DHX58 Antibody
-
中文名稱:DHX58兔多克隆抗體
-
貨號:CSB-PA822187ESR1HU
-
規格:¥440
-
圖片:
-
Western blot
All lanes: DHX58 antibody at 12μg/ml
Lane 1: 293T whole cell lysate
Lane 2: Rat kidney tissue
Secondary
Goat polyclonal to rabbit IgG at 1/10000 dilution
Predicted band size: 77 kDa
Observed band size: 77 kDa -
Immunohistochemistry of paraffin-embedded human breast cancer using CSB-PA822187ESR1HU at dilution of 1:100
-
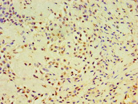
Immunohistochemistry of paraffin-embedded human colon cancer using CSB-PA822187ESR1HU at dilution of 1:100
-
-
其他:
產品詳情
-
產品名稱:Rabbit anti-Homo sapiens (Human) DHX58 Polyclonal antibody
-
Uniprot No.:
-
基因名:
-
別名:D11LGP2 antibody; D11lgp2e antibody; DEXH (Asp Glu X His) box polypeptide 58 antibody; DEXH box polypeptide 58 antibody; DHX 58 antibody; DHX58 antibody; DHX58_HUMAN antibody; LGP 2 antibody; LGP2 antibody; Ortholog of mouse D11lgp2 antibody; Probable ATP dependent helicase LGP2 antibody; Probable ATP dependent RNA helicase DHX58 antibody; Probable ATP-dependent helicase LGP2 antibody; Probable ATP-dependent RNA helicase DHX58 antibody; Protein D11Lgp2 homolog antibody; RIG-I-like receptor LGP2 antibody; RLR antibody; RNA helicase LGP2 antibody
-
宿主:Rabbit
-
反應種屬:Human, Rat
-
免疫原:Recombinant Human Probable ATP-dependent RNA helicase DHX58 protein (389-678AA)
-
免疫原種屬:Homo sapiens (Human)
-
標記方式:Non-conjugated
-
克隆類型:Polyclonal
-
抗體亞型:IgG
-
純化方式:Antigen Affinity Purified
-
濃度:It differs from different batches. Please contact us to confirm it.
-
保存緩沖液:PBS with 0.02% sodium azide, 50% glycerol, pH7.3.
-
產品提供形式:Liquid
-
應用范圍:ELISA, WB, IHC
-
推薦稀釋比:
Application Recommended Dilution WB 1:500-1:2000 IHC 1:20-1:200 -
Protocols:
-
儲存條件:Upon receipt, store at -20°C or -80°C. Avoid repeated freeze.
-
貨期:Basically, we can dispatch the products out in 1-3 working days after receiving your orders. Delivery time maybe differs from different purchasing way or location, please kindly consult your local distributors for specific delivery time.
-
用途:For Research Use Only. Not for use in diagnostic or therapeutic procedures.
相關產品
靶點詳情
-
功能:Acts as a regulator of DDX58/RIG-I and IFIH1/MDA5 mediated antiviral signaling. Cannot initiate antiviral signaling as it lacks the CARD domain required for activating MAVS/IPS1-dependent signaling events. Can have both negative and positive regulatory functions related to DDX58/RIG-I and IFIH1/MDA5 signaling and this role in regulating signaling may be complex and could probably depend on characteristics of the infecting virus or target cells, or both. Its inhibitory action on DDX58/RIG-I signaling may involve the following mechanisms: competition with DDX58/RIG-I for binding to the viral RNA, binding to DDX58/RIG-I and inhibiting its dimerization and interaction with MAVS/IPS1, competing with IKBKE in its binding to MAVS/IPS1 thereby inhibiting activation of interferon regulatory factor 3 (IRF3). Its positive regulatory role may involve unwinding or stripping nucleoproteins of viral RNA thereby facilitating their recognition by DDX58/RIG-I and IFIH1/MDA5. Involved in the innate immune response to various RNA viruses and some DNA viruses such as poxviruses and coronavirus SARS-CoV-2, and also to the bacterial pathogen Listeria monocytogenes. Can bind both ssRNA and dsRNA, with a higher affinity for dsRNA. Shows a preference to 5'-triphosphorylated RNA, although it can recognize RNA lacking a 5'-triphosphate.
-
基因功能參考文獻:
- Study demonstrated a tumor suppressor role of LGP2 in neuroblastoma (NB). LGP2 was effective in promoting poly (I:C)-induced NB suppression and cytoplasmic LGP2 can serve as an independent favorable prognostic factor in NB patients. PMID: 30179292
- genetic loss of LGP2 uncovers dsRNA-mediated RNAi albeit less strongly than complete loss of the IFN system PMID: 29351913
- Results indicate that pumilio RNA binding family member 1 (PUM1) is a negative regulator of RNA helicase LGP2 (LGP2), a master regulator of innate immunity genes expressed in a cascade fashion. PMID: 28760986
- study documents that recombinant measles virus produce defective interfering genomes that have high immunostimulatory properties via their binding to RIG-I and LGP2 proteins, both of which are cytosolic nonself RNA sensors of innate immunity. PMID: 28768856
- essential role in activating interferon signaling against hepatitis C virus (HCV) infection by promoting MDA5 recognition of HCV pathogen-associated molecular patterns PMID: 28090671
- LGP2 did not reveal significant single-SNP associations with multiple sclerosis risk. PMID: 25288302
- LGP2 increases the initial rate of MDA5-RNA interaction and regulates MDA5 filament assembly. PMID: 25127512
- results demonstrate previously unrecognized properties of LGP2 ATP hydrolysis and RNA interaction and provide a mechanistic basis for a positive regulatory role for LGP2 in antiviral signaling PMID: 23184951
- LGP2, a host protein induced during influenza A virus infection, downregulates the host antiviral IFN response PMID: 22837208
- Paramyxovirus 5 V proteins interact with the RNA Helicase LGP2 to inhibit RIG-I-dependent interferon beta induction. PMID: 22301134
- LGP2 functions as an inhibitor of the innate immune response triggered by Rabeis virus infection PMID: 21525357
- LGP2 competes with the kinase IKKi for a common interaction site on IPS-1, as an element of negative-feedback regulation of intracellular antiviral signaling. PMID: 17020950
- LGP2 can be coexpressed with RIG-I to inhibit activation of the NF-kappaB reporter expression and that LGP2 protein produced in insect cells can bind both single- and double-stranded RNA (dsRNA), with higher affinity and cooperativity for dsRNA. PMID: 18411269
- The RIG-I-like receptor LGP2 recognizes the termini of double-stranded RNA. PMID: 19278996
- Cloning and expression of the mouse Lpg2 mRNA, and comparison of the ORF to that of human LPG2 mRNA. PMID: 11735219
顯示更多
收起更多
-
亞細胞定位:Cytoplasm.
-
蛋白家族:Helicase family, RLR subfamily
-
組織特異性:Expressed in testis, nerve and spleen. Also expressed in the brain.
-
數據庫鏈接:
Most popular with customers
-
-
YWHAB Recombinant Monoclonal Antibody
Applications: ELISA, WB, IHC, IF, FC
Species Reactivity: Human, Mouse, Rat
-
-
-
-
-
-















