DIRAS3 Antibody
-
中文名稱:DIRAS3兔多克隆抗體
-
貨號:CSB-PA112219
-
規格:¥1100
-
圖片:
-
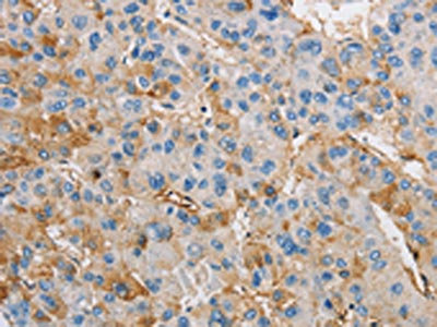
The image on the left is immunohistochemistry of paraffin-embedded Human liver cancer tissue using CSB-PA112219(DIRAS3 Antibody) at dilution 1/25, on the right is treated with fusion protein. (Original magnification: ×200)
-
The image on the left is immunohistochemistry of paraffin-embedded Human thyroid cancer tissue using CSB-PA112219(DIRAS3 Antibody) at dilution 1/25, on the right is treated with fusion protein. (Original magnification: ×200)
-
-
其他:
產品詳情
-
Uniprot No.:
-
基因名:DIRAS3
-
別名:DIRA3 antibody; DIRA3_HUMAN antibody; DIRAS family GTP binding RAS like 3 antibody; DIRAS family GTPase 3 antibody; DIRAS family; GTP-binding RAS-like protein 3 antibody; DIRAS3 antibody; Distinct subgroup of the Ras family member 3 antibody; GTP binding protein Di Ras3 antibody; GTP-binding protein Di-Ras3 antibody; NOEY2 antibody; Ras homolog gene family member I antibody; Rho related GTP binding protein RhoI antibody; Rho-related GTP-binding protein RhoI antibody; RHOI antibody
-
宿主:Rabbit
-
反應種屬:Human
-
免疫原:Fusion protein of Human DIRAS3
-
免疫原種屬:Homo sapiens (Human)
-
標記方式:Non-conjugated
-
抗體亞型:IgG
-
純化方式:Antigen affinity purification
-
濃度:It differs from different batches. Please contact us to confirm it.
-
保存緩沖液:-20°C, pH7.4 PBS, 0.05% NaN3, 40% Glycerol
-
產品提供形式:Liquid
-
應用范圍:ELISA,IHC
-
推薦稀釋比:
Application Recommended Dilution ELISA 1:1000-1:2000 IHC 1:15-1:50 -
Protocols:
-
儲存條件:Upon receipt, store at -20°C or -80°C. Avoid repeated freeze.
-
貨期:Basically, we can dispatch the products out in 1-3 working days after receiving your orders. Delivery time maybe differs from different purchasing way or location, please kindly consult your local distributors for specific delivery time.
-
用途:For Research Use Only. Not for use in diagnostic or therapeutic procedures.
相關產品
靶點詳情
-
基因功能參考文獻:
- Low DIRAS3 expression is associated with metastasis in gastric cancer. PMID: 30043279
- lncRNA GAS5 functions as a competing endogenous RNA for miR-221 to suppress cell growth and EMT in osteosarcoma by regulating the miR-221/ARHI pathway. PMID: 28519068
- DiRas3 binds to KSR1 independently of its interaction with activated Ras and RAF. PMID: 27368419
- We demonstrate that DIRAS3 knock-down (KD) in adipose stromal/progenitor cells (ASCs) induces activation of Akt-mTOR signaling and proliferation arrest. DIRAS3 KD ASCs lose the potential to form colonies and are negative for Ki-67. Moreover, silencing of DIRAS3 results in a premature senescence phenotype. PMID: 28316325
- ARHI-mediated up-regulation of glycolysis and glutaminolysis was found to be autophagy-dependent and inhibition of these metabolic pathways resulted in decreased cell viability. PMID: 27784287
- The overexpression of ARHI promotes colon cancer SW480 cell apoptosis by inhibiting the level of Akt. PMID: 27774944
- Transcriptional, but not post-transcriptional, silencing of GNG12-AS1 causes concomitant upregulation of DIRAS3, indicating a function in transcriptional interference. PMID: 26832224
- ARHI mRNA and protein expression is markedly decreased in osteosarcoma MG-63 cells lines. Overexpression of ARHI inhibits cell viability and proliferation. PMID: 26165148
- ARHI-mediated autophagy-associated cell death enhances chemosensitivity to cisplatin in ovarian cancer cell lines and xenografts. PMID: 26247722
- EZH2-''induced H3K27me3 is associated with epigenetic repression of the ARHI tumor-suppressor gene in epithelial ovarian cancer PMID: 25077680
- ARHI competes with RanGTPase and interacts with importin beta via basic-acidic patch interaction, which leads to inhibition of STAT3 translocation. PMID: 25499977
- Letter: ARHI suppresses pancreatic cancer by regulating ERK 1/2 signaling. PMID: 25675421
- JMJD2A-dependent silencing of Sp1 in advanced breast cancer promotes metastasis by downregulation of DIRAS3. PMID: 25193278
- suggest that DIRAS3 not only regulates the autophagosome initiation complex, but induces autophagy in dormant, nutrient-deprived ovarian cancer cells that remain after conventional chemotherapy, facilitating their survival PMID: 24879154
- ARHI is required for autophagy-meditated cancer cell arrest and ARHI inhibits signaling through PI3K/AKT and Ras/MAP by enhancing internalization and degradation of the epidermal growth factor receptor. PMID: 24769729
- The silence of ARHI expression in vitro seems to accelerate the malignant transformation of healthy ovarian cells by restraining apoptosis and autophagy. PMID: 24476894
- ARHI acts as a tumor suppressor gene in MDA-MB-231 cells and, although trichostatin A+5-aza-2'-deoxycytidine can block the cells at different cell cycle phase, the antitumor effect is ARHI-dependent. PMID: 24676336
- Loss of ARHI expression is associated with glioma. PMID: 24458808
- ARHI acts as a tumor suppressor by downregulating the NFkappaB signaling pathway, which results in the inhibition of cell proliferation, apoptosis and the cell cycle in the pancreatic tumor PANC-1 cell line PMID: 23447002
