EIF2S1 Antibody
-
中文名稱:EIF2S1兔多克隆抗體
-
貨號:CSB-PA007523LA01HU
-
規格:¥440
-
圖片:
-
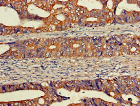
Immunohistochemistry of paraffin-embedded human colon cancer using CSB-PA007523LA01HU at dilution of 1:100
-
Immunohistochemistry of paraffin-embedded human brain tissue using CSB-PA007523LA01HU at dilution of 1:100
-
Immunofluorescent analysis of MCF-7 cells using CSB-PA007523LA01HU at dilution of 1:100 and Alexa Fluor 488-congugated AffiniPure Goat Anti-Rabbit IgG(H+L)
-
-
其他:
產品詳情
-
產品名稱:Rabbit anti-Homo sapiens (Human) EIF2S1 Polyclonal antibody
-
Uniprot No.:
-
基因名:
-
別名:EIF 2 alpha antibody; EIF 2 antibody; EIF 2A antibody; EIF 2alpha antibody; eIF-2-alpha antibody; eIF-2A antibody; EIF-2alpha antibody; EIF2 alpha antibody; EIF2 antibody; EIF2A antibody; EIF2S1 antibody; Eukaryotic translation initiation factor 2 subunit 1 alpha 35kDa antibody; Eukaryotic translation initiation factor 2 subunit 1 alpha antibody; Eukaryotic translation initiation factor 2 subunit 1 antibody; Eukaryotic translation initiation factor 2 subunit alpha antibody; IF2A_HUMAN antibody
-
宿主:Rabbit
-
反應種屬:Human
-
免疫原:Recombinant Human Eukaryotic translation initiation factor 2 subunit 1 protein (276-315AA)
-
免疫原種屬:Homo sapiens (Human)
-
標記方式:Non-conjugated
本頁面中的產品,EIF2S1 Antibody (CSB-PA007523LA01HU),的標記方式是Non-conjugated。對于EIF2S1 Antibody,我們還提供其他標記。見下表:
-
克隆類型:Polyclonal
-
抗體亞型:IgG
-
純化方式:>95%, Protein G purified
-
濃度:It differs from different batches. Please contact us to confirm it.
-
保存緩沖液:Preservative: 0.03% Proclin 300
Constituents: 50% Glycerol, 0.01M PBS, pH 7.4 -
產品提供形式:Liquid
-
應用范圍:ELISA, IHC, IF
-
推薦稀釋比:
Application Recommended Dilution IHC 1:20-1:200 IF 1:50-1:200 -
Protocols:
-
儲存條件:Upon receipt, store at -20°C or -80°C. Avoid repeated freeze.
-
貨期:Basically, we can dispatch the products out in 1-3 working days after receiving your orders. Delivery time maybe differs from different purchasing way or location, please kindly consult your local distributors for specific delivery time.
-
用途:For Research Use Only. Not for use in diagnostic or therapeutic procedures.
相關產品
靶點詳情
-
功能:Functions in the early steps of protein synthesis by forming a ternary complex with GTP and initiator tRNA. This complex binds to a 40S ribosomal subunit, followed by mRNA binding to form a 43S pre-initiation complex. Junction of the 60S ribosomal subunit to form the 80S initiation complex is preceded by hydrolysis of the GTP bound to eIF-2 and release of an eIF-2-GDP binary complex. In order for eIF-2 to recycle and catalyze another round of initiation, the GDP bound to eIF-2 must exchange with GTP by way of a reaction catalyzed by eIF-2B. EIF2S1/eIF-2-alpha is a key component of the integrated stress response (ISR), required for adaptation to various stress: phosphorylation by metabolic-stress sensing protein kinases (EIF2AK1/HRI, EIF2AK2/PKR, EIF2AK3/PERK and EIF2AK4/GCN2) in response to stress converts EIF2S1/eIF-2-alpha in a global protein synthesis inhibitor, leading to an attenuation of cap-dependent translation, while concomitantly initiating the preferential translation of ISR-specific mRNAs, such as the transcriptional activators ATF4 and QRICH1, and hence allowing ATF4- and QRICH1-mediated reprogramming.
