DLG4 Antibody
-
中文名稱:DLG4兔多克隆抗體
-
貨號:CSB-PA006938LA01HU
-
規格:¥440
-
圖片:
-
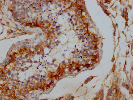
IHC image of CSB-PA006938LA01HU diluted at 1:100 and staining in paraffin-embedded human testis tissue performed on a Leica BondTM system. After dewaxing and hydration, antigen retrieval was mediated by high pressure in a citrate buffer (pH 6.0). Section was blocked with 10% normal goat serum 30min at RT. Then primary antibody (1% BSA) was incubated at 4°C overnight. The primary is detected by a Goat anti-rabbit IgG labeled by HRP and visualized using 0.05% DAB.
-
-
其他:
產品詳情
-
產品名稱:Rabbit anti-Homo sapiens (Human) DLG4 Polyclonal antibody
-
Uniprot No.:
-
基因名:
-
別名:Discs large homolog 4 antibody; Disks large homolog 4 antibody; DLG 4 antibody; Dlg4 antibody; DLG4_HUMAN antibody; FLJ97752 antibody; FLJ98574 antibody; Human post synaptic density protein 95 antibody; Post synaptic density protein 95 antibody; Postsynaptic density protein 95 antibody; PSD 95 antibody; PSD-95 antibody; PSD95 antibody; SAP 90 antibody; SAP-90 antibody; SAP90 antibody; Synapse associated protein 90 antibody; Synapse-associated protein 90 antibody; Tax interaction protein 15 antibody
-
宿主:Rabbit
-
反應種屬:Human
-
免疫原:Recombinant Human Disks large homolog 4 protein (551-724AA)
-
免疫原種屬:Homo sapiens (Human)
-
標記方式:Non-conjugated
本頁面中的產品,DLG4 Antibody (CSB-PA006938LA01HU),的標記方式是Non-conjugated。對于DLG4 Antibody,我們還提供其他標記。見下表:
-
克隆類型:Polyclonal
-
抗體亞型:IgG
-
純化方式:>95%, Antigen Affinity purified & Affinity purified
-
濃度:It differs from different batches. Please contact us to confirm it.
-
保存緩沖液:Preservative: 0.03% Proclin 300
Constituents: 50% Glycerol, 0.01M PBS, pH 7.4 -
產品提供形式:Liquid
-
應用范圍:ELISA, IHC
-
推薦稀釋比:
Application Recommended Dilution IHC 1:20-1:200 -
Protocols:
-
儲存條件:Upon receipt, store at -20°C or -80°C. Avoid repeated freeze.
-
貨期:Basically, we can dispatch the products out in 1-3 working days after receiving your orders. Delivery time maybe differs from different purchasing way or location, please kindly consult your local distributors for specific delivery time.
-
用途:For Research Use Only. Not for use in diagnostic or therapeutic procedures.
相關產品
靶點詳情
-
功能:Postsynaptic scaffolding protein that plays a critical role in synaptogenesis and synaptic plasticity by providing a platform for the postsynaptic clustering of crucial synaptic proteins. Interacts with the cytoplasmic tail of NMDA receptor subunits and shaker-type potassium channels. Required for synaptic plasticity associated with NMDA receptor signaling. Overexpression or depletion of DLG4 changes the ratio of excitatory to inhibitory synapses in hippocampal neurons. May reduce the amplitude of ASIC3 acid-evoked currents by retaining the channel intracellularly. May regulate the intracellular trafficking of ADR1B. Also regulates AMPA-type glutamate receptor (AMPAR) immobilization at postsynaptic density keeping the channels in an activated state in the presence of glutamate and preventing synaptic depression.
