ELAVL3 Antibody
-
中文名稱:ELAVL3兔多克隆抗體
-
貨號:CSB-PA618895LA01HU
-
規格:¥440
-
圖片:
-
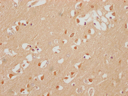
IHC image of CSB-PA618895LA01HU diluted at 1:200 and staining in paraffin-embedded human brain tissue performed on a Leica BondTM system. After dewaxing and hydration, antigen retrieval was mediated by high pressure in a citrate buffer (pH 6.0). Section was blocked with 10% normal goat serum 30min at RT. Then primary antibody (1% BSA) was incubated at 4°C overnight. The primary is detected by a Goat anti-rabbit polymer IgG labeled by HRP and visualized using 0.05% DAB.
-
-
其他:
產品詳情
-
產品名稱:Rabbit anti-Homo sapiens (Human) ELAVL3 Polyclonal antibody
-
Uniprot No.:
-
基因名:ELAVL3
-
別名:ELAV-like protein 3 (Hu-antigen C) (HuC) (Paraneoplastic cerebellar degeneration-associated antigen) (Paraneoplastic limbic encephalitis antigen 21), ELAVL3, HUC PLE21
-
宿主:Rabbit
-
反應種屬:Human
-
免疫原:Recombinant Human ELAV-like protein 3 protein (1-367aa)
-
免疫原種屬:Homo sapiens (Human)
-
標記方式:Non-conjugated
本頁面中的產品,ELAVL3 Antibody (CSB-PA618895LA01HU),的標記方式是Non-conjugated。對于ELAVL3 Antibody,我們還提供其他標記。見下表:
-
克隆類型:Polyclonal
-
抗體亞型:IgG
-
純化方式:>95%, Protein G purified
-
濃度:It differs from different batches. Please contact us to confirm it.
-
保存緩沖液:Preservative: 0.03% Proclin 300
Constituents: 50% Glycerol, 0.01M PBS, pH 7.4 -
產品提供形式:Liquid
-
應用范圍:ELISA, IHC
-
推薦稀釋比:
Application Recommended Dilution IHC 1:100-1:500 -
Protocols:
-
儲存條件:Upon receipt, store at -20°C or -80°C. Avoid repeated freeze.
-
貨期:Basically, we can dispatch the products out in 1-3 working days after receiving your orders. Delivery time maybe differs from different purchasing way or location, please kindly consult your local distributors for specific delivery time.
-
用途:For Research Use Only. Not for use in diagnostic or therapeutic procedures.
相關產品
靶點詳情
-
功能:RNA-binding protein that binds to AU-rich element (ARE) sequences of target mRNAs, including VEGF mRNA. May also bind poly-A tracts via RRM 3. May be involved in neuronal differentiation and maintenance. Plays a role in the stabilization of GAP43 mRNA and in spatial learning.
-
基因功能參考文獻:
- HuC expression in neuroblastoma PMID: 12209604
-
蛋白家族:RRM elav family
-
組織特異性:Brain specific.
-
數據庫鏈接:
Most popular with customers
-
-
YWHAB Recombinant Monoclonal Antibody
Applications: ELISA, WB, IHC, IF, FC
Species Reactivity: Human, Mouse, Rat
-
Phospho-YAP1 (S127) Recombinant Monoclonal Antibody
Applications: ELISA, WB, IHC
Species Reactivity: Human
-
-
-
-
-















