EGFL8 Antibody
-
中文名稱:EGFL8兔多克隆抗體
-
貨號:CSB-PA784072
-
規格:¥1100
-
圖片:
-
The image on the left is immunohistochemistry of paraffin-embedded Human brain tissue using CSB-PA784072(EGFL8 Antibody) at dilution 1/30, on the right is treated with fusion protein. (Original magnification: ×200)
-
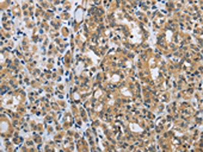
The image on the left is immunohistochemistry of paraffin-embedded Human thyroid cancer tissue using CSB-PA784072(EGFL8 Antibody) at dilution 1/30, on the right is treated with fusion protein. (Original magnification: ×200)
-
-
其他:
產品詳情
-
Uniprot No.:
-
基因名:EGFL8
-
別名:EGFL8 antibody; C6orf8 antibody; NG3 antibody; UNQ8752/PRO29920Epidermal growth factor-like protein 8 antibody; EGF-like protein 8 antibody; Vascular endothelial statin-2 antibody; VE-statin-2 antibody
-
宿主:Rabbit
-
反應種屬:Human,Mouse,Rat
-
免疫原:Fusion protein of Human EGFL8
-
免疫原種屬:Homo sapiens (Human)
-
標記方式:Non-conjugated
-
抗體亞型:IgG
-
純化方式:Antigen affinity purification
-
濃度:It differs from different batches. Please contact us to confirm it.
-
保存緩沖液:-20°C, pH7.4 PBS, 0.05% NaN3, 40% Glycerol
-
產品提供形式:Liquid
-
應用范圍:ELISA,IHC
-
推薦稀釋比:
Application Recommended Dilution ELISA 1:1000-1:2000 IHC 1:25-1:100 -
Protocols:
-
儲存條件:Upon receipt, store at -20°C or -80°C. Avoid repeated freeze.
-
貨期:Basically, we can dispatch the products out in 1-3 working days after receiving your orders. Delivery time maybe differs from different purchasing way or location, please kindly consult your local distributors for specific delivery time.
-
用途:For Research Use Only. Not for use in diagnostic or therapeutic procedures.
相關產品
靶點詳情
-
基因功能參考文獻:
- The down-regulation of EGFL8 might be a novel biomarker for advanced gastric cancer. PMID: 21965749
- Reduced expression of EGFL8 is closely related to metastastic potential and poor prognosis of CRC, suggesting the down-regulation of EGFL8 as a novel prognostic biomarker for CRC patients. PMID: 21737648
-
亞細胞定位:Secreted.
-
數據庫鏈接:
Most popular with customers
-
-
YWHAB Recombinant Monoclonal Antibody
Applications: ELISA, WB, IHC, IF, FC
Species Reactivity: Human, Mouse, Rat
-
-
-
-
-
-















