DGUOK Antibody
-
中文名稱:DGUOK兔多克隆抗體
-
貨號:CSB-PA621974HA01HU
-
規格:¥440
-
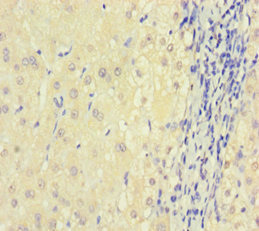
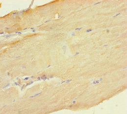
圖片:
-
其他:
產品詳情
-
產品名稱:Rabbit anti-Homo sapiens (Human) DGUOK Polyclonal antibody
-
Uniprot No.:
-
基因名:DGUOK
-
別名:DGUOK antibody; DGK antibody; Deoxyguanosine kinase antibody; mitochondrial antibody; dGK antibody; EC 2.7.1.113 antibody
-
宿主:Rabbit
-
反應種屬:Human
-
免疫原:Recombinant Human Deoxyguanosine kinase, mitochondrial protein (40-277AA)
-
免疫原種屬:Homo sapiens (Human)
-
標記方式:Non-conjugated
本頁面中的產品,DGUOK Antibody (CSB-PA621974HA01HU),的標記方式是Non-conjugated。對于DGUOK Antibody,我們還提供其他標記。見下表:
-
克隆類型:Polyclonal
-
抗體亞型:IgG
-
純化方式:>95%, Protein G purified
-
濃度:It differs from different batches. Please contact us to confirm it.
-
保存緩沖液:Preservative: 0.03% Proclin 300
Constituents: 50% Glycerol, 0.01M PBS, PH 7.4 -
產品提供形式:Liquid
-
應用范圍:ELISA, IHC
-
推薦稀釋比:
Application Recommended Dilution IHC 1:20-1:200 -
Protocols:
-
儲存條件:Upon receipt, store at -20°C or -80°C. Avoid repeated freeze.
-
貨期:Basically, we can dispatch the products out in 1-3 working days after receiving your orders. Delivery time maybe differs from different purchasing way or location, please kindly consult your local distributors for specific delivery time.
-
用途:For Research Use Only. Not for use in diagnostic or therapeutic procedures.
相關產品
靶點詳情
-
功能:Phosphorylates deoxyguanosine and deoxyadenosine in the mitochondrial matrix, with the highest efficiency for deoxyguanosine. In non-replicating cells, where cytosolic dNTP synthesis is down-regulated, mtDNA synthesis depends solely on DGUOK and TK2. Phosphorylates certain nucleoside analogs. Widely used as target of antiviral and chemotherapeutic agents.
-
基因功能參考文獻:
- DGUOK deficiency and mutation is associated with mitochondrial DNA depletion syndromes. PMID: 28493820
- rare homozygous p.N46S mutation associated with idiopathic noncirrhotic portal hypertension PMID: 26874653
- The goals of this work are to characterize the DGUOK rat in terms of mitochondrial dysfunction and pathological outcome, and to evaluate EPR as a new and additional technique in an integrated characterization of mitochondrial disease . PMID: 26773591
- sequencing results showed that the patient was a compound heterozygote for c.679G>A and c.817delT in the DGUOK gene PMID: 27324545
- thymidine kinase 2 but not deoxyguanosine kinase is up-regulated during the stationary growth phase of cultured cells PMID: 24940680
- study expands the spectrum of disorders caused by mutations in DGUOK. PMID: 23043144
- Deoxyguanosine kinase gene mutations combined with impaired glucose homeostasis and iron overload features are associated with severe progressive liver failure. PMID: 21107780
- c.592-4_c.592-3delTT mutation causes exon skipping and is and responsible for the DGUOK deficiency PMID: 19900589
- Neurological symptoms appeared later and were mild, in agreement with the limited brain pathology. Molecular analysis of the dGK gene should be performed in infants with cirrhosis even in the absence of CNS involvement. PMID: 15150663
- Low level of mitochondrial deoxyguanosine kinase is the dominant factor in acquired resistance to 9-beta-D-arabinofuranosylguanine cytotoxicity PMID: 12054684
- A novel mutation in the deoxyguanosine kinase gene causing depletion of mitochondrial DNA. Homozygous nonsense mutation in exon 3 of DGUOK (313C-->T). PMID: 12210798
- This study identified 2 novel homozygous mutations, G352A and C269T, that lead to truncated proteins in the hepatocerebral form of mitochondrial DNA depletion syndrome. PMID: 15883261
- DGUOK activity may play a crucial role in the phenotype reversal PMID: 17073823
- DGUOK is required for mitochondrial DNA replication in resting cells and that small changes in expression of this enzyme may cause mitochondrial DNA depletion. PMID: 17490647
- 15 different mutations in the DGUOK gene from 9 kindreds, were identified. PMID: 18205204
- study reports the first founder DGUOK mutation (c.444-62C>A) in two North-African families with hepatocerebral syndrome and severe combined respiratory chain deficiency PMID: 19394258
- a viral infection can trigger fulminant liver failure in the context of a genetic predisposition associated with mutations in DGUOK PMID: 19502998
顯示更多
收起更多
-
相關疾?。?/div>Mitochondrial DNA depletion syndrome 3 (MTDPS3); Portal hypertension, non-cirrhotic (NCPH); Progressive external ophthalmoplegia with mitochondrial DNA deletions, autosomal recessive 4 (PEOB4)亞細胞定位:Mitochondrion.蛋白家族:DCK/DGK family組織特異性:Ubiquitous. Highest expression in muscle, brain, liver and lymphoid tissues.數據庫鏈接:
Most popular with customers
-
-
YWHAB Recombinant Monoclonal Antibody
Applications: ELISA, WB, IHC, IF, FC
Species Reactivity: Human, Mouse, Rat
-
Phospho-YAP1 (S127) Recombinant Monoclonal Antibody
Applications: ELISA, WB, IHC
Species Reactivity: Human
-
-
-
-
-















