DTNBP1 Antibody
-
中文名稱:DTNBP1兔多克隆抗體
-
貨號:CSB-PA778879
-
規格:¥1100
-
圖片:
-
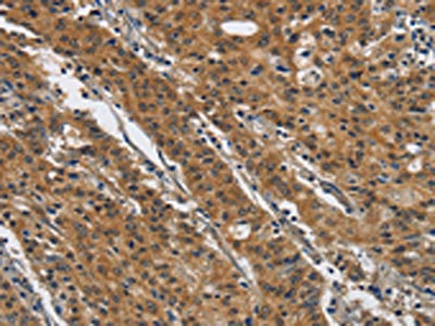
The image on the left is immunohistochemistry of paraffin-embedded Human thyroid cancer tissue using CSB-PA778879(DTNBP1 Antibody) at dilution 1/20, on the right is treated with synthetic peptide. (Original magnification: ×200)
-
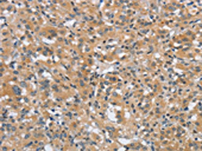
The image on the left is immunohistochemistry of paraffin-embedded Human gastric cancer tissue using CSB-PA778879(DTNBP1 Antibody) at dilution 1/20, on the right is treated with synthetic peptide. (Original magnification: ×200)
-
-
其他:
產品詳情
-
Uniprot No.:
-
基因名:DTNBP1
-
別名:DTBP1_HUMAN antibody; DTNBP1 antibody; Dysbindin antibody; Dysbindin-1 antibody; Dystrobrevin binding protein 1 antibody; Dystrobrevin-binding protein 1 antibody; Hermansky Pudlak syndrome 7 protein antibody; Hermansky-Pudlak syndrome 7 protein antibody; HPS7 antibody; HPS7 protein antibody
-
宿主:Rabbit
-
反應種屬:Human
-
免疫原:Synthetic peptide of Human DTNBP1
-
免疫原種屬:Homo sapiens (Human)
-
標記方式:Non-conjugated
-
抗體亞型:IgG
-
純化方式:Antigen affinity purification
-
濃度:It differs from different batches. Please contact us to confirm it.
-
保存緩沖液:-20°C, pH7.4 PBS, 0.05% NaN3, 40% Glycerol
-
產品提供形式:Liquid
-
應用范圍:ELISA,IHC
-
推薦稀釋比:
Application Recommended Dilution ELISA 1:2000-1:5000 IHC 1:25-1:100 -
Protocols:
-
儲存條件:Upon receipt, store at -20°C or -80°C. Avoid repeated freeze.
-
貨期:Basically, we can dispatch the products out in 1-3 working days after receiving your orders. Delivery time maybe differs from different purchasing way or location, please kindly consult your local distributors for specific delivery time.
-
用途:For Research Use Only. Not for use in diagnostic or therapeutic procedures.
相關產品
靶點詳情
-
功能:Component of the BLOC-1 complex, a complex that is required for normal biogenesis of lysosome-related organelles (LRO), such as platelet dense granules and melanosomes. In concert with the AP-3 complex, the BLOC-1 complex is required to target membrane protein cargos into vesicles assembled at cell bodies for delivery into neurites and nerve terminals. The BLOC-1 complex, in association with SNARE proteins, is also proposed to be involved in neurite extension. Associates with the BLOC-2 complex to facilitate the transport of TYRP1 independent of AP-3 function. Plays a role in synaptic vesicle trafficking and in neurotransmitter release. Plays a role in the regulation of cell surface exposure of DRD2. May play a role in actin cytoskeleton reorganization and neurite outgrowth. May modulate MAPK8 phosphorylation. Appears to promote neuronal transmission and viability through regulating the expression of SNAP25 and SYN1, modulating PI3-kinase-Akt signaling and influencing glutamatergic release. Regulates the expression of SYN1 through binding to its promoter. Modulates prefrontal cortical activity via the dopamine/D2 pathway.
