DHTKD1 Antibody
-
中文名稱:DHTKD1兔多克隆抗體
-
貨號:CSB-PA842685ESR1HU
-
規格:¥440
-
圖片:
-
Western blot
All lanes: DHTKD1 antibody at 1.82µg/ml
Lane 1: Mouse heart tissue
Lane 2: A431 whole cell lysate
Lane 3: MCF-7 whole cell lysate
Lane 4: HepG2 whole cell lysate
Secondary
Goat polyclonal to rabbit IgG at 1/10000 dilution
Predicted band size: 103 kDa
Observed band size: 103 kDa -
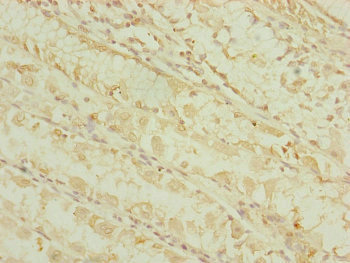
Immunohistochemistry of paraffin-embedded human gastric cancer using CSB-PA842685ESR1HU at dilution of 1:100
-
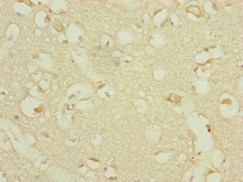
Immunohistochemistry of paraffin-embedded human brain tissue using CSB-PA842685ESR1HU at dilution of 1:100
-
-
其他:
產品詳情
-
產品名稱:Rabbit anti-Homo sapiens (Human) DHTKD1 Polyclonal antibody
-
Uniprot No.:
-
基因名:DHTKD1
-
別名:AMOXAD antibody; CMT2Q antibody; Dehydrogenase E1 and transketolase domain containing 1 antibody; Dehydrogenase E1 and transketolase domain containing protein 1 antibody; Dehydrogenase E1 and transketolase domain-containing protein 1 antibody; DHTK1_HUMAN antibody; dhtkd1 antibody; DKFZp762M115 antibody; KIAA1630 antibody; MGC3090 antibody; Probable 2 oxoglutarate dehydrogenase E1 component DHKTD1 mitochondrial antibody; Probable 2-oxoglutarate dehydrogenase E1 component DHKTD1; mitochondrial antibody
-
宿主:Rabbit
-
反應種屬:Human, Mouse
-
免疫原:Recombinant Human Probable 2-oxoglutarate dehydrogenase E1 component DHKTD1, mitochondrial protein (1-280AA)
-
免疫原種屬:Homo sapiens (Human)
-
標記方式:Non-conjugated
-
克隆類型:Polyclonal
-
抗體亞型:IgG
-
純化方式:Antigen Affinity Purified
-
濃度:It differs from different batches. Please contact us to confirm it.
-
保存緩沖液:PBS with 0.02% sodium azide, 50% glycerol, pH7.3.
-
產品提供形式:Liquid
-
應用范圍:ELISA, WB, IHC
-
推薦稀釋比:
Application Recommended Dilution WB 1:1000-1:5000 IHC 1:20-1:200 -
Protocols:
-
儲存條件:Upon receipt, store at -20°C or -80°C. Avoid repeated freeze.
-
貨期:Basically, we can dispatch the products out in 1-3 working days after receiving your orders. Delivery time maybe differs from different purchasing way or location, please kindly consult your local distributors for specific delivery time.
-
用途:For Research Use Only. Not for use in diagnostic or therapeutic procedures.
相關產品
靶點詳情
-
功能:The 2-oxoglutarate dehydrogenase complex catalyzes the overall conversion of 2-oxoglutarate to succinyl-CoA and CO(2). It contains multiple copies of three enzymatic components: 2-oxoglutarate dehydrogenase (E1), dihydrolipoamide succinyltransferase (E2) and lipoamide dehydrogenase (E3).
-
基因功能參考文獻:
- DHTKD1 encodes the E1 subunit of the alpha-ketoadipic acid dehydrogenase complex PMID: 25860818
- DHTKD1 contributes to mitochondrial biogenesis and function maintenance. PMID: 24076469
- DHTKD1 mutations cause 2-aminoadipic and 2-oxoadipic aciduria. PMID: 23141293
- A nonsense mutation in DHTKD1 causes Charcot-Marie-Tooth disease type 2 in a large Chinese pedigree. PMID: 23141294
-
相關疾?。?/div>Charcot-Marie-Tooth disease 2Q (CMT2Q); 2-aminoadipic 2-oxoadipic aciduria (AMOXAD)亞細胞定位:Mitochondrion.蛋白家族:Alpha-ketoglutarate dehydrogenase family數據庫鏈接:
Most popular with customers
-
-
YWHAB Recombinant Monoclonal Antibody
Applications: ELISA, WB, IHC, IF, FC
Species Reactivity: Human, Mouse, Rat
-
Phospho-YAP1 (S127) Recombinant Monoclonal Antibody
Applications: ELISA, WB, IHC
Species Reactivity: Human
-
-
-
-
-