-
基因功能參考文獻:
- DNA methylation of DLG4 and of human hippocampus and prefrontal cortex in major depression is unchanged in comparison to healthy individuals. PMID: 28645745
- results suggest that rare missense mutations in the candidate PSD genes may increase susceptibility to SZ and/or ASD. These findings may strengthen the theory that rare, non-synonymous variants confer substantial genetic risks for these disorders PMID: 27271353
- in postsynaptic densities, PSD95 palmitoylation, conformation, and its interactions are dynamic when associated with AMPARs and more stable when associated with NMDARs PMID: 27956638
- a dual role for PSD-95 in stabilizing synaptic NMDARs by binding directly to GluN2B but also by promoting synaptic exclusion and degradation of the negative regulator STEP61. PMID: 27457929
- the authors integrate molecular and imaging data from animal models and preterm infants, and find that microglial expression of DLG4 plays a role. PMID: 28874660
- Phosphorylation at Y397 induced a significant increase in affinity for stargazing. The strategy presented here to generate site-specifically phosphorylated PDZ domains provides a detailed understanding of the role of phosphorylation in the regulation of PSD95 interactions. PMID: 28692247
- This study demonstrated that a significant decrease in the protein level of PSD-95 in major depression disorder. PMID: 27661418
- These results indicate that PKC promotes synaptogenesis by activating PSD-95 phosphorylation directly through JNK1 and calcium/calmodulin-dependent kinase II and also by inducing expression of PSD-95 and synaptophysin. PMID: 27330081
- The differences in cortical NMDAR expression and post-synaptic density protein 95 are present in psychiatric disorders and suicide completion and may contribute to different responses to ketamine. PMID: 26013316
- Mutation C>T at the rs13331 in the PSD95 gene is strikingly associated with an increased risk of autism spectrum disorders. PMID: 27072977
- Data demonstrate a role for SNAP-25 in controlling PSD-95 clustering and open the possibility that genetic reductions of the protein levels may contribute to the pathology through an effect on postsynaptic function and plasticity. PMID: 25678324
- Data indicate the very high affinities of the trimeric ligands to postsynaptic density protein 95 (PSD-95) PDZ domains. PMID: 25658767
- In this review, we focus on palmitoylation of PSD-95, which is a major postsynaptic scaffolding protein and makes discrete postsynaptic nanodomains in a palmitoylation-dependent manner and discuss a determinant role of local palmitoylation cycles PMID: 25849917
- An association was found between reduced PSD95 in the prefrontal cortex and cognitive impairment in patients with either dementia with Lewy bodies or Parkinson's disease dementia. PMID: 25104558
- Docosahexaenoic acid-containing phosphatidylcholines and PSD-95 decrease after loss of synaptophysin and before neuronal loss in patients with Alzheimer's disease. PMID: 25410733
- The postsynaptic membrane protein PSD95 was increased in schizophrenia in CA3 tissue, but not in CA1 tissue. PMID: 25585032
- The crystal structures of the Dlg4 GK domain in complex with two phosphor-Lgl2 peptides reveal the molecular mechanism underlying the specific and phosphorylation-dependent Dlg/Lgl complex formation. PMID: 24513855
- PSD-95 mRNA G-rich region folds into alternate G quadruplex conformations that coexist in equilibrium and miR-125a forms a stable complex with PSD-95 mRNA. PMID: 25406362
- Polymorphisms of DRD1, DLG4 and HOMER1 are associated with opiate abuse. PMID: 23044706
- The PDZ1 domain of PSD-95 has a shallow binding pocket that accommodates a peptide ligand involving far fewer interactions and a micromolar affinity PMID: 23394112
- No association was found between the seven single nucleotide polymorphisms in DLG4 and schizophrenia. PMID: 23921260
- A putative role for DLG4 in schizophrenia pathogenesis, evidenced by haplotype association, has been described. PMID: 23936182
- interactions of G protein-coupled receptors with postsynaptic density protein 95 PMID: 23691031
- Fyn mediates postsynaptic density protein- 95Y523 phosphorylation, which may be responsible for the excitotoxic signal cascades and neuronal apoptosis in brain ischemia and amyloid-beta peptide neurotoxicity. PMID: 22709448
- Calcyon forms a novel ternary complex with dopamine D1 receptor through PSD-95 protein and plays a role in dopamine receptor internalization PMID: 22843680
- a role of PAR-1 in spine morphogenesis in hippocampal neurons through phosphorylating PSD-95. PMID: 22807451
