DYNLL1 Antibody
-
中文名稱:DYNLL1兔多克隆抗體
-
貨號:CSB-PA244606
-
規格:¥1100
-
圖片:
-
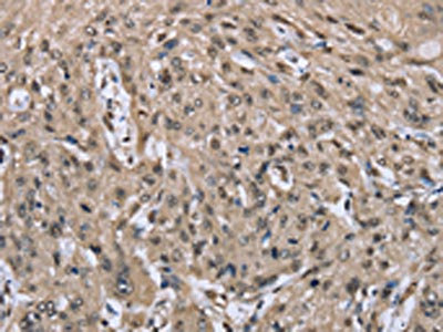
The image on the left is immunohistochemistry of paraffin-embedded Human thyroid cancer tissue using CSB-PA244606(DYNLL1 Antibody) at dilution 1/30, on the right is treated with fusion protein. (Original magnification: ×200)
-
The image on the left is immunohistochemistry of paraffin-embedded Human esophagus cancer tissue using CSB-PA244606(DYNLL1 Antibody) at dilution 1/30, on the right is treated with fusion protein. (Original magnification: ×200)
-
-
其他:
產品詳情
-
Uniprot No.:
-
基因名:DYNLL1
-
別名:8 kDa dynein light chain antibody; 8kDLC antibody; Cytoplasmic dynein light polypeptide antibody; DLC1 antibody; DLC8 antibody; DNCL1 antibody; DNCLC1 antibody; DYL1_HUMAN antibody; Dynein ; cytoplasmic; light chain 1 antibody; Dynein light chain 1 cytoplasmic antibody; Dynein light chain 1; cytoplasmic antibody; Dynein light chain LC8 type 1 antibody; Dynein light chain LC8-type 1 antibody; Dynein; cytoplasmic; light polypeptide 1 antibody; Dynein; light chain; LC8-type 1 antibody; DYNLL1 antibody; HDLC1 antibody; LC8 antibody; LC8a antibody; MGC126137 antibody; MGC126138 antibody; MGC72986 antibody; PIN antibody; Protein inhibitor of neuronal nitric oxide synthase antibody; Protein inhibitor of neuronal NOS antibody
-
宿主:Rabbit
-
反應種屬:Human,Mouse,Rat
-
免疫原:Fusion protein of Human DYNLL1
-
免疫原種屬:Homo sapiens (Human)
-
標記方式:Non-conjugated
-
抗體亞型:IgG
-
純化方式:Antigen affinity purification
-
濃度:It differs from different batches. Please contact us to confirm it.
-
保存緩沖液:-20°C, pH7.4 PBS, 0.05% NaN3, 40% Glycerol
-
產品提供形式:Liquid
-
應用范圍:ELISA,IHC
-
推薦稀釋比:
Application Recommended Dilution ELISA 1:2000-1:5000 IHC 1:50-1:200 -
Protocols:
-
儲存條件:Upon receipt, store at -20°C or -80°C. Avoid repeated freeze.
-
貨期:Basically, we can dispatch the products out in 1-3 working days after receiving your orders. Delivery time maybe differs from different purchasing way or location, please kindly consult your local distributors for specific delivery time.
-
用途:For Research Use Only. Not for use in diagnostic or therapeutic procedures.
相關產品
靶點詳情
-
功能:Acts as one of several non-catalytic accessory components of the cytoplasmic dynein 1 complex that are thought to be involved in linking dynein to cargos and to adapter proteins that regulate dynein function. Cytoplasmic dynein 1 acts as a motor for the intracellular retrograde motility of vesicles and organelles along microtubules. May play a role in changing or maintaining the spatial distribution of cytoskeletal structures.; Binds and inhibits the catalytic activity of neuronal nitric oxide synthase.; Promotes transactivation functions of ESR1 and plays a role in the nuclear localization of ESR1.; Regulates apoptotic activities of BCL2L11 by sequestering it to microtubules. Upon apoptotic stimuli the BCL2L11-DYNLL1 complex dissociates from cytoplasmic dynein and translocates to mitochondria and sequesters BCL2 thus neutralizing its antiapoptotic activity.
