DMGDH Antibody
-
中文名稱:DMGDH兔多克隆抗體
-
貨號:CSB-PA883415LA01HU
-
規格:¥440
-
圖片:
-
Western Blot
Positive WB detected in: Mouse liver tissue, Mouse kidney tissue
All lanes: DMGDH antibody at 6.7μg/ml
Secondary
Goat polyclonal to rabbit IgG at 1/50000 dilution
Predicted band size: 97, 46 kDa
Observed band size: 97 kDa -
Immunofluorescence staining of HepG2 cells with CSB-PA883415LA01HU at 1:100, counter-stained with DAPI. The cells were fixed in 4% formaldehyde, permeabilized using 0.2% Triton X-100 and blocked in 10% normal Goat Serum. The cells were then incubated with the antibody overnight at 4°C. The secondary antibody was Alexa Fluor 488-congugated AffiniPure Goat Anti-Rabbit IgG(H+L).
-
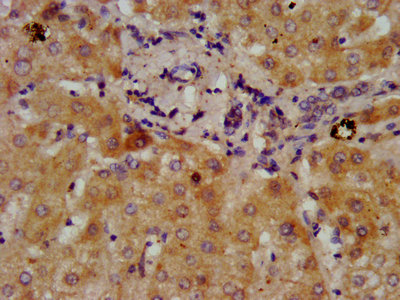
IHC image of CSB-PA883415LA01HU diluted at 1:300 and staining in paraffin-embedded human liver tissue performed on a Leica BondTM system. After dewaxing and hydration, antigen retrieval was mediated by high pressure in a citrate buffer (pH 6.0). Section was blocked with 10% normal goat serum 30min at RT. Then primary antibody (1% BSA) was incubated at 4°C overnight. The primary is detected by a biotinylated secondary antibody and visualized using an HRP conjugated SP system.
-
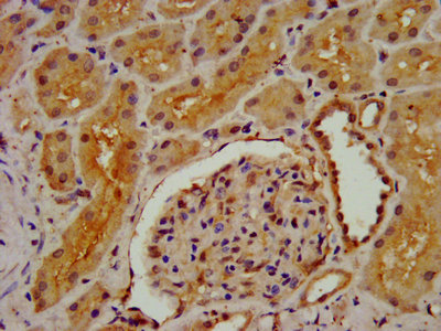
IHC image of CSB-PA883415LA01HU diluted at 1:300 and staining in paraffin-embedded human kidney tissue performed on a Leica BondTM system. After dewaxing and hydration, antigen retrieval was mediated by high pressure in a citrate buffer (pH 6.0). Section was blocked with 10% normal goat serum 30min at RT. Then primary antibody (1% BSA) was incubated at 4°C overnight. The primary is detected by a biotinylated secondary antibody and visualized using an HRP conjugated SP system.
-
-
其他:
產品詳情
-
產品名稱:Rabbit anti-Homo sapiens (Human) DMGDH Polyclonal antibody
-
Uniprot No.:
-
基因名:DMGDH
-
別名:Dimethylglycine dehydrogenase antibody; Dimethylglycine dehydrogenase; mitochondrial antibody; Dmgdh antibody; M2GD_HUMAN antibody; ME2GLYDH antibody; mitochondrial antibody
-
宿主:Rabbit
-
反應種屬:Human, Mouse
-
免疫原:Recombinant Human Dimethylglycine dehydrogenase, mitochondrial protein (429-524AA)
-
免疫原種屬:Homo sapiens (Human)
-
標記方式:Non-conjugated
本頁面中的產品,DMGDH Antibody (CSB-PA883415LA01HU),的標記方式是Non-conjugated。對于DMGDH Antibody,我們還提供其他標記。見下表:
-
克隆類型:Polyclonal
-
抗體亞型:IgG
-
純化方式:>95%, Protein G purified
-
濃度:It differs from different batches. Please contact us to confirm it.
-
保存緩沖液:Preservative: 0.03% Proclin 300
Constituents: 50% Glycerol, 0.01M PBS, pH 7.4 -
產品提供形式:Liquid
-
應用范圍:ELISA, WB, IHC, IF
-
推薦稀釋比:
Application Recommended Dilution WB 1:500-1:5000 IHC 1:200-1:500 IF 1:50-1:200 -
Protocols:
-
儲存條件:Upon receipt, store at -20°C or -80°C. Avoid repeated freeze.
-
貨期:Basically, we can dispatch the products out in 1-3 working days after receiving your orders. Delivery time maybe differs from different purchasing way or location, please kindly consult your local distributors for specific delivery time.
-
用途:For Research Use Only. Not for use in diagnostic or therapeutic procedures.
相關產品
靶點詳情
-
功能:Catalyzes the demethylation of N,N-dimethylglycine to sarcosine. Also has activity with sarcosine in vitro.
-
基因功能參考文獻:
- In nonalcoholic fatty liver disease patient, the missense variant p.Ser646Pro (rs1805074) in DMGDH gene was significantly associated with disease severity and circulating levels of dimethylglycine. PMID: 27614103
- The structure-based analysis provided new insights into the kinetic properties of dimethylglycine dehydrogenase in particular with respect to oxygen reactivity. PMID: 27486859
- In agreement with previous studies, we show that the genetic variant rs921943 in DMGDH is significantly associated with selenium status in United Kingdom pregnant women. PMID: 26675765
- Genetic variation of DMGDH was associated with higher plasma insulin, increased insulin resistance and increased risk of incident diabetes. PMID: 25795213
- analysis of dimethylglycine dehydrogenase deficiency associated with pathogenic variant H109R PMID: 18937046
顯示更多
收起更多
-
相關疾?。?/div>DMGDH deficiency (DMGDHD)亞細胞定位:Mitochondrion.蛋白家族:GcvT family數據庫鏈接:
Most popular with customers
-
-
YWHAB Recombinant Monoclonal Antibody
Applications: ELISA, WB, IHC, IF, FC
Species Reactivity: Human, Mouse, Rat
-
Phospho-YAP1 (S127) Recombinant Monoclonal Antibody
Applications: ELISA, WB, IHC
Species Reactivity: Human
-
-
-
-
-