-
基因功能參考文獻:
- Our study revealed that p-eIF2alpha was upregulated in breast cancer and represented a novel predictor of prognosis in patients with triple-negative subtype. PMID: 28294178
- hypusine-eIF5A-facilitated translation elongation promotes arsenite-induced polysome disassembly and stress granule assembly in cells subjected to adverse environmental conditions PMID: 20376341
- analysis of the ER stress response in immunogenic cell death and the potential value of eIF2alpha phosphorylation as a biomarker for this clinically relevant variant of apoptosis [review] PMID: 25749194
- The data highlight independent interactions of PP1 and eIF2alpha with GADD34, demonstrating that GADD34 functions as a scaffold both in vitro and in cells PMID: 26095357
- These experiments connect embryonic stem cell growth factors to eIF2alpha phosphorylation. PMID: 26406898
- We identified EIF2A phosphorylation as a novel early molecular event occurring in response to NAMPT inhibition and mediating protein synthesis arrest. PMID: 26542945
- The results suggest that dephosphorylation of eIF2a by GADD34 plays an important role in doxorubicin resistance of MCF-7/ADR cells. PMID: 26743901
- The Newcastle disease virus-induced translation shutoff at late infection times was attributed to sustaining phosphorylation of eIF2a, which is mediated by continual activation of PKR and degradation of PP1. PMID: 26869028
- GHRH and GHRH-R loops are involved in placental choriocarcinoma cell line viability and apoptosis through Akt and eIF2a pathways. PMID: 26917260
- These findings suggest that phosphorylated-eIF2alpha regulates synaptic actions of nicotine in both mice and humans, and that reduced phosphorylated-eIF2alpha may enhance susceptibility to nicotine (and other drugs of abuse) during adolescence. PMID: 26928076
- This review consolidates current information regarding eIF2alpha phosphorylation in neurons and its impact in neurodegenerative diseases. PMID: 26994324
- Increased phosphorylation of eIF2alpha in chronic myeloid leukemia cells stimulates secretion of matrix modifying enzymes. PMID: 27802179
- Stress-resistant translation of c-Src mRNA is mediated by eIF2A. PMID: 27899592
- Results mechanistically link multiple forms of dystonia and put forth a new overall cellular mechanism for dystonia pathogenesis, impairment of eIF2alpha signaling, a pathway known for its roles in cellular stress responses and synaptic plasticity. PMID: 27939583
- Single amino acid substitution in LC-CDR1 induces Russell body phenotype that attenuates cellular protein synthesis through eIF2alpha phosphorylation and thereby downregulates IgG secretion despite operational secretory pathway traffic. PMID: 28379093
- These results demonstrate a previously unrecognized role of IL24 in inhibition of translation, mediated through both phosphorylation of eIF2alpha and dephosphorylation of 4E-BP1, and provide the first direct evidence for translation control of gene-specific expression by IL24 PMID: 28461326
- eukaryotic elongation factor 2 has a role in proliferation and invasion of lung squamous cell carcinoma PMID: 27542262
- a novel, positive role for PKR activation and eIF2alpha phosphorylation in human globin mRNA splicing, is reported. PMID: 28374749
- Data show that eIF2Balpha and eIF2Bbeta bind to adjacent surfaces on eIF2alpha-N-terminal domains (NTDs). PMID: 29036434
- Data show that eIF5-mimic protein (5MP) represses non-AUG translation by competing with translation initiation factor 5 (eIF5) for the Met-tRNAi-binding factor eIF2. PMID: 28981728
- These data indicate that PERK regulates radioresistance in oropharyngeal carcinoma through NF-kB activation-mediated phosphorylation of eIF2alpha PMID: 28418119
- The stem-loop of noncoding RNA 886 is structural feature not only critical for inhibiting PKR autophosphorylation, but also the phosphorylation of its cellular substrate, EIF-2alpha. PMID: 28069888
- overexpression of eIF5 and 5MP induces translation of ATF4. PMID: 27325740
- Through pathway analysis it was suggested the involvement of eIF2 and mTOR in host cells upon Chlamydia trachomatis infection. PMID: 27134121
- PERK-eIF2alpha-ATF4 signaling pathway mediated by endoplasmic reticulum stress involved in osteoblast differentiation of periodontal ligament cells under cyclic mechanical force. PMID: 27079961
- EnR stress assessed by expression of PERK and p-eIF2alpha was significantly associated with tumor infiltrating lymphocytes (TILs) in HER2-positive breast cancer. PMID: 27272779
