DNAH5 Antibody
-
中文名稱:DNAH5兔多克隆抗體
-
貨號:CSB-PA819476LA01HU
-
規格:¥440
-
圖片:
-
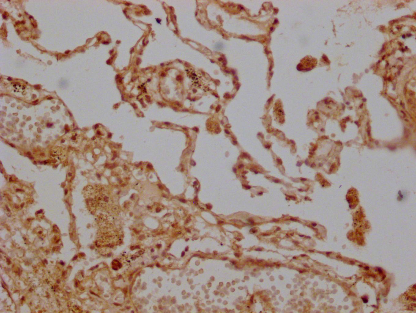
IHC image of CSB-PA819476LA01HU diluted at 1:200 and staining in paraffin-embedded human lung tissue performed on a Leica BondTM system. After dewaxing and hydration, antigen retrieval was mediated by high pressure in a citrate buffer (pH 6.0). Section was blocked with 10% normal goat serum 30min at RT. Then primary antibody (1% BSA) was incubated at 4°C overnight. The primary is detected by a Goat anti-rabbit polymer IgG labeled by HRP and visualized using 0.05% DAB.
-
Immunofluorescence staining of U-251 cells with CSB-PA819476LA01HU at 1:100, counter-stained with DAPI.The cells were fixed in 4% formaldehyde, permeated by 0.2% TritonX-100, and blocked in 10% normal Goat Serum. The cells were then incubated with the antibody overnight at 4°C. Nuclear DNA was labeled in blue with DAPI. The secondary antibody was Alexa Fluor 488-congugated AffiniPure Goat Anti-Rabbit IgG(H+L)
-
-
其他:
產品詳情
-
產品描述:
The product is a polyclonal antibody against the DNAH5 protein. The recombinant DNAH5 protein (2364-2560aa) is used to immunize the rabbit to generate the anti-DNAH5 antibody. This DNAH5 antibody exists as an unconjugated IgG isoform. It has undergone protein G purification and reaches over 95% in purity. Multiple and rigorous validations performed in this antibody show that it can recognize human DNAH5 protein in ELISA, IHC, and IF.
Its target protein DNAH5 is a component of the dynein motor complex, which is involved in the movement of cilia and flagella. The main function of DNAH5 is to generate the force necessary for the movement of cilia and flagella. Mutations in DNAH5 can lead to ciliopathies, which are genetic disorders characterized by defects in cilia and flagella function.
-
產品名稱:Rabbit anti-Homo sapiens (Human) DNAH5 Polyclonal antibody
-
Uniprot No.:
-
基因名:DNAH5
-
別名:axonemal antibody; Axonemal beta dynein heavy chain 5 antibody; Ciliary dynein heavy chain 5 antibody; DNAH 5 antibody; Dnah5 antibody; DNAHC5 antibody; DYH5_HUMAN antibody; Dynein heavy chain 5 antibody; Dynein heavy chain 5; axonemal antibody; HL1 antibody; KIAA1603 antibody
-
宿主:Rabbit
-
反應種屬:Human
-
免疫原:Recombinant Human Dynein heavy chain 5, axonemal protein (2364-2560AA)
-
免疫原種屬:Homo sapiens (Human)
-
標記方式:Non-conjugated
本頁面中的產品,DNAH5 Antibody (CSB-PA819476LA01HU),的標記方式是Non-conjugated。對于DNAH5 Antibody,我們還提供其他標記。見下表:
-
克隆類型:Polyclonal
-
抗體亞型:IgG
-
純化方式:>95%, Protein G purified
-
濃度:It differs from different batches. Please contact us to confirm it.
-
保存緩沖液:Preservative: 0.03% Proclin 300
Constituents: 50% Glycerol, 0.01M PBS, pH 7.4 -
產品提供形式:Liquid
-
應用范圍:ELISA, IHC, IF
-
推薦稀釋比:
Application Recommended Dilution IHC 1:20-1:200 IF 1:50-1:200 -
Protocols:
-
儲存條件:Upon receipt, store at -20°C or -80°C. Avoid repeated freeze.
-
貨期:Basically, we can dispatch the products out in 1-3 working days after receiving your orders. Delivery time maybe differs from different purchasing way or location, please kindly consult your local distributors for specific delivery time.
-
用途:For Research Use Only. Not for use in diagnostic or therapeutic procedures.
相關產品
靶點詳情
-
功能:Force generating protein of respiratory cilia. Produces force towards the minus ends of microtubules. Dynein has ATPase activity; the force-producing power stroke is thought to occur on release of ADP. Required for structural and functional integrity of the cilia of ependymal cells lining the brain ventricles.
-
基因功能參考文獻:
- A novel mutation causing primary ciliary dyskinesia was found in Japanese patients. PMID: 28939216
- to the best of our knowledge, the first reported case of PCD caused by the DNAH5 mutation in a Japanese patient. PMID: 27779714
- These findings demonstrated that new DNAH5 mutations could be used for molecular diagnosis of Kartagener syndrome, providing families with genetic counseling and prenatal diagnosis. PMID: 27988889
- The mutation of p.Glu2610Gly in DNAH5 is novel. PMID: 24912412
- In chronic obstructive pulmonary disease, total lung capacity was associated with a SNP in DNAH5. PMID: 25134640
- A novel mutation in DNAH5 (c. 8030G>A) is identified in a Han Chinese family with chronic rhinosinusitis and primary ciliary dyskinesia. PMID: 24150548
- DNAH5 (rs2277046) is associated with single nucleotide polymorphisms in Korean patients, either non-segmental or segmental type. PMID: 23678272
- DNAH5 is the cause of primary ciliary dyskinesia in two siblings in a nuclear family as identified by whole genome sequencing. PMID: 20220176
- immunofluorescence studies of respiratory epithelial cells with secondary ciliary dyskinesia identified in vitro and in vivo normal axonemal DNAH5 localization PMID: 16492982
- DNAH5 is frequently mutated in patients with primary ciliary dyskinesia exhibiting outer dynein arm defects and mutations cluster in five exons. PMID: 16627867
- Male carriers of the mutations always exhibit asthenozoospermia, whereas female carriers manifest no alterations in either fertility or pulmonary clearance. PMID: 18492703
- Two dynein genes, encoding ODA intermediate chain (DNAI1) and heavy chain (DNAH5), have been seen to be mutated in approximately 30-38% of the families PMID: 19300264
- Although genetic alterations remain to be identified in most patients, DNAH5 is to date the main PCD gene. PMID: 19357118
- Two "major" genes, DNAI1 and DNAH5, underlie PCD in nearly half of the patients with ODA defects PMID: 19410201
顯示更多
收起更多
-
相關疾病:Ciliary dyskinesia, primary, 3 (CILD3)
-
亞細胞定位:Cytoplasm, cytoskeleton, cilium axoneme.
-
蛋白家族:Dynein heavy chain family
-
組織特異性:Expressed in airway epithelial cells (at protein level). Not detected in spermatozoa (at protein level).
-
數據庫鏈接:
Most popular with customers
-
-
YWHAB Recombinant Monoclonal Antibody
Applications: ELISA, WB, IHC, IF, FC
Species Reactivity: Human, Mouse, Rat
-
Phospho-YAP1 (S127) Recombinant Monoclonal Antibody
Applications: ELISA, WB, IHC
Species Reactivity: Human
-
-
-
-
-















