EEF1A2 Antibody
-
中文名稱:EEF1A2兔多克隆抗體
-
貨號:CSB-PA007412ESR2HU
-
規格:¥440
-
圖片:
-
Western blot
All lanes: EEF1A2 antibody at 1.46µg/ml
Lane 1: MCF-7 whole cell lysate
Lane 2: Hela whole cell lysate
Lane 3: Raji whole cell lysate
Lane 4: A431 whole cell lysate
Secondary
Goat polyclonal to rabbit IgG at 1/10000 dilution
Predicted band size: 50 kDa
Observed band size: 50 kDa -
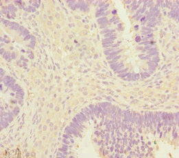
Immunohistochemistry of paraffin-embedded human ovarian cancer using CSB-PA007412ESR2HU at dilution of 1:100
-
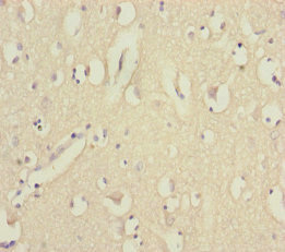
Immunohistochemistry of paraffin-embedded human brain tissue using CSB-PA007412ESR2HU at dilution of 1:100
-
-
其他:
產品詳情
-
產品名稱:Rabbit anti-Homo sapiens (Human) EEF1A2 Polyclonal antibody
-
Uniprot No.:
-
基因名:EEF1A2
-
別名:eEF1A-2 antibody; Eef1a2 antibody; EEF1AL antibody; EF 1 alpha 2 antibody; EF-1-alpha-2 antibody; EF1A antibody; EF1A2_HUMAN antibody; Elongation factor 1 A 2 antibody; Elongation factor 1 alpha antibody; Elongation factor 1 alpha 2 antibody; Elongation factor 1-alpha 2 antibody; Eukaryotic elongation factor 1 A-2 antibody; Eukaryotic translation elongation factor 1 alpha 2 antibody; FLJ41696 antibody; HS1 antibody; OTTHUMP00000031776 antibody; Statin like antibody; Statin S1 antibody; Statin-S1 antibody; STN antibody; STNL antibody
-
宿主:Rabbit
-
反應種屬:Human
-
免疫原:Recombinant Human Elongation factor 1-alpha 2 protein (184-463AA)
-
免疫原種屬:Homo sapiens (Human)
-
標記方式:Non-conjugated
-
克隆類型:Polyclonal
-
抗體亞型:IgG
-
純化方式:Antigen Affinity Purified
-
濃度:It differs from different batches. Please contact us to confirm it.
-
保存緩沖液:PBS with 0.02% sodium azide, 50% glycerol, pH7.3.
-
產品提供形式:Liquid
-
應用范圍:ELISA, WB, IHC
-
推薦稀釋比:
Application Recommended Dilution WB 1:1000-1:5000 IHC 1:20-1:200 -
Protocols:
-
儲存條件:Upon receipt, store at -20°C or -80°C. Avoid repeated freeze.
-
貨期:Basically, we can dispatch the products out in 1-3 working days after receiving your orders. Delivery time maybe differs from different purchasing way or location, please kindly consult your local distributors for specific delivery time.
-
用途:For Research Use Only. Not for use in diagnostic or therapeutic procedures.
相關產品
靶點詳情
-
功能:This protein promotes the GTP-dependent binding of aminoacyl-tRNA to the A-site of ribosomes during protein biosynthesis.
-
基因功能參考文獻:
- The overexpression of EEF1A2 is a frequent event in localized prostate cancer and is associated with histopathology features and a shorter biochemical recurrence-free survival. Due to its independence from serum PSA levels, EEF1A2 could serve as valuable biomarker in risk-stratification of localized prostate cancer PMID: 28923030
- We report a pair of siblings carrying a homozygous missense mutation p.P333L in EEF1A2 who exhibited global developmental delay, failure to thrive, dilated cardiomyopathy and epilepsy, ultimately leading to death in early childhood. EEF1A2 appears to be critical for normal heart function in humans, and its deficiency results in clinical abnormalities in neurologic function as well as in skeletal and cardiac muscle defects PMID: 28911200
- eEF1A2 is highly expressed in hepatocellular carcinoma. Its silencing significantly decreases HCC tumorigenesis, likely by inhibiting PI3K/Akt/NF-kappaB signaling. PMID: 27122673
- Differential gene expression analysis demonstrated significant upregulation of PDZK1IP1, EEF1A2 and RPL41 (ENSG00000279483) genes in the intrahepatic cholangiocarcinoma samples when compared with the matched paratumor samples. PMID: 27082702
- In both cases, a de novo recurrent heterozygous mutation in EEF1A2 [c.364G>A (p.E122K)] was identified by whole-exome sequencing. CONCLUSION: This report provides clinical data on epileptic encephalopathy in patients with EEF1A2 mutation. Continuous high-voltage delta activity seen over both parietal areas may be a unique manifestation of EEF1A2 mutation. PMID: 26682508
- By directly targeting eEF1A2. PMID: 25744894
- Both eEF1A1 and eEF1A2 colocalise with all eEF1B subunits, in such close proximity that they are highly likely to be in a complex. PMID: 25436608
- De novo EEF1A2 mutations in patients with characteristic facial features, intellectual disability, autistic behaviors and epilepsy. PMID: 24697219
- Finally, a strong association between the expression of EEF1A2, phosphorylated AKT and MDM4 was observed in human HCC samples. Strong activation of the EEF1A2/PI3K/AKT/mTOR/MDM4 signaling pathway was observed in HCC patients PMID: 25394965
- Overexpression of eEF1A2 was correlated with worse outcomes in gastric cancer patients, suggesting its critical roles in the carcinogenesis of gastric cancer. PMID: 25601347
