DECR1 Antibody
-
中文名稱:DECR1兔多克隆抗體
-
貨號:CSB-PA040684
-
規格:¥1100
-
圖片:
-
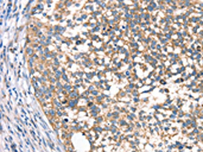
The image on the left is immunohistochemistry of paraffin-embedded Human cervical cancer tissue using CSB-PA040684(DECR1 Antibody) at dilution 1/40, on the right is treated with synthetic peptide. (Original magnification: ×200)
-
Gel: 8%SDS-PAGE, Lysate: 40 μg, Lane 1-4: Human endometrial carcinoma tissue, Human colon cancer tissue, mouse heart tissue, PC3 cells, Primary antibody: CSB-PA040684(DECR1 Antibody) at dilution 1/300, Secondary antibody: Goat anti rabbit IgG at 1/8000 dilution, Exposure time: 10 seconds
-
-
其他:
產品詳情
-
Uniprot No.:
-
基因名:DECR1
-
別名:1200012F07Rik antibody; 2 antibody; 2,4 dienoyl CoA reductase [NADPH] antibody; 2,4 dienoyl CoA reductase 1 antibody; 2,4 dienoyl CoA reductase mitochondrial antibody; 2,4-dienoyl-CoA reductase; mitochondrial antibody; 4 enoyl CoA reductase antibody; 4-dienoyl-CoA reductase [NADPH] antibody; 4-enoyl-CoA reductase [NADPH] antibody; DECR 1 antibody; DECR antibody; DECR_HUMAN antibody; DECR1 antibody; Nadph antibody; OTTMUSP00000004962 antibody; RP23-338J24.3 antibody; SDR18C1 antibody; Short chain dehydrogenase/reductase family 18C member 1 antibody
-
宿主:Rabbit
-
反應種屬:Human,Mouse,Rat
-
免疫原:Synthetic peptide of Human DECR1
-
免疫原種屬:Homo sapiens (Human)
-
標記方式:Non-conjugated
-
抗體亞型:IgG
-
純化方式:Antigen affinity purification
-
濃度:It differs from different batches. Please contact us to confirm it.
-
保存緩沖液:-20°C, pH7.4 PBS, 0.05% NaN3, 40% Glycerol
-
產品提供形式:Liquid
-
應用范圍:ELISA,WB,IHC
-
推薦稀釋比:
Application Recommended Dilution ELISA 1:2000-1:5000 WB 1:500-1:2000 IHC 1:25-1:100 -
Protocols:
-
儲存條件:Upon receipt, store at -20°C or -80°C. Avoid repeated freeze.
-
貨期:Basically, we can dispatch the products out in 1-3 working days after receiving your orders. Delivery time maybe differs from different purchasing way or location, please kindly consult your local distributors for specific delivery time.
-
用途:For Research Use Only. Not for use in diagnostic or therapeutic procedures.
相關產品
靶點詳情
-
功能:Auxiliary enzyme of beta-oxidation. It participates in the metabolism of unsaturated fatty enoyl-CoA esters having double bonds in both even- and odd-numbered positions in mitochondria. Catalyzes the NADP-dependent reduction of 2,4-dienoyl-CoA to yield trans-3-enoyl-CoA.
-
基因功能參考文獻:
- Our study is the first to demonstrate the novel function of UA in NET formation and may provide insight into the management of patients with hyperuricemia. PMID: 24326071
- Structure and reactivity of human mitochondrial 2,4-dienoyl-CoA reductase PMID: 15531764
- Sequence alignment indicates that there are five highly conserved acidic residues, one of which (E276) might act as a proton donor. PMID: 15629123
- mutational defects cause chronic granulomatous disease in humans PMID: 18193341
- The luminal NADPH pool is an important antiapoptotic factor in neutrophil granulocytes. PMID: 18472006
- The TT genotype of C677T polymorphism in the MTHFR gene contributes to genetic susceptibility of acute ischemic stroke in a Singapore population. PMID: 19049547
顯示更多
收起更多
-
相關疾病:2,4-dienoyl-CoA reductase deficiency (DECRD)
-
亞細胞定位:Mitochondrion.
-
蛋白家族:Short-chain dehydrogenases/reductases (SDR) family, 2,4-dienoyl-CoA reductase subfamily
-
組織特異性:Heart = liver = pancreas > kidney >> skeletal muscle = lung.
-
數據庫鏈接:
Most popular with customers
-
-
YWHAB Recombinant Monoclonal Antibody
Applications: ELISA, WB, IHC, IF, FC
Species Reactivity: Human, Mouse, Rat
-
Phospho-YAP1 (S127) Recombinant Monoclonal Antibody
Applications: ELISA, WB, IHC
Species Reactivity: Human
-
-
-
-
-