- we unravels a new miRs-based mechanism that helps maintain intracellular proteostasis and promote cell survival during ER stress through upregulation of miR-30b-5p and miR-30c-5p which target eIF2alpha and thereby inhibit the p-eIF2alpha/ATF4/CHOP pro-apoptotic pathway, identifying miR-30b-5p and miR-30c-5p as potentially new targets for anti-cancer therapies. PMID: 26898246
- Our work suggests that OLA1 is a novel translational GTPase and plays a suppressive role in translation and cell survival, as well as cancer growth and progression. PMID: 26283179
- a delay in eIF2-bound GTP hydrolysis should occur. In this work, we reconstructed this situation and found that such a delay leads to the redistribution of initiation complexes in favor to downstream AUG codons. PMID: 26717981
- The reactive oxygen species-generating NADPH oxidase-4 (Nox4) is induced downstream of ATF4, binds to a PP1-targeting subunit GADD34 at the endoplasmic reticulum, and inhibits PP1 activity to increase eIF2alpha phosphorylation and ATF4 levels. PMID: 26742780
- Classical swine fever virus (CSFV) infection increased the phosphorylation of eukaryotic translation initiation factor (eIF)2alpha and its kinase PKR. The activation of PKR during CSFV infection is beneficial to the virus. PMID: 25899421
- eIF2alpha phosphorylation plays a role in hypoxia-induced translational attenuation PMID: 12370288
- phosphorylation of eIF2alpha during early brain reperfusion is carried out by PERK, these findings suggest that there is prolonged activation of the unfolded protein response in the reperfused brain. PMID: 12687390
- multiple domains in I-1 target cellular PP1 complexes, and I-1 has a role as a cellular regulator of eIF2alpha phosphorylation PMID: 15345721
- Tyrosine phosphorylation acts as a molecular switch to full-scale activation of the eIF2alpha RNA-dependent protein kinase. PMID: 16373505
- Our results demonstrate that Ebp1 is a new dsRNA-binding protein that acts as a cellular inhibitor of eIF2alpha phosphorylation suggesting that it could be involved in protein translation control PMID: 16631606
- Double-stranded RNA-dependent protein kinase phosphorylation of the alpha-subunit of eukaryotic translation initiation factor 2 mediates apoptosis PMID: 16717090
- We propose that SG modeling can occur via both eIF2alpha phosphorylation-dependent and -independent pathways that target translation initiation. PMID: 16870703
- functional eIF2alpha played an essential role in PS-341-induced Noxa expression PMID: 16928686
- stress-induced phosphorylation of eIF2 alpha is directly coupled to mitochondrial apoptosis regulation via translational repression of MCL-1 PMID: 17553788
- the induction of the PKR/eIF2alpha cellular response may be a previously unrecognized general feature of at least the Dependovirus genus of the Parvovirinae PMID: 17715234
- PKR and PKR-like endoplasmic reticulum kinase induce the proteasome-dependent degradation of cyclin D1 via a mechanism requiring eukaryotic initiation factor 2alpha phosphorylation PMID: 18063576
- ATF4 contributes to basal ATF5 transcription, and eIF2 kinases direct the translational expression of multiple transcription regulators by a mechanism involving delayed translation reinitiation PMID: 18195013
- MEK functions to enhance GCN2-dependent eIF2alpha phosphorylation rather than suppressing dephosphorylation PMID: 18287093
- Proteasomal but not lysosomal inhibitors enhanced GADD34 stability and eukaryotic initiation factor 2alpha (eIF-2alpha) dephosphorylation, a finding consistent with GADD34's role in assembling an eIF-2alpha phosphatase PMID: 18794359
- GADD34 translation is regulated by a unique 5'UTR uORF mechanism to ensure proper GADD34 expression during eIF2alpha phosphorylation PMID: 19131336
- Strategies that maintain eIF2alpha in a hyperphosphorylated state may be a novel therapeutic approach to maximize bortezomib-induced apoptosis and reduce residual disease and recurrences in multiple myeloma. PMID: 19190324
- Unlike other DNA damage response-inducing agents, RITA treatment of cells induced a p53-dependent increase in phosphorylation of the eif2 alpha, requiring PKR-like endoplasmic reticulum kinase activity, and led to the downregulation of HIF-1alpha PMID: 19223463
- UV-induced eIF2alpha phosphorylation by activation of both PERK and GCN2 via oxidative stress and l-arginine starvation signaling pathways. PMID: 19586904
- PKR is activated in adenovirus-infected cells with multiple layers of regulation imposed on eIF2alpha phosphorylation by the E1B-55K/E4orf6 complex, which also regulates viral late protein synthesis PMID: 19605483
顯示更多
收起更多
-
亞細胞定位:Cytoplasm, Stress granule.
-
蛋白家族:EIF-2-alpha family
-
數據庫鏈接:
Most popular with customers
-
YWHAB Recombinant Monoclonal Antibody
Applications: ELISA, WB, IHC, IF, FC
Species Reactivity: Human, Mouse, Rat
-
-
-
-
-
-
-















