DRG1 Antibody
-
中文名稱:DRG1兔多克隆抗體
-
貨號:CSB-PA897524LA01HU
-
規格:¥440
-
圖片:
-
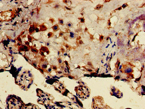
Immunohistochemistry of paraffin-embedded human placenta tissue using CSB-PA897524LA01HU at dilution of 1:100
-
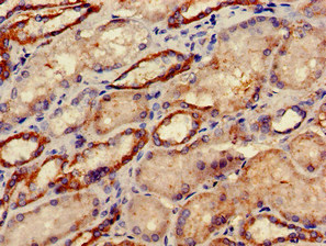
Immunohistochemistry of paraffin-embedded human kidney tissue using CSB-PA897524LA01HU at dilution of 1:100
-
Immunofluorescent analysis of HepG2 cells using CSB-PA897524LA01HU at dilution of 1:100 and Alexa Fluor 488-congugated AffiniPure Goat Anti-Rabbit IgG(H+L)
-
Western Blot
Positive WB detected in: HepG2 whole cell lysate
All lanes:DRG1 antibody at 3.2μg/ml
Secondary
Goat polyclonal to rabbit IgG at 1/50000 dilution
Predicted band size: 41 kDa
Observed band size: 41 kDa
-
-
其他:
產品詳情
-
產品名稱:Rabbit anti-Homo sapiens (Human) DRG1 Polyclonal antibody
-
Uniprot No.:
-
基因名:DRG1
-
別名:Developmentally regulated GTP binding protein 1 antibody; Developmentally-regulated GTP-binding protein 1 antibody; DKFZp434N1827 antibody; DRG 1 antibody; DRG-1 antibody; DRG1 antibody; DRG1_HUMAN antibody; NEDD 3 antibody; NEDD-3 antibody; NEDD3 antibody; Neural precursor cell expressed developmentally down regulated protein 3 antibody; Neural precursor cell expressed developmentally down-regulated protein 3 antibody
-
宿主:Rabbit
-
反應種屬:Human
-
免疫原:Recombinant Human Developmentally-regulated GTP-binding protein 1 protein (173-228AA)
-
免疫原種屬:Homo sapiens (Human)
-
標記方式:Non-conjugated
本頁面中的產品,DRG1 Antibody (CSB-PA897524LA01HU),的標記方式是Non-conjugated。對于DRG1 Antibody,我們還提供其他標記。見下表:
-
克隆類型:Polyclonal
-
抗體亞型:IgG
-
純化方式:>95%, Protein G purified
-
濃度:It differs from different batches. Please contact us to confirm it.
-
保存緩沖液:Preservative: 0.03% Proclin 300
Constituents: 50% Glycerol, 0.01M PBS, pH 7.4 -
產品提供形式:Liquid
-
應用范圍:ELISA, WB, IHC, IF
-
推薦稀釋比:
Application Recommended Dilution WB 1:200-1:5000 IHC 1:20-1:200 IF 1:50-1:200 -
Protocols:
-
儲存條件:Upon receipt, store at -20°C or -80°C. Avoid repeated freeze.
-
貨期:Basically, we can dispatch the products out in 1-3 working days after receiving your orders. Delivery time maybe differs from different purchasing way or location, please kindly consult your local distributors for specific delivery time.
-
用途:For Research Use Only. Not for use in diagnostic or therapeutic procedures.
相關產品
靶點詳情
-
功能:Catalyzes the conversion of GTP to GDP through hydrolysis of the gamma-phosphate bond in GTP. Appears to have an intrinsic GTPase activity that is stimulated by ZC3H15/DFRP1 binding likely by increasing the affinity for the potassium ions. When hydroxylated at C-3 of 'Lys-22' by JMJD7, may bind to RNA and play a role in translation. Binds to microtubules and promotes microtubule polymerization and stability that are required for mitotic spindle assembly during prophase to anaphase transition. GTPase activity is not necessary for these microtubule-related functions.
-
基因功能參考文獻:
- DRG1 was an important protein involved in spindle checkpoint signaling, and elevated levels of DRG1 caused lung adenocarcinoma and taxol resistance. PMID: 27626498
- DRG-1 plays an important role in melanoma cell growth and transformation, indicating that DRG1 may represent a novel target for CD4(+) T cell-mediated immunotherapy in melanoma. PMID: 25993655
- Lerepo4 action leaves Drg1 affinity for nucleotides unaffected, feasibly favoring a switch I reorientation, mainly via the TGS domain. PMID: 23711155
- Drg-1 is a candidate metastasis suppressor gene for prostate cancer and may serve as a useful prognostic marker. PMID: 12702552
- our results strongly suggest functional involvement of the Drg-1 gene in suppressing the metastatic advancement of human breast cancer. PMID: 15184886
- The tumor metastasis suppressor gene Drg-1 suppresses metastasis of prostate tumor cells by inhibiting the invasive ability of the cells via down-regulation of the expression of the ATF3 gene. PMID: 17178897
顯示更多
收起更多
-
亞細胞定位:Nucleus. Cytoplasm. Note=The DRG1-ZC3H15/DFRP1 complex associates with polysomes.
-
蛋白家族:TRAFAC class OBG-HflX-like GTPase superfamily, OBG GTPase family
-
組織特異性:High levels in skeletal muscle, heart, and kidney. Intermediate levels in liver, placenta and brain. Low levels in colon, thymus, spleen, small intestine, lung and leukocytes.
-
數據庫鏈接:
Most popular with customers
-
-
YWHAB Recombinant Monoclonal Antibody
Applications: ELISA, WB, IHC, IF, FC
Species Reactivity: Human, Mouse, Rat
-
Phospho-YAP1 (S127) Recombinant Monoclonal Antibody
Applications: ELISA, WB, IHC
Species Reactivity: Human
-
-
-
-
-















