DCTN3 Antibody
-
中文名稱:DCTN3兔多克隆抗體
-
貨號:CSB-PA921442
-
規格:¥1100
-
圖片:
-
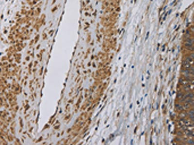
The image on the left is immunohistochemistry of paraffin-embedded Human thyroid cancer tissue using CSB-PA921442(DCTN3 Antibody) at dilution 1/50, on the right is treated with fusion protein. (Original magnification: ×200)
-
The image on the left is immunohistochemistry of paraffin-embedded Human cervical cancer tissue using CSB-PA921442(DCTN3 Antibody) at dilution 1/50, on the right is treated with fusion protein. (Original magnification: ×200)
-
-
其他:
產品詳情
-
Uniprot No.:
-
基因名:DCTN3
-
別名:DCNT22 antibody; DCTN 22 antibody; DCTN22 antibody; Dctn3 antibody; DCTN3_HUMAN antibody; dynactin 3 (p22) antibody; dynactin 3 antibody; dynactin 3 isoform 1 antibody; Dynactin complex subunit 22 kDa subunit antibody; dynactin light chain antibody; Dynactin subunit 3 antibody; p22 antibody
-
宿主:Rabbit
-
反應種屬:Human
-
免疫原:Fusion protein of Human DCTN3
-
免疫原種屬:Homo sapiens (Human)
-
標記方式:Non-conjugated
-
抗體亞型:IgG
-
純化方式:Antigen affinity purification
-
濃度:It differs from different batches. Please contact us to confirm it.
-
保存緩沖液:-20°C, pH7.4 PBS, 0.05% NaN3, 40% Glycerol
-
產品提供形式:Liquid
-
應用范圍:ELISA,IHC
-
推薦稀釋比:
Application Recommended Dilution ELISA 1:2000-1:10000 IHC 1:100-1:300 -
Protocols:
-
儲存條件:Upon receipt, store at -20°C or -80°C. Avoid repeated freeze.
-
貨期:Basically, we can dispatch the products out in 1-3 working days after receiving your orders. Delivery time maybe differs from different purchasing way or location, please kindly consult your local distributors for specific delivery time.
-
用途:For Research Use Only. Not for use in diagnostic or therapeutic procedures.
相關產品
靶點詳情
-
功能:Together with dynein may be involved in spindle assembly and cytokinesis.
-
基因功能參考文獻:
- Study found that in peripheral blood mononuclear cells the median expression of KIFC3, KIF1B, and KIF5C was much lower than the expression of dynactin subunits DCTN1 and DCTN3, in both sporadic amyotrophic lateral sclerosis and healthy cases PMID: 26954557
-
亞細胞定位:Cytoplasm. Cytoplasm, cytoskeleton, microtubule organizing center, centrosome. Chromosome, centromere, kinetochore. Cytoplasm, cytoskeleton, spindle. Cleavage furrow. Midbody. Note=Localizes to punctate cytoplasmic structures and to the centrosome during interphase, and to kinetochores and to spindle poles throughout mitosis. Colocalizes with dynein to the cleavage furrow and to midbody of dividing cells.
-
蛋白家族:Dynactin subunit 3 family
-
組織特異性:Ubiquitously expressed. Highly expressed in muscle and pancreas and detected at lower levels in brain.
-
數據庫鏈接:
Most popular with customers
-
-
YWHAB Recombinant Monoclonal Antibody
Applications: ELISA, WB, IHC, IF, FC
Species Reactivity: Human, Mouse, Rat
-
Phospho-YAP1 (S127) Recombinant Monoclonal Antibody
Applications: ELISA, WB, IHC
Species Reactivity: Human
-
-
-
-
-