-
基因功能參考文獻:
- Multilevel ex vivo and in vivo analyses in postmortem brains demonstrate that interaction between antipsychotics and dysbindin-1 is mediated by an imbalance between the short and long isoforms of dopamine D2 receptors, leading to enhanced presynaptic D2 function within the prefrontal cortex. PMID: 29891954
- Our results suggest that DTNBP1 and NRN1 genes show a joint effect on the risk for schizophrenia spectrum disorders. Although the precise mechanism underlying this effect is unclear, the fact that these genes have been involved in synaptic maturation, connectivity and glutamate signalling suggests that our findings could be of value as a link to the schizophrenia aetiology. PMID: 27855309
- Study analyzed human-specific dysbindin-1B expression in multiple brain areas in mouse models and showed that dysbindin-1B exerts a dominant-negative effect on the BLOC-1 complex; this effect may lead to cognitive impairment. PMID: 27421225
- This study demonstrated that BDNF and dysbindin-1 linked to risk for schizophrenia function together to regulate interneuron development and cortical network activity. PMID: 26386481
- This is the first study to suggest that known and newly described polymorphisms in COMT, BDNF, and DTNBP1, genes associated with executive and memory functions in healthy individuals and other clinical populations may modulate cognitive outcome in patients with brain tumors PMID: 27091610
- Data suggest that, in cardiomyocytes, TRIM32 attenuates activation of SRF signaling and hypertrophy due to dysbindin; TRIM24 promotes these effects. TRIM32 promotes dysbindin degradation; TRIM24 protects dysbindin from degradation. (TRIM = tripartite motif-containing protein; SRF = serum response factor) PMID: 28465353
- In schizophrenia patients, there was a significant association of the rs909706 polymorphism with attention and a nonsignificant trend for set-shifting. The other SNPs and haplotypes were not associated with cognitive function. PMID: 27798936
- Authors report the examination of DNA methylation status of DTNBP1 promoter region, one of the most credible candidate genes affected in SCZ. PMID: 26285059
- DTNBP1 is likely to play a role in development of auditory related, visual and olfactory hallucinations PMID: 25697573
- dysbindin-1A protein levels are highly regulated in the nucleus and that dysbindin-1A regulates transcription factor NF-kappa B activity to promote the expression of MMP-9 and TNF-alpha PMID: 26171858
- Study demonstrated that dysbindin-1B, rather than dysbindin-1A and dysbindin-1C, has the ability to aggregate PMID: 25704251
- The present findings intransgenic mice expressing human DTNBP1 support the role of dysbindin-1 in psychiatric disorders. PMID: 25298178
- rs3213207 polymorphism may contribute to methamphetamine-induced panic disorder PMID: 25303981
- Findings add further evidence suggesting an association between dysbindin gene variability and cognitive abnormalities in schizophrenia. PMID: 25530342
- dysbindin-1 formed a protein complex with HDAC3 in human neuroblastoma cells PMID: 25196196
- DISC1 forms a complex with dysbindin and increases its stability in association with a reduction in ubiquitylation. PMID: 25635053
- In homozygotes and heterozygotes of risk allele (CC) of DTNBP1, there was a trend to volumetric reductions in brain regions, regardless of schizophrenia diagnosis. PMID: 25042954
- loss of function mutations in the genes encoding dysbindin and its interacting BLOC-1 subunits PMID: 24713699
- These data confirm at the level of mouse working memory and human working memory-associated physiology a genetic interaction between COMT and DTNBP1. PMID: 24145376
- Mecp2 regulates the expression of components belonging to the dysbindin interactome PMID: 23750231
- Letter/Case Report: report novel HPS7 mutation causing Hermansky-Pudlak syndrome. PMID: 23364359
- The results of this study provided significant effects of the DTNBP1 SNP rs2619522 bilaterally in the hippocampus as well as in the anterior middle frontal gyrus and the intraparietal cortex. PMID: 22580710
