體
-
貨號:CSB-PA839788ESR2HU
-
規格:¥440
-
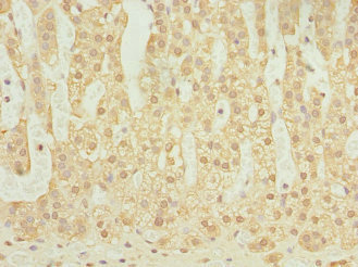
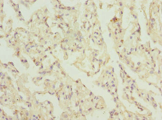
圖片:
-
其他:
產品詳情
-
產品名稱:Rabbit anti-Homo sapiens (Human) ELMOD1 Polyclonal antibody
-
Uniprot No.:
-
基因名:ELMOD1
-
別名:DKFZp547C176 antibody; ELMD1_HUMAN antibody; ELMO domain containing 1 antibody; ELMO domain-containing protein 1 antibody; ELMO/CED 12 domain containing 1 antibody; Elmod1 antibody
-
宿主:Rabbit
-
反應種屬:Human
-
免疫原:Recombinant Human ELMO domain-containing protein 1 protein (185-334AA)
-
免疫原種屬:Homo sapiens (Human)
-
標記方式:Non-conjugated
-
克隆類型:Polyclonal
-
抗體亞型:IgG
-
純化方式:Antigen Affinity Purified
-
濃度:It differs from different batches. Please contact us to confirm it.
-
保存緩沖液:PBS with 0.02% sodium azide, 50% glycerol, pH7.3.
-
產品提供形式:Liquid
-
應用范圍:ELISA, IHC
-
推薦稀釋比:
Application Recommended Dilution IHC 1:20-1:200 -
Protocols:
-
儲存條件:Upon receipt, store at -20°C or -80°C. Avoid repeated freeze.
-
貨期:Basically, we can dispatch the products out in 1-3 working days after receiving your orders. Delivery time maybe differs from different purchasing way or location, please kindly consult your local distributors for specific delivery time.
-
用途:For Research Use Only. Not for use in diagnostic or therapeutic procedures.
相關產品
靶點詳情
-
功能:Acts as a GTPase-activating protein (GAP) toward guanine nucleotide exchange factors like ARL2, ARL3, ARF1 and ARF6, but not for GTPases outside the Arf family.
-
基因功能參考文獻:
- Data suggest that GPR124 promotes cell adhesion via interaction with Elmo1-Dock180 and intersectin 1/2; this constitutes a previously unrecognized heteromeric complex that is putatively involved in GPR124-dependent adhesive/angiogenic responses in vascular endothelial cells. (GPR124 = G-protein coupled receptor 124; Elmo1 = ELMO domain-containing protein 1; Dock180 = dedicator of cytokinesis protein 1 180 kDa) PMID: 28600358
- The non-opioid sigma-1 receptor (S1R) was identified as a novel effector of GAP activity of ELMOD1-3 proteins as its direct binding to either ELMOD1 or ELMOD2 resulted in loss of GAP activity. PMID: 24616099
-
數據庫鏈接:
Most popular with customers
-
-
YWHAB Recombinant Monoclonal Antibody
Applications: ELISA, WB, IHC, IF, FC
Species Reactivity: Human, Mouse, Rat
-
Phospho-YAP1 (S127) Recombinant Monoclonal Antibody
Applications: ELISA, WB, IHC
Species Reactivity: Human
-
-
-
-
-















