DUSP14 Antibody
-
中文名稱:DUSP14兔多克隆抗體
-
貨號:CSB-PA055199
-
規格:¥1100
-
圖片:
-
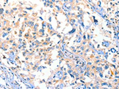
The image on the left is immunohistochemistry of paraffin-embedded Human breast cancer tissue using CSB-PA055199(DUSP14 Antibody) at dilution 1/20, on the right is treated with fusion protein. (Original magnification: ×200)
-
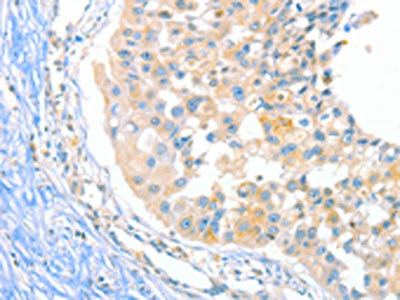
The image on the left is immunohistochemistry of paraffin-embedded Human esophagus cancer tissue using CSB-PA055199(DUSP14 Antibody) at dilution 1/20, on the right is treated with fusion protein. (Original magnification: ×200)
-
-
其他:
產品詳情
-
Uniprot No.:
-
基因名:DUSP14
-
別名:Dual specificity phosphatase 14 antibody; Dual specificity protein phosphatase 14 antibody; DUS14_HUMAN antibody; DUSP 14 antibody; DUSP14 antibody; DUSP14 protein antibody; MAP kinase phosphatase 6 antibody; Mitogen activated protein kinase phosphatase 6 antibody; Mitogen-activated protein kinase phosphatase 6 antibody; MKP 1 like protein tyrosine phosphatase antibody; MKP 6 antibody; MKP L antibody; MKP-1-like protein tyrosine phosphatase antibody; MKP-6 antibody; MKP-L antibody; MKP1 like protein tyrosine phosphatase antibody; MKP6 antibody; MKPL antibody
-
宿主:Rabbit
-
反應種屬:Human,Mouse
-
免疫原:Fusion protein of Human DUSP14
-
免疫原種屬:Homo sapiens (Human)
-
標記方式:Non-conjugated
-
抗體亞型:IgG
-
純化方式:Antigen affinity purification
-
濃度:It differs from different batches. Please contact us to confirm it.
-
保存緩沖液:-20°C, pH7.4 PBS, 0.05% NaN3, 40% Glycerol
-
產品提供形式:Liquid
-
應用范圍:ELISA,IHC
-
推薦稀釋比:
Application Recommended Dilution ELISA 1:1000-1:2000 IHC 1:15-1:50 -
Protocols:
-
儲存條件:Upon receipt, store at -20°C or -80°C. Avoid repeated freeze.
-
貨期:Basically, we can dispatch the products out in 1-3 working days after receiving your orders. Delivery time maybe differs from different purchasing way or location, please kindly consult your local distributors for specific delivery time.
-
用途:For Research Use Only. Not for use in diagnostic or therapeutic procedures.
相關產品
靶點詳情
-
功能:Involved in the inactivation of MAP kinases. Dephosphorylates ERK, JNK and p38 MAP-kinases.
-
基因功能參考文獻:
- Hepatocyte DUSP14 is required for maintaining hepatic metabolic homeostasis and for suppressing inflammation, a novel function that relies on constraining TAK1 hyperactivation PMID: 29077210
- The AA genotype was associated with protection against active TB. Among disease-free individuals, T-helper type-1 related genes, IFNGR2 and STAT1 mRNA levels significantly increased as the number of A alleles of rs1051838 increased. PMID: 26938665
- levels significantly decreased in failing hearts PMID: 26891723
- these findings reveal a novel mechanism by which TRAF2 mediates Lys63-linked ubiquitination of DUSP14, leading to DUSP14 activation in T cells PMID: 26521044
- findings suggest that DUSP14 negatively regulates TNF- or IL-1-induced NF-kappaB activation by dephosphorylating TAK1 at Thr-187 PMID: 23229544
- DUSP14 may be a susceptibility gene for pulmonary tuberculosis. PMID: 22233810
- The overproduction, purification and crystal structure at 1.88 A resolution of human dual-specificity phosphatase 14, DUSP14 (MKP6), are reported. PMID: 19770498
- Activation of ATM by radiation down-regulates phospho-ERK1/2 and its downstream signaling via increased expression of mitogen-activated protein kinase phosphatase MKP-1. PMID: 17178844
- The binding of Lipomannan to TLR2 triggers MAPK activation, followed by an up-regulation of MKP-1 expression, which in turn may act as a negative regulator of MAPK activation. PMID: 18201568
顯示更多
收起更多
-
蛋白家族:Protein-tyrosine phosphatase family, Non-receptor class dual specificity subfamily
-
數據庫鏈接:
Most popular with customers
-
YWHAB Recombinant Monoclonal Antibody
Applications: ELISA, WB, IHC, IF, FC
Species Reactivity: Human, Mouse, Rat
-
Phospho-YAP1 (S127) Recombinant Monoclonal Antibody
Applications: ELISA, WB, IHC
Species Reactivity: Human
-
-
-
-
-
-















