EIF4E2 Antibody
-
中文名稱:EIF4E2兔多克隆抗體
-
貨號:CSB-PA007558ESR1HU
-
規格:¥440
-
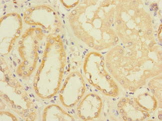
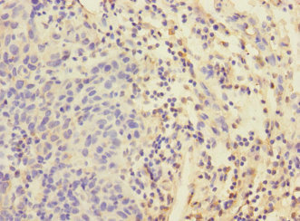
圖片:
-
其他:
產品詳情
-
產品名稱:Rabbit anti-Homo sapiens (Human) EIF4E2 Polyclonal antibody
-
Uniprot No.:
-
基因名:
-
別名:4E LP antibody; 4EHP antibody; 4ELP antibody; EIF 4E type 2 antibody; eIF-4E type 2 antibody; EIF4 E2 antibody; EIF4E 2 antibody; eIF4E family; member 2 antibody; EIF4E HOMOLOGOUS PROTEIN antibody; EIF4E like cap binding protein antibody; EIF4E like protein 4E LP antibody; EIF4E like protein 4ELP antibody; eIF4E type 2 antibody; EIF4E type 3 antibody; eIF4E-like 3 antibody; eIF4E-like protein 4E-LP antibody; EIF4E2 antibody; Eukaryotic translation initiation factor 4E family member 2 antibody; Eukaryotic translation initiation factor 4E homologous protein antibody; Eukaryotic translation initiation factor 4E like 3 antibody; Eukaryotic translation initiation factor 4E member 2 antibody; Eukaryotic translation initiation factor 4E type 2 antibody; Eukaryotic translation initiation factor 4E-like 3 antibody; IF 4e antibody; IF4E antibody; IF4E2_HUMAN antibody; mRNA cap binding protein 4EHP antibody; mRNA cap binding protein type 3 antibody; mRNA cap-binding protein 4EHP antibody; mRNA cap-binding protein type 3 antibody
-
宿主:Rabbit
-
反應種屬:Human
-
免疫原:Recombinant Human Eukaryotic translation initiation factor 4E type 2 protein (1-240AA)
-
免疫原種屬:Homo sapiens (Human)
-
標記方式:Non-conjugated
-
克隆類型:Polyclonal
-
抗體亞型:IgG
-
純化方式:Antigen Affinity Purified
-
濃度:It differs from different batches. Please contact us to confirm it.
-
保存緩沖液:PBS with 0.02% sodium azide, 50% glycerol, pH7.3.
-
產品提供形式:Liquid
-
應用范圍:ELISA, IHC
-
推薦稀釋比:
Application Recommended Dilution IHC 1:20-1:200 -
Protocols:
-
儲存條件:Upon receipt, store at -20°C or -80°C. Avoid repeated freeze.
-
貨期:Basically, we can dispatch the products out in 1-3 working days after receiving your orders. Delivery time maybe differs from different purchasing way or location, please kindly consult your local distributors for specific delivery time.
-
用途:For Research Use Only. Not for use in diagnostic or therapeutic procedures.
相關產品
靶點詳情
-
功能:Recognizes and binds the 7-methylguanosine-containing mRNA cap during an early step in the initiation. Acts as a repressor of translation initiation. In contrast to EIF4E, it is unable to bind eIF4G (EIF4G1, EIF4G2 or EIF4G3), suggesting that it acts by competing with EIF4E and block assembly of eIF4F at the cap. In P-bodies, component of a complex that promotes miRNA-mediated translational repression.
-
基因功能參考文獻:
- cadherin-22 is upregulated in hypoxia via mTORC1-independent translational control by the initiation factor eIF4E2 functioning as a hypoxia-specific cell-surface molecule involved in cancer cell migration, invasion and adhesion. PMID: 28991229
- cap-binding activity contributes to the translational silencing by miRNAs through the CCR4-NOT complex PMID: 28487484
- We performed bioinformatics analyses of ESTs and the 3'UTRs of the main transcript splice variants of the translational initiation factor eIF4E1 and its family members, eIF4E2 and eIF4E3. We propose to elucidate the minor splice variants of eIF4E2 and eIF4E3 in great detail because they might produce proteins with modified features that fulfill different cellular roles from their major counterparts. PMID: 28942592
- miRNA enhances eIF4E2 association with the target mRNA PMID: 28755203
- Following heat shock, eIF4E2 is found in both processing bodies and stress granules, whereas eIF4E3_A relocates only to stress granules. PMID: 27578149
- Tristetraprolin recruits eukaryotic initiation factor 4E2 (eIF4E2) to repress target mRNA translation. PMID: 26370510
- DNA damage induces an increase in ARIH1 protein levels and association of ARIH1 with 4EHP. In turn, this causes 4EHP recruitment to the mRNA cap, where it is known to compete with eIF4E. PMID: 25624349
- provide evidence that eIF4E2 binds 4E-T in the yeast two hybrid assay, as well as in pull-down assays and by recruitment to P-bodies in mammalian cells PMID: 23991149
- Activation of eIF4E2-directed translation is essential for cancer cells. PMID: 24408918
- GIGYF2 and the zinc finger protein 598 (ZNF598) are identified as components of the 4EHP complex. PMID: 22751931
- 4EHP over-expression instigates a negative feedback loop that inhibits upstream signaling to 4E-BP1 and ribosomal protein S6 kinase 1 (S6K1) whereas the 4E-BP1-binding-deficient mutant of 4EHP(W95A) was unable to trigger this feedback loop PMID: 15094042
- ISGylation of 4EHP may play an important role in cap structure-dependent translation control in immune responses. PMID: 17289916
- 4EHP plays a physiological role utilizing both cap-binding and protein-binding functions but which is distinct from eIF4E. PMID: 17368478
- 4EHP binds cap analogs m(7)GpppG and m(7)GTP with low affinity PMID: 17369309
顯示更多
收起更多
-
亞細胞定位:Cytoplasm. Cytoplasm, P-body.
-
蛋白家族:Eukaryotic initiation factor 4E family
-
數據庫鏈接:















