DTX2 Antibody
-
中文名稱:DTX2兔多克隆抗體
-
貨號:CSB-PA803123ESR2HU
-
規格:¥440
-
圖片:
-
Western blot
All lanes: DTX2 antibody at 1μg/ml + HepG2 whole cell lysate
Secondary
Goat polyclonal to rabbit IgG at 1/10000 dilution
Predicted band size: 68, 63 kDa
Observed band size: 68, 92 kDa -
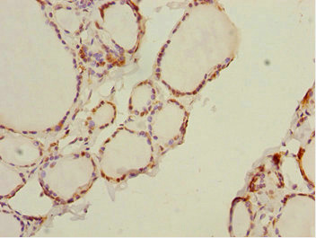
Immunohistochemistry of paraffin-embedded human thyroid tissue using CSB-PA803123ESR2HU at dilution of 1:100
-
-
其他:
產品詳情
-
產品名稱:Rabbit anti-Homo sapiens (Human) DTX2 Polyclonal antibody
-
Uniprot No.:
-
基因名:
-
別名:Deltex 2 antibody; deltex homolog 2 (Drosophila) antibody; deltex; Drosophila; homolog of; 2 antibody; Deltex2 antibody; DTX2 antibody; DTX2_HUMAN antibody; hDTX2 antibody; Highly similar to hPMSR6 [H.sapiens] antibody; KIAA1528 antibody; Probable E3 ubiquitin-protein ligase DTX2 antibody; Protein deltex 2 antibody; Protein deltex-2 antibody; RING finger protein 58 antibody; RNF58 antibody; Zinc ion binding protein antibody
-
宿主:Rabbit
-
反應種屬:Human
-
免疫原:Recombinant Human Probable E3 ubiquitin-protein ligase DTX2 protein (1-280AA)
-
免疫原種屬:Homo sapiens (Human)
-
標記方式:Non-conjugated
-
克隆類型:Polyclonal
-
抗體亞型:IgG
-
純化方式:Antigen Affinity Purified
-
濃度:It differs from different batches. Please contact us to confirm it.
-
保存緩沖液:PBS with 0.02% sodium azide, 50% glycerol, pH7.3.
-
產品提供形式:Liquid
-
應用范圍:ELISA, WB, IHC
-
推薦稀釋比:
Application Recommended Dilution WB 1:1000-1:5000 IHC 1:20-1:200 -
Protocols:
-
儲存條件:Upon receipt, store at -20°C or -80°C. Avoid repeated freeze.
-
貨期:Basically, we can dispatch the products out in 1-3 working days after receiving your orders. Delivery time maybe differs from different purchasing way or location, please kindly consult your local distributors for specific delivery time.
-
用途:For Research Use Only. Not for use in diagnostic or therapeutic procedures.
相關產品
靶點詳情
-
功能:Regulator of Notch signaling, a signaling pathway involved in cell-cell communications that regulates a broad spectrum of cell-fate determinations. Probably acts both as a positive and negative regulator of Notch, depending on the developmental and cell context. Mediates the antineural activity of Notch, possibly by inhibiting the transcriptional activation mediated by MATCH1. Functions as a ubiquitin ligase protein in vitro, suggesting that it may regulate the Notch pathway via some ubiquitin ligase activity.
-
基因功能參考文獻:
- DTX2 is a gene encoding a WWE-RING-finger protein and involved in regulating heart development and heart functions. PMID: 17286044
- It is reported that BBAP and the human family of DTX proteins (DTX1, DTX2, and DTX3) function as E3 ligases based on their capacity for self-ubiquitination. PMID: 12670957
-
亞細胞定位:Cytoplasm. Nucleus.
-
蛋白家族:Deltex family
-
數據庫鏈接:
Most popular with customers
-
-
YWHAB Recombinant Monoclonal Antibody
Applications: ELISA, WB, IHC, IF, FC
Species Reactivity: Human, Mouse, Rat
-
Phospho-YAP1 (S127) Recombinant Monoclonal Antibody
Applications: ELISA, WB, IHC
Species Reactivity: Human
-
-
-
-
-















