DUSP15 Antibody
-
中文名稱:DUSP15兔多克隆抗體
-
貨號:CSB-PA861994LA01HU
-
規格:¥440
-
圖片:
-
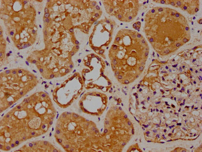
IHC image of CSB-PA861994LA01HU diluted at 1:100 and staining in paraffin-embedded human kidney tissue performed on a Leica BondTM system. After dewaxing and hydration, antigen retrieval was mediated by high pressure in a citrate buffer (pH 6.0). Section was blocked with 10% normal goat serum 30min at RT. Then primary antibody (1% BSA) was incubated at 4°C overnight. The primary is detected by a biotinylated secondary antibody and visualized using an HRP conjugated SP system.
-
Immunofluorescence staining of A549 cells with CSB-PA861994LA01HU at 1:100, counter-stained with DAPI. The cells were fixed in 4% formaldehyde, permeabilized using 0.2% Triton X-100 and blocked in 10% normal Goat Serum. The cells were then incubated with the antibody overnight at 4°C. The secondary antibody was Alexa Fluor 488-congugated AffiniPure Goat Anti-Rabbit IgG(H+L).
-
-
其他:
產品詳情
-
產品名稱:Rabbit anti-Homo sapiens (Human) DUSP15 Polyclonal antibody
-
Uniprot No.:
-
基因名:DUSP15
-
別名:bA243J16.5 antibody; Chromosome 20 open reading frame 57 antibody; Dual specificity phosphatase 15 antibody; Dual specificity phosphatase like 15 antibody; Dual specificity protein phosphatase 15 antibody; DUS15_HUMAN antibody; DUSP15 antibody; EC 3.1.3.16 antibody; EC 3.1.3.48 antibody; FLJ20645 antibody; Vaccinia virus VH1 related dual specific protein phosphatase Y antibody; Vaccinia virus VH1-related dual-specific protein phosphatase Y antibody; VH1 related member Y antibody; VH1-related member Y antibody; VHY antibody
-
宿主:Rabbit
-
反應種屬:Human
-
免疫原:Recombinant Human Dual specificity protein phosphatase 15 protein (1-295AA)
-
免疫原種屬:Homo sapiens (Human)
-
標記方式:Non-conjugated
本頁面中的產品,DUSP15 Antibody (CSB-PA861994LA01HU),的標記方式是Non-conjugated。對于DUSP15 Antibody,我們還提供其他標記。見下表:
-
克隆類型:Polyclonal
-
抗體亞型:IgG
-
純化方式:Antigen Affinity Purified
-
濃度:It differs from different batches. Please contact us to confirm it.
-
保存緩沖液:Preservative: 0.03% Proclin 300
Constituents: 50% Glycerol, 0.01M PBS, pH 7.4 -
產品提供形式:Liquid
-
應用范圍:ELISA, IHC, IF
-
推薦稀釋比:
Application Recommended Dilution IHC 1:20-1:200 IF 1:50-1:200 -
Protocols:
-
儲存條件:Upon receipt, store at -20°C or -80°C. Avoid repeated freeze.
-
貨期:Basically, we can dispatch the products out in 1-3 working days after receiving your orders. Delivery time maybe differs from different purchasing way or location, please kindly consult your local distributors for specific delivery time.
-
用途:For Research Use Only. Not for use in diagnostic or therapeutic procedures.
相關產品
靶點詳情
-
功能:May dephosphorylate MAPK13, ATF2, ERBB3, PDGFRB and SNX6.; May play a role in the regulation of oligodendrocyte differentiation. May play a role in the regulation of myelin formation. Involved in the regulation of Erk1/2 phosphorylation in Schwann cells; the signaling may be linked to the regulation of myelination.
-
基因功能參考文獻:
- The results showed that dual specificity phosphatase 15 (DUSP15) rs3746599 was significantly associated with autism under allelic, additive and dominant models,The findings initially suggest that DUSP15 might be a susceptibility gene for autism in Chinese Han population. PMID: 27223645
- Dusp15/VHY is a key regulator of oligodendrocyte differentiation, and PDGFR-beta and SNX6 are novel and specific Dusp15 substrates. PMID: 22792334
- VHY is a new member of a subgroup of myristoylated VH1-like small dual specificity phosphatases PMID: 15138252
- crystal structure of catalytic domain PMID: 16170801
-
亞細胞定位:Cytoplasm.; [Isoform 3]: Cell membrane; Lipid-anchor; Cytoplasmic side.
-
蛋白家族:Protein-tyrosine phosphatase family, Non-receptor class dual specificity subfamily
-
組織特異性:Highly expressed in testis. Expressed in brain; up-regulated in patients with multiple sclerosis gray matter lesions.
-
數據庫鏈接:
Most popular with customers
-
-
YWHAB Recombinant Monoclonal Antibody
Applications: ELISA, WB, IHC, IF, FC
Species Reactivity: Human, Mouse, Rat
-
Phospho-YAP1 (S127) Recombinant Monoclonal Antibody
Applications: ELISA, WB, IHC
Species Reactivity: Human
-
-
-
-
-