- miR-663 and miR-744 mediate inhibition of the proto-oncogene eEF1A2 expression that results in retardation of the MCF7 cancer cells proliferation. We also observed upregulation of miR-663 and miR-744 with corresponding downregulation of eEF1A2 in resveratrol-treated MCF7 cells, suggesting that resveratrol may influence eEF1A2 expression through a miRNA-dependent pathway. PMID: 23695020
- Our data suggests that eEF1A2 plays an important role in prostate cancer development, especially in inhibiting apoptosis. PMID: 24853801
- The activation level of the EEF1A2/PI3K/AKT/mTOR/MDM4 axis significantly influences the survival probability of hepatocellular carcinoma patients PMID: 24285179
- There was no significant correlation between eEF1A2 protein and mRNA expression levels. Negative immunostaining of eEF1A2 predicted for poor prognosis of NSCLC. PMID: 24510995
- results provide evidence of eEF1A2 as a potential therapeutic target in the treatment of aggressive pancreatic cancer PMID: 23739844
- Data conclude that the interaction of p16(INK4a) with eEF1A2, and subsequent downregulation of the expression and function of eEF1A2 is a novel mechanism explaining the anti-proliferative effects of p16(INK4a). PMID: 23444377
- a role for a RACK1/JNK/eEF1A2 complex in the quality control of newly synthesized polypeptides in response to stress PMID: 23608534
- The eEF1A2 likely plays an important role in mammary neoplasia and acinar development. PMID: 21851817
- Observational study of gene-disease association, gene-gene interaction, and genetic testing. (HuGE Navigator) PMID: 20864512
- Levels of eEF1A2 and alpha-actinin-4 mRNA appeared to be unrelated to breast tumour size, except for a significant down-regulation of alpha-actinin-4 mRNA in T3 cases. PMID: 20819441
- EEF1A2 may play contribute to the induction or progression of some plasmacytomas and a small percentage of multiple myeloma. PMID: 20505761
- overall, this study does not support an associated between statin use and prostate cancer but a reduced risk cannot be ruled out. PMID: 18322813
- this population-based study of individuals with incident AD, use of statins and beta-blockers was associated with delay of functional decline. PMID: 18978249
- the interaction of ZPR1 and eEF1alpha PMID: 19966453
- This is a putative oncogene in ovarian cancer. PMID: 12053177
- Review. EEF1A2 is an important ovarian oncogene. The protein elongation network can activate tumorigenesis and inhibit apoptosis. PMID: 14588074
- These results indicate that the use of cellular promoters such as those for EF-1alpha and ubiquitin C might direct prolonged gene expression in hematopoietic and mesenchymal progenitor cells. PMID: 15893736
- eEF1A2 may have a role in cytoskeletal remodelling or apoptosis in breast neoplasms PMID: 16156888
- Overexpression of EEF1A2 and KCIP-1 is associated with lung adenocarcinoma PMID: 16369491
- there is a physical and functional relationship between eEF1A2 and PI4KIIIbeta PMID: 17088255
- Regulates oncogenesis through Akt-dependent cytoskeletal remodeling. PMID: 17130842
- The oncogenicity of eEF1A2 may be related either to its role in protein synthesis or to potential non-canonical functions. PMID: 17437010
- The expression level of EEF1A2 correlates with cell growth but not apoptosis in hepatocellular carcinoma cell lines with different differentiation grades. PMID: 17825975
- EEF1A2 is highly homologous and functionally similar to the EEF1A1 oncogene, and was found to be restricted only to the normal tissues of the heart, brain, and skeletal muscle PMID: 17908984
- Study finds that eEF1A2 stimulates formation of filopodia by increasing the cellular abundance of cytosolic and plasma membrane-bound phosphatidylinositol-4,5 bisphosphate. PMID: 18474610
- eEF1A2 might play an important role in pancreatic carcinogenesis, possibly by acting as a tumour oncogene. PMID: 19138673
- Studies indicate that the EEF1A2 abnormal expression in cancers correlates with a poor prognosis. PMID: 19723040
顯示更多
收起更多
-
相關疾病:Epileptic encephalopathy, early infantile, 33 (EIEE33); Mental retardation, autosomal dominant 38 (MRD38)
-
亞細胞定位:Nucleus.
-
蛋白家族:TRAFAC class translation factor GTPase superfamily, Classic translation factor GTPase family, EF-Tu/EF-1A subfamily
-
組織特異性:Brain, heart, and skeletal muscle.
-
數據庫鏈接:
Most popular with customers
-
-
YWHAB Recombinant Monoclonal Antibody
Applications: ELISA, WB, IHC, IF, FC
Species Reactivity: Human, Mouse, Rat
-
Phospho-YAP1 (S127) Recombinant Monoclonal Antibody
Applications: ELISA, WB, IHC
Species Reactivity: Human
-
-
-
-
-