- overexpression of ARHI gene might be associated with the inhibition of lung cancer cell growth, proliferation and invasion, and the promotion of apoptosis. PMID: 23247805
- Results indicate that the aplysia ras homolog member I (ARHI) 3'UTR was a direct target of miR-221 in breast cancer MCF-7 cells. PMID: 23801152
- acetylated STAT3 bound to the ARHI promoter and recruited DNA methyltransferase 1 for genetic modification. PMID: 23604529
- Imprinted chromatin around DIRAS3 regulates alternative splicing of GNG12-AS1, a long noncoding RNA. PMID: 23871723
- Expression of JMJD2A in infiltrating duct carcinoma is higher than in fibroadenoma, and is associated with ARHI, p53 and ER PMID: 23678541
- DiRas3 interacts with C-RAF and downregulates MEK1 activity to restrict cell migration. PMID: 23157514
- ARHI expression is present in the endometrium and up-regulated in ectopic endometrium, whereas in the ectopic endometrium of patients with malignant endometriosis its expression is often negative. PMID: 21602127
- ARHI expression is downregulated in human gastric cancer and it may be a novel tumor suppressive target for gastric cancer therapy. PMID: 22497484
- The consequence of complex formation is a DiRas3-mediated recruitment and anchorage of C-RAF to components of the membrane skeleton, suppression of C-RAF/B-RAF heterodimerization, and inhibition of C-RAF kinase activity. PMID: 22605333
- downregulation of ARHI may play an important role both in the pathogenesis and aggravation of gastric cancer. ARHI gene CpG island methylation is a potential molecular basis of its downregulation. PMID: 22427032
- The level of ARHI mRNA was significantly lower in aggressive compared with non-aggressive prostate cancer tissue samples PMID: 22117988
- ARHI has a critical and previously uncharacterized role in the regulation of ovarian cancer cell migration. PMID: 21643014
- ARHI has pro-apoptotic effects on HCC cells, which is associated with the inactivation of both Akt and NF-kappaB survival pathways. PMID: 21933150
- Data show that ARHI re-expression induces autophagic cell death in breast cancer cells and enhances the inhibitory effects of paclitaxel by promoting autophagy, apoptosis, and G2/M cell cycle arrest. PMID: 21244707
- These data highlighted an important role for ARHI in controlling hepatocellular carcinoma growth and angiogenesis. PMID: 21093415
- DIRAS3 gene is imprinted, with monoallelic expression from the paternal allele. PMID: 9874798
- Data show that ARHI could compete for Ran-importin binding and induce disruption of importin-binding to cargo proteins, including STAT3. PMID: 19435463
- A link between NOEY2 loss expression and the spreading mechanism of breast cancer may possibly exist. PMID: 12485503
- ARHI inhibits cell growth, and loss of its expression in cells may contribute to the development of breast and ovarian cancers PMID: 12771940
- Hypermethylation of CpG island II in the promoter region of ARHI is associated with the complete loss of ARHI expression in breast cancer cells. PMID: 12874023
- ARHI may have a role in development and progression of ductal breast carcinoma in situ PMID: 14506155
- Association between STAT3 and ARHI as well as the functional inhibition of STAT3 transcriptional activity by ARHI suggests a novel mechanism through which a putative tumor suppressor gene can inhibit STAT3 activity in breast and ovarian cancers. PMID: 16061651
- Down-regulation of ARHI gene is associated with breast cancer PMID: 16158053
- Down-regulation of ARHI due to loss of heterozygosity and promoter methylation is associated with ovarian cancers PMID: 18286529
- DIRAS3 is a novel, prognostically relevant candidate gene that is frequently methylated and silenced in oligodendroglial tumors with 1p deletion. PMID: 18302158
- provide evidences that ARHI downregulated in HCCs could play a role in liver cancer via acting as a tumor suppressor gene, which mainly was triggered by the epigenetic events in HCC specimens PMID: 18612997
- ARHI can induce autophagic cell death, but can also promote tumor dormancy in the presence of factors that promote survival in the cancer microenvironment. PMID: 19033662
- The presence of NOEY2 mutations in human breast cancer and early-stage lesions indicates that NOEY2 mutations may be partly associated with breast tumourigenesis. PMID: 19482475
- ARHI represents a modulator of cancer cell proliferation and may play an important role in the development of pancreatic cancer. PMID: 19639215
- Loss of heterozygosity at 1p31 (including ARHI) did not correlate with the mitotic activity index nor provide prognostic information. PMID: 19759414
顯示更多
收起更多
-
亞細胞定位:Cell membrane; Lipid-anchor; Cytoplasmic side.
-
蛋白家族:Small GTPase superfamily, Di-Ras family
-
組織特異性:Expressed in normal ovarian and breast epithelial cells but not in ovarian and breast cancers.
-
數據庫鏈接:
Most popular with customers
-
-
YWHAB Recombinant Monoclonal Antibody
Applications: ELISA, WB, IHC, IF, FC
Species Reactivity: Human, Mouse, Rat
-
Phospho-YAP1 (S127) Recombinant Monoclonal Antibody
Applications: ELISA, WB, IHC
Species Reactivity: Human
-
-
-
-
-