- study adds new components to the multi-dentate membrane targeting mechanism and highlights the role of N- and C-terminal PDZ extensions of PSD-95/ZO-1 in the regulation of syntenin-1 plasma membrane localization PMID: 22673509
- Phosphorylation of a PDZ domain extension modulates binding affinity and interdomain interactions in postsynaptic density-95 (PSD-95) protein, a membrane-associated guanylate kinase (MAGUK). PMID: 21965656
- tetrad complex shows the close association of the Kir2.1 cytoplasmic domains and the influence of PSD-95 mediated self-assembly on the clustering of these channels PMID: 21756874
- In developing visual cortex TrkB and protein kinase M zeta, two critical regulators of synaptic plasticity, facilitate PSD-95 targeting to synapses PMID: 21849550
- Genetic and functional analysis of the DLG4 gene encoding the post-synaptic density protein 95 in schizophrenia PMID: 21151988
- Our current findings, suggesting decreased levels of PSD95, NR2A, and LRP-1, with elevated levels of caspase-3 and Bcl2 proteins, may reflect or contribute to neuronal and synaptic loss in the amnestic mild cognitive impairment hippocampus PMID: 19774677
- PSD-95 has a role in regulating the functional activity and intracellular trafficking of 5-HT2A receptors and possibly other GPCRs PMID: 12682061
- A single nucleotide polymorphism was identified as not significantly associated with schizophrenia. PMID: 12950712
- PSD-95 and Lin-7b interact with acid-sensing ion channel-3 and have opposite effects on H+- gated current PMID: 15317815
- ApoEr2 can form a multiprotein complex with NMDA receptor subunits and PSD95 PMID: 16332682
- it is unlikely that the PSD-95 polymorphisms investigated play a substantial role in conferring susceptibility to schizophrenia in the Chinese population PMID: 17093888
- GABARAP and DLG4 genes are involved in the etiology of nicotine dependence in European-American smokers. PMID: 17164261
- thermodynamic parameters associated with the binding of several series of linear peptides to the third PDZ domain of PSD-9 have been measured using isothermal titration calorimetry PMID: 17474715
- The results clearly indicate that D1R-modulated NR1a/NR2B receptor function depends on PSD-95 and is subjected to the regulation of PKA and PKC. PMID: 17506933
- PSD-95, the Kv1.3 potassium channel, and insulin receptor serine kinase co-localize to regulate membrane excitability and synaptic transmission at critical locations in the olfactory bulb. PMID: 17854350
- PSD-95 levels increased postnatally to reach a stable plateau by early childhood with a slight reduction in late adolescence and early adulthood PMID: 17916412
- These results suggest that NR2A and NR2B may associate with PSD-95 but with different affinities. This may be important in the determination of the lateral mobility of NMDA receptor subtypes in post-synaptic membranes. PMID: 18308477
- Increase in postsynaptic density protein PSD-95 expression positively correlates with beta amyloid and phosphorylated Tau proteins in Alzheimer's disease cases. PMID: 18424056
- This study found that the PSD-95 protein level significationalty elevated in pateint with deression. PMID: 18570704
- The DLG4 protein enhances the resensitization of the D1 DA receptor by accelerating D1 receptor recycling to the cell membrane. PMID: 19274064
- These data suggest that NMDA receptor complex formation, localization, and downstream signaling may be abnormal in schizophrenia as PSD95, SynGAP and MUPP1 expression is altered. PMID: 19483657
- An altered association between membrane-associated guanylate kinases (such as PSD-95) and NMDA receptors in mutant huntingtin-expressing cells contributes to increased susceptibility to excitotoxicity. PMID: 19726651
- validated occurrence of an unusual TG 3' splice site in intron 5 PMID: 17672918
顯示更多
收起更多
-
亞細胞定位:Cell membrane; Lipid-anchor; Cytoplasmic side. Cell junction, synapse, postsynaptic density. Cell junction, synapse. Cytoplasm. Cell projection, axon. Cell projection, dendritic spine. Cell projection, dendrite. Cell junction, synapse, presynapse.
-
蛋白家族:MAGUK family
-
組織特異性:Brain.
-
數據庫鏈接:
Most popular with customers
-
YWHAB Recombinant Monoclonal Antibody
Applications: ELISA, WB, IHC, IF, FC
Species Reactivity: Human, Mouse, Rat
-
Phospho-YAP1 (S127) Recombinant Monoclonal Antibody
Applications: ELISA, WB, IHC
Species Reactivity: Human
-
-
-
-
-
-
VDAC1 Recombinant Monoclonal Antibody
Applications: ELISA, WB, IHC
Species Reactivity: Human, Mouse, Rat















