DSC1 Antibody
-
中文名稱:DSC1兔多克隆抗體
-
貨號:CSB-PA952156
-
規格:¥1100
-
圖片:
-
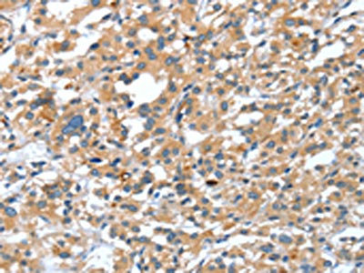
The image on the left is immunohistochemistry of paraffin-embedded Human liver cancer tissue using CSB-PA952156(DSC1 Antibody) at dilution 1/40, on the right is treated with synthetic peptide. (Original magnification: ×200)
-
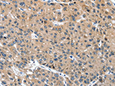
The image on the left is immunohistochemistry of paraffin-embedded Human thyroid cancer tissue using CSB-PA952156(DSC1 Antibody) at dilution 1/40, on the right is treated with synthetic peptide. (Original magnification: ×200)
-
-
其他:
產品詳情
-
Uniprot No.:
-
基因名:DSC1
-
別名:DSC1 antibody; CDHF1 antibody; Desmocollin-1 antibody; Cadherin family member 1 antibody; Desmosomal glycoprotein 2/3 antibody; DG2/DG3 antibody
-
宿主:Rabbit
-
反應種屬:Human,Mouse
-
免疫原:Synthetic peptide of Human DSC1
-
免疫原種屬:Homo sapiens (Human)
-
標記方式:Non-conjugated
-
抗體亞型:IgG
-
純化方式:Antigen affinity purification
-
濃度:It differs from different batches. Please contact us to confirm it.
-
保存緩沖液:-20°C, pH7.4 PBS, 0.05% NaN3, 40% Glycerol
-
產品提供形式:Liquid
-
應用范圍:ELISA,IHC
-
推薦稀釋比:
Application Recommended Dilution ELISA 1:2000-1:5000 IHC 1:50-1:200 -
Protocols:
-
儲存條件:Upon receipt, store at -20°C or -80°C. Avoid repeated freeze.
-
貨期:Basically, we can dispatch the products out in 1-3 working days after receiving your orders. Delivery time maybe differs from different purchasing way or location, please kindly consult your local distributors for specific delivery time.
-
用途:For Research Use Only. Not for use in diagnostic or therapeutic procedures.
相關產品
靶點詳情
-
功能:Component of intercellular desmosome junctions. Involved in the interaction of plaque proteins and intermediate filaments mediating cell-cell adhesion. May contribute to epidermal cell positioning (stratification) by mediating differential adhesiveness between cells that express different isoforms. Linked to the keratinization of epithelial tissues.
-
基因功能參考文獻:
- DSC1 expression is significantly downregulated in human masticatory mucosa during wound healing PMID: 28005267
- Increased expression of DSC1 can promote the occurrence of head and neck squamous cell carcinoma (HNSCC) and is associated with tumor. The increased expression of DSC1 also indicates a poor prognosis of the patients with HNSCC. PMID: 27601166
- Low expression of DSC 1, 2, and 3 was observed in 55, 54, and 79 % of liver metastases. PMID: 23975055
- High expression of desmocollin 1 (DSC1) was observed in 41.6%, DSC2 in 58.0%, DSC3 in 61.4%, E-cadherin in 71.4%, CDX2 in 58.0%, PITX1 in 55.0%, CDK4 in 0.2%, TLE1 in 1.3%, Factor H in 42.5%, and MDM2 in 0.2% of colorectal carcinomas. PMID: 22438068
- The ultrastructural modifications of desmosomes during terminal differentiation of hair follicles are paralleled by the modulation of the synthesis of desmocollin 1. PMID: 15140019
- in majority of patients with Netherton syndrome, Dsg1 & Dsc1 were reduced in living layers of epidermis; SCTE-like & SCCE-like activities were increased, suggesting these proteases participate in premature degradation of corneodesmosomal cadherins PMID: 16628198
- Increased Dsc1 protein is associated with colorectal cancer PMID: 17088906
顯示更多
收起更多
-
亞細胞定位:Cell membrane; Single-pass type I membrane protein. Cell junction, desmosome.
-
組織特異性:Strongly expressed in epidermis, less in lymph node and tongue.
-
數據庫鏈接:
Most popular with customers
-
-
YWHAB Recombinant Monoclonal Antibody
Applications: ELISA, WB, IHC, IF, FC
Species Reactivity: Human, Mouse, Rat
-
Phospho-YAP1 (S127) Recombinant Monoclonal Antibody
Applications: ELISA, WB, IHC
Species Reactivity: Human
-
-
-
-
-