- an allele G of DTNBP1 genes may be considered as a marker for higher CR. PMID: 23612411
- study suggests that NMDA receptor-mediated signalling genes, DAO, PPP3CC, DTNBP1 might be involved in schizophrenia pathogenic mechanisms related to gender PMID: 23497497
- the involvement of DTNBP1 not only in the development of attention deficit of schizophrenia, but also in the inter-individual variability of this cognitive domain within the normal functional range. PMID: 22911901
- Results support a role of DTNBP1 gene variants in the glutamate neurotransmission system in the hippocampus which is compatible with growing evidence of a crucial role of glutamate in the pathobiology of schizophrenia PMID: 22283763
- The increased expression of dysbindin might play a role in the pathogenesis of drug-refractory temporal lobe epilepsy. PMID: 22337344
- Dysbindin has been implicated in neurite outgrowth and morphology. Impairments in anatomic connectivity as found associated with the minor Dysbindin allele in our study may result in increased risk for schizophrenia due to altered fiber tracts PMID: 22019876
- associations between rs2619538 and HVA and 5-5-hydroxyindoleacetic acid concentrations were significant; results suggest genetic variation in DTNBP1 gene affects regulation of dopamine and serotonin turnover in CNS PMID: 21295953
- Our results suggest that genetic variation in DTNBP1 is associated with differences in gray and white matter; and that these effects are already evident in children as young as 10-12 years. PMID: 21639861
- Dysbindin-1 gene expression in immortalized lymphocytes from patients with schizophrenia PMID: 21512575
- Cellular, tissue, and system neurological phenotypes from dysbindin deficiencies individuals affected with schizophrenia, emerge from abnormalities in few core cellular mechanisms controlled by BLOC-1-dysbindin-containing complex. PMID: 21520000
- The results of this study provided support for dysbindin (DTNBP1) gene variation, particularly SNPs rs1997679 and rs9370822, to be associated with the clinical phenotype of psychotic depression PMID: 20951386
- These findings confirm the role of the dysbindin-1 gene in the risk for functional psychosis and show a differential haplotypic risk pattern in families with early as opposed to adult onset in the affected offspring. PMID: 21305691
- This study determined whether synaptic reductions of Dysbindin-1 are isoform-specific. PMID: 21390302
- dysbindin haplotype was associated with structural differences in the medial orbitofrontal cortex PMID: 21184829
- The results of this study suggested that variability in a noncoding sequence of DTNBP1 contributes to individual differences in emotional working memory. PMID: 20010894
- Genetic variation in DTNBP1 modestly influences general cognitive ability. PMID: 21130223
- Results showed that these two SNPs in DTNPB1 gene were not related to clinical phenotypes such as melancholia, age at onset, suicidality and co-morbid anxiety disorders. PMID: 20822372
- DTNBP1 polymorphic genes are involved in different subprocesses of short-term memory both in normal subjects and in patients with schizophrenia PMID: 20683774
- No associations were detected for any of the symptom factors indicating that the dysbindin risk haplotype does not predispose to a particular group of symptoms in schizophrenia PMID: 19760674
- Data suggest that DTNBP1 is a good candidate for schizophrenia risk and rs9370822 is either functionally important or in disequilibrium with a functional SNP. PMID: 20615671
- Our results identified the impact of DTNBP1 on the development of a specific attention deficit via modulation of a left prefrontal network. PMID: 20846375
- the nucleocytoplasmic shuttling of dysbindin-1 regulates synapsin I expression and thus may be involved in the pathogenesis of schizophrenia. PMID: 20921223
- This study is the first to report an association of a frequent variant of the DTNBP1 gene (AG/GG of rs2619528) with an electrophysiological measure of prefrontal brain function in patients with schizophrenia. PMID: 20180862