-
基因功能參考文獻:
- It has been found that APC2 localizes as distinct clusters along microtubule bundles in dendrites, and that this localization is driven by LC8-binding and two separate microtubule-interacting domains. PMID: 30018294
- High PIN expression is associated with Dilated Hearts. PMID: 27481317
- An expanded list of LC8 binding partners revealed the evolutionary plasticity of binding partners despite the highly conserved binding interface. In addition, it also highlighted a novel, conserved function of LC8 in the upstream regulation of the Hippo signaling pathway. PMID: 29240760
- DLC1 binding to nNOS-calmodulin complex does not affect the electron transport from the reductase to the oxygenase domain. PMID: 26923072
- NMR-derived secondary chemical shifts and relaxation properties show that the Chica LC8 binding domain is essentially disordered with a dynamically restricted segment in one linker between motifs. PMID: 26652654
- Studies indicate that dynein light chain LC8 has been termed an intrinsically disordered proteins (IDPs) dimerization 'hub' protein. PMID: 26226419
- DLC1 binding motif in L is involved in cytoskeleton localization and reorganization, primary transcription regulation by DLC1, and regulation of cellular DLC1 gene expression. PMID: 26157129
- The dynein light intermediate chain has a Ras-like fold with insertions that distinguish it from Ras and other previously described G proteins. PMID: 25272277
- Authors demonstrate that the interaction between ebola virus VP35 and dynein LC8 is direct and of high affinity and that binding stabilizes the VP35 N-terminal oligomerization domain and enhances viral RNA synthesis. PMID: 25741013
- Overall, this study demonstrates the novel interaction between HIV-1 integrase and cellular DYNLL1 proteins and suggests the requirement of this virus-cell interaction for proper uncoating and efficient reverse transcription of HIV-1. PMID: 25568209
- Structural analysis of LC8 with both Nek9 peptides, together with different biophysical experiments, explains the observed diminished binding affinity of Nek9 to LC8 upon phosphorylation on Ser(944) within the Nek9 sequence PMID: 23482567
- Dynein forms distinct complexes requiring specific recruiters and activators to promote orderly progression through mitosis. PMID: 23589491
- Overexpressed human LC8 inhibits mouse osteoclast differentiation by regulating NF-kappaB & MAPK pathways and suppressing RANKL signaling. PMID: 23293355
- DYNLL1 interacted with a spindle-microtubule-associated adaptor formed by CHICA and HMMR via TQT motifs in CHICA. PMID: 22965910
- appropriate levels of ternary complex components are critical for dynein-dependent spindle positioning in HeLa cells and C. elegans embryos PMID: 23027904
- Cytosolic mfGbeta is recruited to dynein by Nudel and transported to the centrosome for rapid sequestration and degradation. PMID: 22430153
- Study found the secretion of calu-1/2-EGFP required microtubule integrity, and that calu-1/2-EGFP-containing vesicles were transported by the motor proteins Kif5b and cytoplasmic dynein. PMID: 22514732
- The ASCIZ-DYNLL1 feedback loop represents a novel mechanism for auto-regulation of gene expression, where the gene product directly inhibits the transcriptional activator while bound at its own promoter. PMID: 22167198
- The study uses thermodynamics and dynamics measurements of LC8 complexes to group LC8 binding partners in two categories: those whose binding is enthalpically driven and those that are entropically favored. PMID: 21621319
- these results imply a potential cellular interference between DYNLL1 and ATMIN functions. PMID: 21971545
- results significantly widen the scope of the human interactome around DYNLL and will certainly shed more light on the biological functions and organizing role of DYNLL in the human and other eukaryotic interactomes PMID: 21533121
- DYNLL/LC8 protein controls signal transduction through the Nek9/Nek6 signaling module by regulating Nek6 binding to Nek9. PMID: 21454704
- Data demonstrate the direct interaction between DYNLL1 and peptides derived from ASFV p54 and gephyrin interacting sequences. PMID: 21094642
- effect of glycosylation on protein folding thermodynamics and kinetics PMID: 20936810
- Data suggest that MTOC-directed movement of lytic granules in NK cells is independent of actin and microtubule reorganization, dependent on dynein motor function, occurs before MTOC polarization, and does not require a commitment to cytotoxicity. PMID: 20444980
- the thermodynamic and kinetic fine-tuning of binding of various ligands to DYNLL could have physiological relevance in its interaction network. PMID: 20889982
- Data provide the first trafficking regulatory role for Crmp2 in non-neuronal cells and support a model in which Crmp2 is an important endocytic regulatory protein that links MICAL-L1.EHD1-based vesicular transport to dynein motors. PMID: 20801876
- Data identify GRINL1A as a membrane-associated DYNLL1 binding partner and suggest that additional DYNLL1-binding partners are present near this glutamate channel homolog. PMID: 20412299
- the regulation of DLC1 by p21-activated kinase 1 is a novel mechanism by which a signaling kinase might influence macropinocytosis PMID: 15504720
- LC8 binds to p53-binding protein 1 and mediates DNA damage-induced p53 nuclear accumulation PMID: 15611139
- PAX6 interacts with HOMER3, DNCL1, and TRIM11. Three C-terminal PAX6 mutations, previously identified in patients with eye malformations, all reduced or abolished the interactions. PMID: 16098226
- the DLC1-KIBRA interaction is essential for ER transactivation in breast cancer cells PMID: 16684779
- PIN not only inhibits nitric oxide but also .O(2)(-) production from nitric oxide synthase 1 PMID: 16781079
- dynein light chain 1 represents a novel anchoring protein for RasGRP3 that may regulate subcellular localization of the exchange factor PMID: 17012239
- we established for the first time expression of PIN/LC8 in human mast cells PMID: 17169380
- findings reveal a previously unrecognized regulatory mechanism of DLC1 in which the Ser(88) phosphorylation acts as a molecular switch for the transition of DLC1 from dimer to monomer PMID: 18084006
- LC8 binds IkappaBalpha in a redox-dependent manner and thereby prevents its phosphorylation by IKK. TRP14 contributes to this inhibitory activity by maintaining LC8 in a reduced state. PMID: 18579519
- pH dependent unfolding characteristics of DLC8 dimer: Residue level details from NMR. PMID: 18692162
- The data indicated the presence of intermediates along the equilibrium unfolding transition; the hydrogen exchange data suggested that the DLC8 molecule has differential stability in its various segments. PMID: 18767155
- Hierarchy in guanidine unfolding of DYNLL1 dimer is reported. PMID: 19032974
- LC8 facilitates nuclear import of Pak1 and this function is indispensable during vertebrate development PMID: 19557173
顯示更多
收起更多
-
亞細胞定位:Cytoplasm, cytoskeleton, microtubule organizing center, centrosome. Cytoplasm, cytoskeleton. Nucleus. Mitochondrion.
-
蛋白家族:Dynein light chain family
-
組織特異性:Ubiquitous. Expressed in testis.
-
數據庫鏈接:
Most popular with customers
-
YWHAB Recombinant Monoclonal Antibody
Applications: ELISA, WB, IHC, IF, FC
Species Reactivity: Human, Mouse, Rat
-
-
-
-
-
-
-
VDAC1 Recombinant Monoclonal Antibody
Applications: ELISA, WB, IHC
Species Reactivity: Human, Mouse, Rat















