DNALI1 Antibody
-
中文名稱:DNALI1兔多克隆抗體
-
貨號:CSB-PA007047LA01HU
-
規格:¥440
-
圖片:
-
Western Blot
Positive WB detected in:Mouse endometrium tissue lysate, Rat Fallopian tube tissue lysate
All lanes: DNALI1 antibody at 1:1000
Secondary
Goat polyclonal to rabbit IgG at 1/50000 dilution
Predicted band size: 30, 16 kDa
Observed band size: 30 kDa -
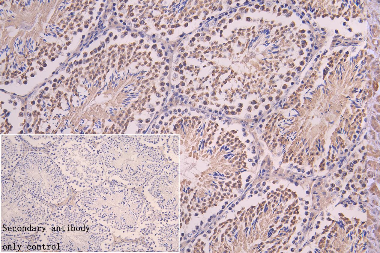
IHC image of CSB-PA007047LA01HU diluted at 1:200 and staining in paraffin-embedded mouse testis tissue performed on a Leica BondTM system. After dewaxing and hydration, antigen retrieval was mediated by high pressure in a citrate buffer (pH 6.0). Section was blocked with 10% normal goat serum 30min at RT. Then primary antibody (1% BSA) was incubated at 4°C overnight. The primary is detected by a Goat anti-rabbit polymer IgG labeled by HRP and visualized using 0.05% DAB. Secondary antibody only control: uses 1% BSA instead of primary antibody
-
Western Blot
Positive WB detected in:PC-3 cell lysate
All lanes: DNALI1 antibody at 1:1000
Secondary
Goat polyclonal to rabbit IgG at 1/50000 dilution
Predicted band size: 30, 16 kDa
Observed band size: 30 kDa
-
-
其他:
產品詳情
-
產品名稱:Rabbit anti-Homo sapiens (Human) DNALI1 Polyclonal antibody
-
Uniprot No.:
-
基因名:DNALI1
-
別名:axonemal antibody; Axonemal dynein light chain (hp28) antibody; Axonemal dynein light chain antibody; Axonemal dynein light intermediate polypeptide 1 antibody; dJ423B22.5 antibody; DNALI 1 antibody; DNALI1 antibody; Dynein axonemal light intermediate chain 1 antibody; Dynein axonemal light intermediate polypeptide 1 antibody; hp28 antibody; IDLC_HUMAN antibody; Inner dynein arm homolog of clamydomonas antibody; Inner dynein arm light chain antibody; Inner dynein arm light chain axonemal antibody; P28 antibody
-
宿主:Rabbit
-
反應種屬:Human, Mouse, Rat
-
免疫原:Synthesized peptide derived from human DNALI1
-
免疫原種屬:Homo sapiens (Human)
-
標記方式:Non-conjugated
本頁面中的產品,DNALI1 Antibody (CSB-PA007047LA01HU),的標記方式是Non-conjugated。對于DNALI1 Antibody,我們還提供其他標記。見下表:
-
克隆類型:Polyclonal
-
抗體亞型:IgG
-
純化方式:Antigen Affinity Purified
-
濃度:It differs from different batches. Please contact us to confirm it.
-
保存緩沖液:Liquid in PBS containing 50% glycerol, 0.5% BSA and 0.02% sodium azide
-
產品提供形式:Liquid
-
應用范圍:ELISA, WB
-
推薦稀釋比:
Application Recommended Dilution WB 1:500-1:2000 -
Protocols:
-
儲存條件:Upon receipt, store at -20°C or -80°C. Avoid repeated freeze.
-
貨期:Basically, we can dispatch the products out in 1-3 working days after receiving your orders. Delivery time maybe differs from different purchasing way or location, please kindly consult your local distributors for specific delivery time.
-
用途:For Research Use Only. Not for use in diagnostic or therapeutic procedures.
相關產品
靶點詳情
-
功能:May play a dynamic role in flagellar motility.
-
基因功能參考文獻:
- Data indicate a putative toxofilin-binding protein dynein (DNALI1) by yeast two-hybrid assay. PMID: 29528377
- ADAP coprecipitates with dynein from activated Jurkat cells, and loss of ADAP prevents microtubule-organizing center (MTOC) translocation and the specific recruitment of dynein to the synapse. PMID: 16990435
-
亞細胞定位:Cell projection, cilium. Cell projection, cilium, flagellum. Dynein axonemal particle.
-
蛋白家族:Inner dynein arm light chain family
-
組織特異性:Expressed in many tissues. A smaller 0.9 kb and a larger 2.5 kb transcripts were detected at the highest level in the testis, at medium levels in the prostate, heart, liver, lung and pancreas, at low levels in the ovary, skeletal muscle and small intestin
-
數據庫鏈接:
Most popular with customers
-
-
YWHAB Recombinant Monoclonal Antibody
Applications: ELISA, WB, IHC, IF, FC
Species Reactivity: Human, Mouse, Rat
-
Phospho-YAP1 (S127) Recombinant Monoclonal Antibody
Applications: ELISA, WB, IHC
Species Reactivity: Human
-
-
-
-
-















