EIF2S3 Antibody
-
中文名稱:EIF2S3兔多克隆抗體
-
貨號:CSB-PA007528ESR2HU
-
規格:¥440
-
圖片:
-
Western blot
All lanes: EIF2S3antibody at 0.83μg/ml + Hela whole cell lysate
Secondary
Goat polyclonal to rabbit IgG at 1/10000 dilution
Predicted band size: 51 kDa
Observed band size: 51 kDa -
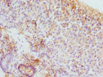
Immunohistochemistry of paraffin-embedded human tonsil tissue using CSB-PA007528ESR2HU at dilution of 1:100
-
Immunohistochemistry of paraffin-embedded human pancreatic tissue using CSB-PA007528ESR2HU at dilution of 1:100
-
-
其他:
產品詳情
-
產品名稱:Rabbit anti-Homo sapiens (Human) EIF2S3 Polyclonal antibody
-
Uniprot No.:
-
基因名:EIF2S3
-
別名:eIF-2-gamma X antibody; eIF-2gA antibody; eIF-2gX antibody; EIF2 antibody; EIF2G antibody; EIF2gamma antibody; EIF2S3 antibody; Eukaryotic translation initiation factor 2 gamma antibody; Eukaryotic translation initiation factor 2 gamma subunit antibody; Eukaryotic translation initiation factor 2 subunit 3 antibody; Eukaryotic translation initiation factor 2 subunit 3 gamma 52kDa antibody; Eukaryotic translation initiation factor 2 subunit gamma X antibody; IF2G_HUMAN antibody
-
宿主:Rabbit
-
反應種屬:Human
-
免疫原:Recombinant Human Eukaryotic translation initiation factor 2 subunit 3 protein (173-472AA)
-
免疫原種屬:Homo sapiens (Human)
-
標記方式:Non-conjugated
-
克隆類型:Polyclonal
-
抗體亞型:IgG
-
純化方式:Antigen Affinity Purified
-
濃度:It differs from different batches. Please contact us to confirm it.
-
保存緩沖液:PBS with 0.02% sodium azide, 50% glycerol, pH7.3.
-
產品提供形式:Liquid
-
應用范圍:ELISA, WB, IHC
-
推薦稀釋比:
Application Recommended Dilution WB 1:1000-1:5000 IHC 1:20-1:200 -
Protocols:
-
儲存條件:Upon receipt, store at -20°C or -80°C. Avoid repeated freeze.
-
貨期:Basically, we can dispatch the products out in 1-3 working days after receiving your orders. Delivery time maybe differs from different purchasing way or location, please kindly consult your local distributors for specific delivery time.
-
用途:For Research Use Only. Not for use in diagnostic or therapeutic procedures.
相關產品
靶點詳情
-
功能:As a subunit of eukaryotic initiation factor 2 (eIF-2), involved in the early steps of protein synthesis. In the presence of GTP, eIF-2 forms a ternary complex with initiator tRNA Met-tRNAi and then recruits the 40S ribosomal complex and initiation factors eIF-1, eIF-1A and eIF-3 to form the 43S pre-initiation complex (43S PIC), a step that determines the rate of protein translation. The 43S PIC binds to mRNA and scans downstream to the initiation codon, where it forms a 48S initiation complex by codon-anticodon base pairing. This leads to the displacement of eIF-1 to allow GTPase-activating protein (GAP) eIF-5-mediated hydrolysis of eIF2-bound GTP. Hydrolysis of GTP and release of Pi, which makes GTP hydrolysis irreversible, causes the release of the eIF-2-GDP binary complex from the 40S subunit, an event that is essential for the subsequent joining of the 60S ribosomal subunit to form an elongation-competent 80S ribosome. In order for eIF-2 to recycle and catalyze another round of initiation, the GDP bound to eIF-2 must be exchanged with GTP by way of a reaction catalyzed by GDP-GTP exchange factor (GEF) eIF-2B. Along with its paralog on chromosome Y, may contribute to spermatogenesis up to the round spermatid stage.
-
基因功能參考文獻:
- We aimed to provide more details on the endocrine phenotype in two previously reported male probands with MEHMO carrying a frame-shift mutation (I465fs) in the EIF2S3 gene PMID: 29303605
- Data suggest that more severe EIF2S3 mutations cause the full MEHMO phenotype, while less deleterious mutations cause a milder form of the syndrome with only a subset of the symptoms. PMID: 28055140
- Our data confirm that EIF2S3 mutation is implicated in a rare, but recognizable, form of syndromic intellectual disability. PMID: 27333055
- The human X-chromosomal neurological disorder characterized by intellectual disability and microcephaly is caused by a missense mutation in eIF2gamma (encoded by EIF2S3), the core subunit of the heterotrimeric eIF2 complex. PMID: 23063529
-
相關疾病:MEHMO syndrome (MEHMO)
-
蛋白家族:TRAFAC class translation factor GTPase superfamily, Classic translation factor GTPase family, EIF2G subfamily
-
組織特異性:Expressed in testis, brain, liver and muscle.
-
數據庫鏈接:
Most popular with customers
-
-
YWHAB Recombinant Monoclonal Antibody
Applications: ELISA, WB, IHC, IF, FC
Species Reactivity: Human, Mouse, Rat
-
Phospho-YAP1 (S127) Recombinant Monoclonal Antibody
Applications: ELISA, WB, IHC
Species Reactivity: Human
-
-
-
-
-















