-
中文名稱:EIF3G兔多克隆抗體
-
貨號:CSB-PA03099A0Rb
-
規格:¥440
-
圖片:
-
IHC image of CSB-PA03099A0Rb diluted at 1:400 and staining in paraffin-embedded human prostate cancer performed on a Leica BondTM system. After dewaxing and hydration, antigen retrieval was mediated by high pressure in a citrate buffer (pH 6.0). Section was blocked with 10% normal goat serum 30min at RT. Then primary antibody (1% BSA) was incubated at 4°C overnight. The primary is detected by a biotinylated secondary antibody and visualized using an HRP conjugated SP system.
-
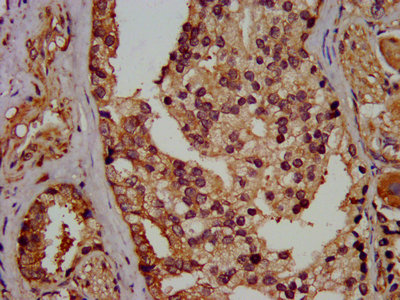
IHC image of CSB-PA03099A0Rb diluted at 1:400 and staining in paraffin-embedded human colon cancer performed on a Leica BondTM system. After dewaxing and hydration, antigen retrieval was mediated by high pressure in a citrate buffer (pH 6.0). Section was blocked with 10% normal goat serum 30min at RT. Then primary antibody (1% BSA) was incubated at 4°C overnight. The primary is detected by a biotinylated secondary antibody and visualized using an HRP conjugated SP system.
-
Immunofluorescence staining of HepG2 cells with CSB-PA03099A0Rb at 1:133, counter-stained with DAPI. The cells were fixed in 4% formaldehyde, permeabilized using 0.2% Triton X-100 and blocked in 10% normal Goat Serum. The cells were then incubated with the antibody overnight at 4°C. The secondary antibody was Alexa Fluor 488-congugated AffiniPure Goat Anti-Rabbit IgG(H+L).
-
-
其他:
產品詳情
-
產品名稱:Rabbit anti-Homo sapiens (Human) EIF3G Polyclonal antibody
-
Uniprot No.:
-
基因名:EIF3G
-
別名:44kDa antibody; Anti EIF3S4 antibody; eIF 3 delta antibody; eIF 3 RNA binding subunit antibody; eIF-3 RNA-binding subunit antibody; eIF-3-delta antibody; eIF3 delta antibody; eIF3 p42 antibody; eIF3 p44 antibody; eIF3g antibody; EIF3G_HUMAN antibody; EIF3S4 antibody; EIF3S4 antibody antibody; EIF3S4; formerly antibody; Eukaryotic translation initiation factor 3 antibody; Eukaryotic translation initiation factor 3 RNA binding subunit antibody; Eukaryotic translation initiation factor 3 RNA-binding subunit antibody; Eukaryotic translation initiation factor 3 subunit 4 antibody; Eukaryotic translation initiation factor 3 subunit 4 delta 44 kD antibody; Eukaryotic translation initiation factor 3 subunit G antibody; Eukaryotic translation initiation factor 3 subunit p42 antibody; Eukaryotic translation initiation factor 3; subunit 4; formerly antibody; Subunit 4 (delta 44kD) antibody; Subunit 4 delta antibody
-
宿主:Rabbit
-
反應種屬:Human
-
免疫原:Recombinant Human Eukaryotic translation initiation factor 3 subunit G protein (2-320AA)
-
免疫原種屬:Homo sapiens (Human)
-
標記方式:Non-conjugated
本頁面中的產品,EIF3G Antibody (CSB-PA03099A0Rb),的標記方式是Non-conjugated。對于EIF3G Antibody,我們還提供其他標記。見下表:
-
克隆類型:Polyclonal
-
抗體亞型:IgG
-
純化方式:>95%, Protein G purified
-
濃度:It differs from different batches. Please contact us to confirm it.
-
保存緩沖液:Preservative: 0.03% Proclin 300
Constituents: 50% Glycerol, 0.01M PBS, PH 7.4 -
產品提供形式:Liquid
-
應用范圍:ELISA, IHC, IF
-
推薦稀釋比:
Application Recommended Dilution IHC 1:200-1:500 IF 1:50-1:200 -
Protocols:
-
儲存條件:Upon receipt, store at -20°C or -80°C. Avoid repeated freeze.
-
貨期:Basically, we can dispatch the products out in 1-3 working days after receiving your orders. Delivery time maybe differs from different purchasing way or location, please kindly consult your local distributors for specific delivery time.
-
用途:For Research Use Only. Not for use in diagnostic or therapeutic procedures.
引用文獻
- System-wide Profiling of RNA-Binding Proteins Uncovers Key Regulators of Virus Infection Garcia-Moreno M, et al,Molecular Cell,2019
相關產品
靶點詳情
-
功能:RNA-binding component of the eukaryotic translation initiation factor 3 (eIF-3) complex, which is required for several steps in the initiation of protein synthesis. The eIF-3 complex associates with the 40S ribosome and facilitates the recruitment of eIF-1, eIF-1A, eIF-2:GTP:methionyl-tRNAi and eIF-5 to form the 43S pre-initiation complex (43S PIC). The eIF-3 complex stimulates mRNA recruitment to the 43S PIC and scanning of the mRNA for AUG recognition. The eIF-3 complex is also required for disassembly and recycling of post-termination ribosomal complexes and subsequently prevents premature joining of the 40S and 60S ribosomal subunits prior to initiation. The eIF-3 complex specifically targets and initiates translation of a subset of mRNAs involved in cell proliferation, including cell cycling, differentiation and apoptosis, and uses different modes of RNA stem-loop binding to exert either translational activation or repression. This subunit can bind 18S rRNA.; (Microbial infection) In case of FCV infection, plays a role in the ribosomal termination-reinitiation event leading to the translation of VP2.
-
基因功能參考文獻:
- The disease-associated allele increases EIF3G mRNA expression. EIF3G is located in the narcolepsy risk locus and EIF3G expression correlates with PPAN and P2RY11 expression. PMID: 25669430
- Important roles for eIF3g in the translation initiation machinery and in DNA degradation during apoptosis. PMID: 24080033
- down-regulation of eIF3g inhibits the efficiency of nonsense-mediated mRNA decay, which is tightly coupled to CT but not to ET PMID: 22493286
- Furthermore, we found that overexpression of DISC1 in SH-SY5Y cells induces the assembly of eIF3- and TIA-1-positive stress granules (SGs), discrete cytoplasmic granules formed in response to environmental stresses. PMID: 16243297
- AIF overexpression specifically resulted in the activation of caspase-7, thereby amplifying the inhibition of protein PMID: 17094969
顯示更多
收起更多
-
亞細胞定位:Cytoplasm. Nucleus. Cytoplasm, perinuclear region. Note=Colocalizes with AIFM1 in the nucleus and perinuclear region.
-
蛋白家族:EIF-3 subunit G family
-
數據庫鏈接:
Most popular with customers
-
-
YWHAB Recombinant Monoclonal Antibody
Applications: ELISA, WB, IHC, IF, FC
Species Reactivity: Human, Mouse, Rat
-
Phospho-YAP1 (S127) Recombinant Monoclonal Antibody
Applications: ELISA, WB, IHC
Species Reactivity: Human
-
-
-
-
-