- suggests that there is a common underlying molecular defect involving DTNBP1 that contributes to the development of several anxiety and addictive disorders that are generally recognised as separate clinical conditions PMID: 20615259
- Results identify a distinct, and potentially widespread function of dysbindin in promoting the sorting of specific GPCRs to lysosomes after endocytosis. PMID: 20174469
- To investigate dysbindin function in the brain could shed light on the etiology of schizophrenia and lead us to new hypotheses, novel diagnostic tools, and more effective therapies for the disorder PMID: 20666140
- DTNBP1 variations are possibly associated with some symptoms of schizophrenia, which could partly explain the relationship between the susceptibility gene DTNBP1 and that disease PMID: 20598229
- This study could not replicate previous association findings between Dysbindin and in schizophrenia one of the largest European samples to date. PMID: 20083391
顯示更多
收起更多
-
相關疾病:Hermansky-Pudlak syndrome 7 (HPS7)
-
亞細胞定位:[Isoform 1]: Cytoplasm. Cytoplasmic vesicle membrane; Peripheral membrane protein; Cytoplasmic side. Endosome membrane; Peripheral membrane protein; Cytoplasmic side. Melanosome membrane; Peripheral membrane protein; Cytoplasmic side. Cell junction, synapse, postsynaptic density. Endoplasmic reticulum. Nucleus. Note=Mainly cytoplasmic but shuttles between the cytoplasm and nucleus. Exported out of the nucleus via its NES in a XPO1-dependent manner. Nuclear localization is required for regulation of the expression of genes such as SYN1. Detected in neuron cell bodies, axons and dendrites. Mainly located to the postsynaptic density. Detected at tubulovesicular elements in the vicinity of the Golgi apparatus and of melanosomes. Occasionally detected at the membrane of pigmented melanosomes in cultured melanoma cells. The BLOC-1 complex associates with the BLOC-2 complex in early endosome-associated tubules.; [Isoform 2]: Cytoplasm. Cytoplasmic vesicle membrane; Peripheral membrane protein; Cytoplasmic side. Cytoplasmic vesicle, secretory vesicle, synaptic vesicle membrane; Peripheral membrane protein; Cytoplasmic side. Endosome membrane; Peripheral membrane protein; Cytoplasmic side. Melanosome membrane; Peripheral membrane protein; Cytoplasmic side. Cell junction, synapse, postsynaptic cell membrane. Endoplasmic reticulum. Nucleus. Note=Shuttles between the cytoplasm and nucleus. Exported out of the nucleus via its NES in a XPO1-dependent manner. Nuclear localization is required for regulation of the expression of genes such as SYN1. Mainly expressed in the dendritic spine. Predominantly a synaptic vesicle isoform but also highly expressed in the nucleus. The BLOC-1 complex associates with the BLOC-2 complex in early endosome-associated tubules. Associated with the AP-3 complex at presynaptic terminals.; [Isoform 3]: Cytoplasm. Cytoplasmic vesicle membrane; Peripheral membrane protein; Cytoplasmic side. Cytoplasmic vesicle, secretory vesicle, synaptic vesicle membrane; Peripheral membrane protein; Cytoplasmic side. Endosome membrane; Peripheral membrane protein; Cytoplasmic side. Melanosome membrane; Peripheral membrane protein; Cytoplasmic side. Cell junction, synapse, postsynaptic cell membrane. Endoplasmic reticulum. Note=Exclusivley cytoplasmic. Predominantly found in the postsynaptic density (PSD). Little association with synaptic vesicles. The BLOC-1 complex associates with the BLOC-2 complex in early endosome-associated tubules. Associated with the AP-3 complex at presynaptic terminals.
-
蛋白家族:Dysbindin family
-
組織特異性:Detected in brain, in neurons and in neuropil. Isoform 1 is expressed in the cerebral cortex, and hippocampal frontal (HF). Specific expression in the posterior half of the superior temporal gyrus (pSTG). Higher expression of isoform 2 and 3 in the HF tha
-
數據庫鏈接:
Most popular with customers
-
YWHAB Recombinant Monoclonal Antibody
Applications: ELISA, WB, IHC, IF, FC
Species Reactivity: Human, Mouse, Rat
-
Phospho-YAP1 (S127) Recombinant Monoclonal Antibody
Applications: ELISA, WB, IHC
Species Reactivity: Human
-
-
-
-
-
-















