DR1 Antibody
-
中文名稱:DR1兔多克隆抗體
-
貨號:CSB-PA007175ESR2HU
-
規格:¥440
-
圖片:
-
Western blot
All lanes: DR1 antibody at 2.32μg/ml
Lane 1: Rat gonad tissue
Lane 2: PC-3 whole cell lysate
Lane 3: Hela whole cell lysate
Lane 4: 293T whole cell lysate
Secondary
Goat polyclonal to rabbit IgG at 1/10000 dilution
Predicted band size: 19 kDa
Observed band size: 23, 26 kDa -
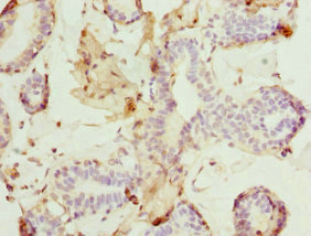
Immunohistochemistry of paraffin-embedded human breast cancer using CSB-PA007175ESR2HU at dilution of 1:100
-
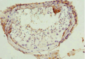
Immunohistochemistry of paraffin-embedded human testis tissue using CSB-PA007175ESR2HU at dilution of 1:100
-
-
其他:
產品詳情
-
產品名稱:Rabbit anti-Homo sapiens (Human) DR1 Polyclonal antibody
-
Uniprot No.:
-
基因名:DR1
-
別名:Down regulator of transcription 1 antibody; Down regulator of transcription 1 TBP binding antibody; Down-regulator of transcription 1 antibody; down-regulator of transcription 1; TBP-binding (negative cofactor 2) antibody; DR 1 antibody; Dr1 antibody; Dr1 protein antibody; NC 2 antibody; NC2 antibody; NC2 beta antibody; NC2-beta antibody; NC2B_HUMAN antibody; Negative co factor 2 antibody; Negative cofactor 2 antibody; Negative cofactor 2 beta antibody; Negative cofactor 2-beta antibody; Protein Dr1 antibody; TATA binding protein associated phosphoprotein antibody; TATA box/binding protein associated phosphoprotein DR1 antibody; TATA-binding protein-associated phosphoprotein antibody
-
宿主:Rabbit
-
反應種屬:Human, Rat
-
免疫原:Recombinant Human Protein Dr1 protein (1-176AA)
-
免疫原種屬:Homo sapiens (Human)
-
標記方式:Non-conjugated
-
克隆類型:Polyclonal
-
抗體亞型:IgG
-
純化方式:Antigen Affinity Purified
-
濃度:It differs from different batches. Please contact us to confirm it.
-
保存緩沖液:PBS with 0.02% sodium azide, 50% glycerol, pH7.3.
-
產品提供形式:Liquid
-
應用范圍:ELISA, WB, IHC
-
推薦稀釋比:
Application Recommended Dilution WB 1:1000-1:5000 IHC 1:20-1:200 -
Protocols:
-
儲存條件:Upon receipt, store at -20°C or -80°C. Avoid repeated freeze.
-
貨期:Basically, we can dispatch the products out in 1-3 working days after receiving your orders. Delivery time maybe differs from different purchasing way or location, please kindly consult your local distributors for specific delivery time.
-
用途:For Research Use Only. Not for use in diagnostic or therapeutic procedures.
相關產品
靶點詳情
-
功能:The association of the DR1/DRAP1 heterodimer with TBP results in a functional repression of both activated and basal transcription of class II genes. This interaction precludes the formation of a transcription-competent complex by inhibiting the association of TFIIA and/or TFIIB with TBP. Can bind to DNA on its own. Component of the ATAC complex, a complex with histone acetyltransferase activity on histones H3 and H4.
-
基因功能參考文獻:
- results suggest that DR1 are expressed in the osteosarcoma cells and inhibit the proliferation of osteosarcoma cells by the down-regulation of the ERK1/2 and PI3K-Akt pathways. PMID: 28181134
- Knockdown of DR1 resulted in reductions of viral RNA and protein production, demonstrating that DR1 acts as a positive host factor in influenza A virus replication. PMID: 25589657
- Basal core promoters control the equilibrium between negative cofactor 2 and preinitiation complexes in human cells. PMID: 20230619
- The physiological functions of human Dr1 include regulation of polymerase III transcription. PMID: 19965767
- NC2 controls TBP binding and maintenance on DNA that is largely independent of a canonical TATA sequence PMID: 15574413
- the initiator core promoter element antagonizes repression of TATA-directed transcription by negative cofactor NC2 PMID: 17584739
- Data show that NC2beta is specifically involved in neuroblastoma pathogenesis and may be considered a new neuroblastoma biomarker. PMID: 18538002
- ATAC Is a GCN5/PCAF-containing acetylase complex with a novel NC2-like histone fold module that interacts with the TATA-binding protein PMID: 18838386
- heterodimerization with NC2alpha masks the nuclear localization signal in NC2beta, which prevents nuclear export of the NC2 complex PMID: 19204005
顯示更多
收起更多
-
亞細胞定位:Nucleus.
-
蛋白家族:NC2 beta/DR1 family
-
數據庫鏈接:
Most popular with customers
-
-
YWHAB Recombinant Monoclonal Antibody
Applications: ELISA, WB, IHC, IF, FC
Species Reactivity: Human, Mouse, Rat
-
Phospho-YAP1 (S127) Recombinant Monoclonal Antibody
Applications: ELISA, WB, IHC
Species Reactivity: Human
-
-
-
-
-















