DNAJB4 Antibody
-
中文名稱:DNAJB4兔多克隆抗體
-
貨號:CSB-PA727123
-
規格:¥1100
-
圖片:
-
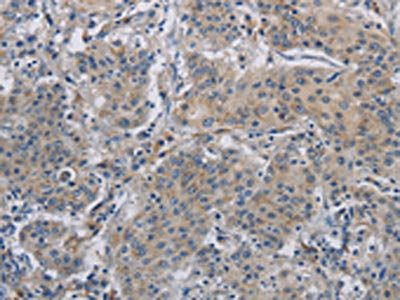
The image on the left is immunohistochemistry of paraffin-embedded Human gastric cancer tissue using CSB-PA727123(DNAJB4 Antibody) at dilution 1/50, on the right is treated with fusion protein. (Original magnification: ×200)
-
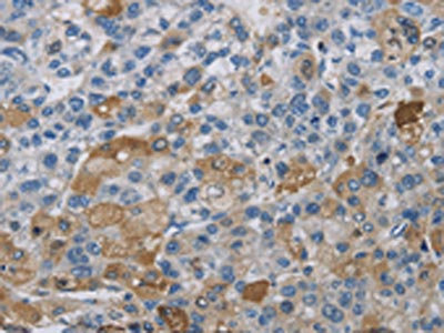
The image on the left is immunohistochemistry of paraffin-embedded Human liver cancer tissue using CSB-PA727123(DNAJB4 Antibody) at dilution 1/50, on the right is treated with fusion protein. (Original magnification: ×200)
-
Gel: 8%SDS-PAGE, Lysate: 40 μg, Lane 1-5: Human fetal liver tissue, mouse skeletal muscle tissue, Mouse heart tissue, Hela cells, Jurkat cells, Primary antibody: CSB-PA727123(DNAJB4 Antibody) at dilution 1/200, Secondary antibody: Goat anti rabbit IgG at 1/8000 dilution, Exposure time: 15 seconds
-
-
其他:
產品詳情
-
Uniprot No.:
-
基因名:DNAJB4
-
別名:DjB4 antibody; DnaJ (Hsp40) homolog subfamily B member 4 antibody; DnaJ homolog subfamily B member 4 antibody; DnaJ like heat shock protein 40 antibody; DNAJB 4 antibody; DNAJB4 antibody; DNAJW antibody; DNJB4_HUMAN antibody; Heat shock 40 kDa protein 1 homolog antibody; Heat shock protein 40 homolog antibody; HLJ 1 antibody; HLJ1 antibody; HSP40 homolog antibody; Human liver DnaJ-like protein antibody
-
宿主:Rabbit
-
反應種屬:Human,Mouse
-
免疫原:Fusion protein of Human DNAJB4
-
免疫原種屬:Homo sapiens (Human)
-
標記方式:Non-conjugated
-
抗體亞型:IgG
-
純化方式:Antigen affinity purification
-
濃度:It differs from different batches. Please contact us to confirm it.
-
保存緩沖液:-20°C, pH7.4 PBS, 0.05% NaN3, 40% Glycerol
-
產品提供形式:Liquid
-
應用范圍:ELISA,WB,IHC
-
推薦稀釋比:
Application Recommended Dilution ELISA 1:2000-1:5000 WB 1:500-1:2000 IHC 1:25-1:100 -
Protocols:
-
儲存條件:Upon receipt, store at -20°C or -80°C. Avoid repeated freeze.
-
貨期:Basically, we can dispatch the products out in 1-3 working days after receiving your orders. Delivery time maybe differs from different purchasing way or location, please kindly consult your local distributors for specific delivery time.
-
用途:For Research Use Only. Not for use in diagnostic or therapeutic procedures.
相關產品
靶點詳情
-
功能:Probable chaperone. Stimulates ATP hydrolysis and the folding of unfolded proteins mediated by HSPA1A/B (in vitro).
-
基因功能參考文獻:
- These new observations support the idea that HLJ1 is a tumor suppressor candidate and potential biomarker for breast cancer PMID: 28481734
- HLJ1 is an endogenous Src inhibitor that can suppress cancer metastasis through complex interacting mechanisms. PMID: 27065329
- HLJ1 is a strong tumor suppressor for colorectal carcinoma PMID: 24696714
- Low expression of DNAJB4 is associated with gastric carcinomas. PMID: 24293545
- Silencing of HLJ1 partially reverses the inhibition of cancer-cell invasion by andrographolide. PMID: 23306212
- HBV could promote HLJ1 expression by up-regulating the transcription factor YY1. PMID: 21345358
- acidic stress increases the association between HLJ1 and beta-actin to modulate migration of human lung cancer cells PMID: 20615403
- HLJ1 switches the role of NPM1, which can act as tumor suppressor or oncogene, by modulating the oligomerization of NPM1 via HLJ1-NPM1 heterodimer formation and recruiting AP-2alpha to the MMP-2 promoter. PMID: 20145123
- Results indicate that DjA1 and DjB4 of subfamilies A and B of human Hsp40 have different quaternary structures and chaperone functions. PMID: 15661747
- The increase in HLJ1 and E-cadherin expression, as well as the suppression of invasion ability, can be reversed specifically by HLJ1 siRNA. PMID: 15782117
- HLJ1 is a novel tumor suppressor in NSCLC, and high HLJ1 expression is associated with reduced cancer recurrence and prolonged survival of NSCLC patients. PMID: 16788156
- Results show that curcumin induces HLJ1, through activation of the JNK/JunD pathway, and inhibits lung cancer cell invasion and metastasis by modulating E-cadherin expression. PMID: 18794131
顯示更多
收起更多
-
亞細胞定位:Cytoplasm. Cell membrane. Note=Cytoplasmic according to PubMed:18837411 and membrane-associated according to PubMed:16542645.
-
組織特異性:Expressed in heart, pancreas and skeletal muscle, and to a lesser extent in brain, placenta and liver.
-
數據庫鏈接:
Most popular with customers
-
-
YWHAB Recombinant Monoclonal Antibody
Applications: ELISA, WB, IHC, IF, FC
Species Reactivity: Human, Mouse, Rat
-
-
-
-
-
-















