DHX33 Antibody
-
中文名稱:DHX33兔多克隆抗體
-
貨號:CSB-PA884479LA01HU
-
規格:¥440
-
圖片:
-
Western blot
All lanes: DHX33 antibody at 16µg/ml
Lane 1: Hela whole cell lysate
Lane 2: 293T whole cell lysate
Secondary
Goat polyclonal to rabbit IgG at 1/10000 dilution
Predicted band size: 79, 61 kDa
Observed band size: 79 kDa -
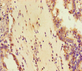
Immunohistochemistry of paraffin-embedded human breast cancer using CSB-PA884479LA01HU at dilution of 1:100
-
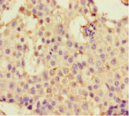
Immunohistochemistry of paraffin-embedded human lung cancer using CSB-PA884479LA01HU at dilution of 1:100
-
Immunofluorescent analysis of Hela cells using CSB-PA884479LA01HU at dilution of 1:100 and Alexa Fluor 488-congugated AffiniPure Goat Anti-Rabbit IgG(H+L)
-
-
其他:
產品詳情
-
產品名稱:Rabbit anti-Homo sapiens (Human) DHX33 Polyclonal antibody
-
Uniprot No.:
-
基因名:
-
別名:DHX33 antibody; DDX33ATP-dependent RNA helicase DHX33 antibody; EC 3.6.4.13 antibody; DEAH box protein 33 antibody
-
宿主:Rabbit
-
反應種屬:Human
-
免疫原:Recombinant Human ATP-dependent RNA helicase DHX33 protein (116-357AA)
-
免疫原種屬:Homo sapiens (Human)
-
標記方式:Non-conjugated
本頁面中的產品,DHX33 Antibody (CSB-PA884479LA01HU),的標記方式是Non-conjugated。對于DHX33 Antibody,我們還提供其他標記。見下表:
-
克隆類型:Polyclonal
-
抗體亞型:IgG
-
純化方式:>95%, Protein G purified
-
濃度:It differs from different batches. Please contact us to confirm it.
-
保存緩沖液:Preservative: 0.03% Proclin 300
Constituents: 50% Glycerol, 0.01M PBS, PH 7.4 -
產品提供形式:Liquid
-
應用范圍:ELISA, WB, IHC, IF
-
推薦稀釋比:
Application Recommended Dilution WB 1:1000-1:5000 IHC 1:20-1:200 IF 1:50-1:200 -
Protocols:
-
儲存條件:Upon receipt, store at -20°C or -80°C. Avoid repeated freeze.
-
貨期:Basically, we can dispatch the products out in 1-3 working days after receiving your orders. Delivery time maybe differs from different purchasing way or location, please kindly consult your local distributors for specific delivery time.
-
用途:For Research Use Only. Not for use in diagnostic or therapeutic procedures.
相關產品
靶點詳情
-
功能:Implicated in nucleolar organization, ribosome biogenesis, protein synthesis and cytoplasmic dsRNA sensing. Stimulates RNA polymerase I transcription of the 47S precursor rRNA. Associates with ribosomal DNA (rDNA) loci where it is involved in POLR1A recruitment. In the cytoplasm, promotes elongation-competent 80S ribosome assembly at the late stage of mRNA translation initiation. Senses cytosolic dsRNA mediating NLRP3 inflammasome formation in macrophages and type I interferon production in myeloid dendritic cells. Required for NLRP3 activation induced by viral dsRNA and bacterial RNA. In dendritic cells, required for induction of type I interferon production induced by cytoplasmic dsRNA via the activation of MAPK and NF-kappa-B signaling pathways.
-
基因功能參考文獻:
- DHX33 doublet is due to alternative translation initiation by two in-frame initiation codons. DHX33 translation initiation from either AUG codon happens at equal efficiency. Short DHX33 protein has similar cellular location and functions with full-length DHX33. Leaky scanning normally occurs in DHX33 mRNA translation, which may serve as a safeguard mechanism to ensure optimal DHX33 translation efficiency. PMID: 29864424
- In clinical samples, the expression of Rab1A or DHX33 was reversely correlated with miR-634. Re-expression of Rab1A or DHX33 abrogated the miR-634-mediated inhibition of cell proliferation and migration. Collectively, our data suggest a tumor suppressor role of miR-634 in hepatocellular carcinoma. PMID: 27693040
- High expression of DHX33 is associated with non-Hodgkin's lymphoma and acute myeloid leukemia. PMID: 28498893
- Study demonstrates that DHX33 acts as a direct transcriptional regulator to promote cell cycle progression and plays an important role in driving cell proliferation during both embryo development and tumorigenesis. PMID: 27601587
- Our data therefore suggest DHX33 is overexpressed in HCC and serves as a promising prognostic biomarker for this deadly disease. PMID: 27073163
- The results reveal a newly recognized function of DHX33 in mRNA translation initiation, further solidifying its central role in promoting cell growth and proliferation. PMID: 26100019
- Data indicate that DHX33 forms the inflammasome complex with NLRP3 following stimulation with cytosolic RNA. PMID: 23871209
- results directly implicate DHX33 as a crucial player in establishing rRNA synthesis rates in the face of Ras(V12) or ARF signals, adjusting ribosome biogenesis to match the appropriate growth or antigrowth signals. PMID: 23401854
- we show the mechanistic importance of DHX33 in rRNA transcription and proliferation PMID: 21930779
顯示更多
收起更多
-
亞細胞定位:Nucleus, nucleolus. Nucleus, nucleoplasm. Cytoplasm. Nucleus. Inflammasome.
-
蛋白家族:DEAD box helicase family, DEAH subfamily
-
數據庫鏈接:
Most popular with customers
-
-
YWHAB Recombinant Monoclonal Antibody
Applications: ELISA, WB, IHC, IF, FC
Species Reactivity: Human, Mouse, Rat
-
Phospho-YAP1 (S127) Recombinant Monoclonal Antibody
Applications: ELISA, WB, IHC
Species Reactivity: Human
-
-
-
-
-















