-
中文名稱:DDX19A兔多克隆抗體
-
貨號:CSB-PA889116HA01HU
-
規格:¥440
-
圖片:
-
Western blot
All lanes: ATP-dependent RNA helicase DDX19A antibody at 2μg/ml + Mouse gonad tissue
Secondary
Goat polyclonal to rabbit IgG at 1/10000 dilution
Predicted band size: 54, 44 kDa
Observed band size: 54 kDa -
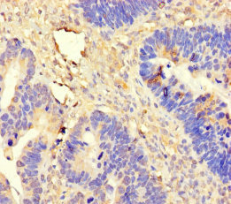
Immunohistochemistry of paraffin-embedded human ovarian cancer using CSB-PA889116HA01HU at dilution of 1:100
-
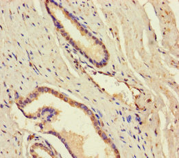
Immunohistochemistry of paraffin-embedded human prostate cancer using CSB-PA889116HA01HU at dilution of 1:100
-
-
其他:
產品詳情
-
產品描述:
The peptide corresponding to the full-length of the recombinant human DDX19A protein is used to immunize rabbits to get rabbit antiserum. The rabbit antiserum is further purified by protein G to obtain the anti-DDX19A antibody. It is a polyclonal antibody and occurs as an unconjugated IgG. Its purity is greater than 95%. It is reactive with human and mouse DDX19A protein, an ATP-dependent RNA helicase involved in mRNA export from the nucleus. And this DDX19A antibody has been validated for use in ELISA, WB, and IHC applications.
-
產品名稱:Rabbit anti-Homo sapiens (Human) DDX19A Polyclonal antibody
-
Uniprot No.:
-
基因名:DDX19A
-
別名:ATP dependent RNA helicase DDX19A antibody; ATP-dependent RNA helicase DDX19A antibody; DD19A_HUMAN antibody; DDX19 like protein antibody; DDX19-like protein antibody; DDX19A antibody; DDX19L antibody; DEAD box protein 19A antibody
-
宿主:Rabbit
-
反應種屬:Human, Mouse
-
免疫原:Recombinant Human ATP-dependent RNA helicase DDX19A protein (1-478AA)
-
免疫原種屬:Homo sapiens (Human)
-
標記方式:Non-conjugated
本頁面中的產品,DDX19A Antibody (CSB-PA889116HA01HU),的標記方式是Non-conjugated。對于DDX19A Antibody,我們還提供其他標記。見下表:
-
克隆類型:Polyclonal
-
抗體亞型:IgG
-
純化方式:>95%, Protein G purified
-
濃度:It differs from different batches. Please contact us to confirm it.
-
保存緩沖液:Preservative: 0.03% Proclin 300
Constituents: 50% Glycerol, 0.01M PBS, PH 7.4 -
產品提供形式:Liquid
-
應用范圍:ELISA, WB, IHC
-
推薦稀釋比:
Application Recommended Dilution WB 1:1000-1:5000 IHC 1:20-1:200 -
Protocols:
-
儲存條件:Upon receipt, store at -20°C or -80°C. Avoid repeated freeze.
-
貨期:Basically, we can dispatch the products out in 1-3 working days after receiving your orders. Delivery time maybe differs from different purchasing way or location, please kindly consult your local distributors for specific delivery time.
-
用途:For Research Use Only. Not for use in diagnostic or therapeutic procedures.
引用文獻
- DDX19A promotes gastric cancer cell proliferation and migration by activating the PI3K/AKT pathway Y Cheng, Y Lu, J Xue, X Wang, L Zhou, Y Luo,Cancer Cell International,2024
相關產品
靶點詳情
-
功能:ATP-dependent RNA helicase involved in mRNA export from the nucleus. Rather than unwinding RNA duplexes, DDX19 functions as a remodeler of ribonucleoprotein particles, whereby proteins bound to nuclear mRNA are dissociated and replaced by cytoplasmic mRNA binding proteins.
-
亞細胞定位:Cytoplasm. Nucleus, nucleoplasm.
-
蛋白家族:DEAD box helicase family, DDX19/DBP5 subfamily
-
數據庫鏈接:
Most popular with customers
-
-
YWHAB Recombinant Monoclonal Antibody
Applications: ELISA, WB, IHC, IF, FC
Species Reactivity: Human, Mouse, Rat
-
Phospho-YAP1 (S127) Recombinant Monoclonal Antibody
Applications: ELISA, WB, IHC
Species Reactivity: Human
-
-
-
-
-















