DCN Antibody
-
中文名稱:DCN兔多克隆抗體
-
貨號:CSB-PA10289A0Rb
-
規格:¥440
-
圖片:
-
Western blot
All lanes: DCN antibody at 2µg/ml
Lane 1: Mouse heart tissue
Lane 2: HepG2 whole cell lysate
Secondary
Goat polyclonal to rabbit IgG at 1/10000 dilution
Predicted band size: 40, 28, 24, 20, 9 kDa
Observed band size: 40 kDa -
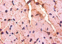
Immunohistochemistry of paraffin-embedded mouse heart tissue using CSB-PA10289A0Rb at dilution of 1:50
-
-
其他:
產品詳情
-
產品名稱:Rabbit anti-Homo sapiens (Human) DCN Polyclonal antibody
-
Uniprot No.:
-
基因名:
-
別名:Bone proteoglycan II antibody; CSCD antibody; DCN antibody; DCN protein antibody; Decorin antibody; Decorin proteoglycan antibody; Dermatan sulphate proteoglycans II antibody; DKFZp686J19238 antibody; DSPG 2 antibody; DSPG2 antibody; PG 40 antibody; PG II antibody; PG S2 antibody; PG-S2 antibody; PG40 antibody; PGII antibody; PGS 2 antibody; PGS2 antibody; PGS2_HUMAN antibody; Proteoglycan core protein antibody; SLRR1B antibody; Small leucine rich protein 1B antibody
-
宿主:Rabbit
-
反應種屬:Human, Mouse
-
免疫原:Recombinant Human Decorin protein (20-359AA)
-
免疫原種屬:Homo sapiens (Human)
-
標記方式:Non-conjugated
本頁面中的產品,DCN Antibody (CSB-PA10289A0Rb),的標記方式是Non-conjugated。對于DCN Antibody,我們還提供其他標記。見下表:
-
克隆類型:Polyclonal
-
抗體亞型:IgG
-
純化方式:>95%, Protein G purified
-
濃度:It differs from different batches. Please contact us to confirm it.
-
保存緩沖液:Preservative: 0.03% Proclin 300
Constituents: 50% Glycerol, 0.01M PBS, PH 7.4 -
產品提供形式:Liquid
-
應用范圍:ELISA, WB, IHC
-
推薦稀釋比:
Application Recommended Dilution WB 1:1000-1:5000 IHC 1:20-1:200 -
Protocols:
-
儲存條件:Upon receipt, store at -20°C or -80°C. Avoid repeated freeze.
-
貨期:Basically, we can dispatch the products out in 1-3 working days after receiving your orders. Delivery time maybe differs from different purchasing way or location, please kindly consult your local distributors for specific delivery time.
-
用途:For Research Use Only. Not for use in diagnostic or therapeutic procedures.
相關產品
靶點詳情
-
功能:May affect the rate of fibrils formation.
-
基因功能參考文獻:
- Systemic rAAV-DCN in neuroblastoma-grafted nude mice inhibited stabilin-1. PMID: 28631095
- Our data suggests that the endometrium of patients with polycystic ovary syndrome (PCOS) exhibits higher expressions of decorin and lumican than that of healthy control women in the proliferative phase of the menstrual cycle. It is then possible that this proteoglycan excess may interfere with normal endometrial hemostasis in PCOS. PMID: 28789706
- The negative correlation between miR-200c and DCN (Decorin) was calculated in colorectal carcinoma, indicating that DCN could be a potential target of miR-200c. PMID: 28567416
- Genetic screening showed a deletion of chromosome 12q21.33-q22 containing the identified four small leucine-rich proteoglycans (SLRP's) associated with this particular dystrophy. PMID: 27096414
- Data suggest that PEG3 is required for TFEB induction and nuclear translocation in a VEGFR2- and AMPK-dependent manner for decorin/decorin receptor-evoked autophagy. (PEG3 = paternally expressed 3 protein; TFEB = transcription factor EB; VEGFR2 = vascular endothelial growth factor receptor-2; AMPK = AMP-activated protein kinase) PMID: 28798237
- Decorin exhibits promiscuity in its ability to alter tumorigenesis via regulation of angiogenesis, autophagy, and inflammation. (Review) PMID: 27860287
- Quantitative polymerase chain reaction for messenger RNA expression from tissue specimens revealed significantly higher expression of Biglycan (p = 0.0008) and Lumican (p = 0.01) and lower expression of Decorin (p < 0.0001) in urothelial carcinoma of bladder PMID: 28459201
- decorin can alter the bioactivity of TGF-beta2 on human myoblast migration PMID: 27644884
- A Finnish cohort of 336 subjects with diagnosed hypertension and 444 controls was analyzed. Samples were genotyped for decorin rs7308752 and rs516115 polymorphisms. The GG genotype of the decorin polymorphism rs7308752 (A>G) and the CC genotype of the rs516115 (T>C) are associated with decreased plasma resistin levels. These two decorin polymorphisms appear to have biological relevance in human vascular pathophysiology. PMID: 27315044
- analysis of decorin and lumican expression in fibroblasts correlated with palmoplantar collagen bundle size PMID: 26663310
- via gain-of-function analyses, DCN overexpression could inhibit renal cell carcinoma (RCC) cell proliferation and metastasis in vitro and vivo. At the mechanism level, we found that an ectopic expression of DCN significantly upregulated P21 and E-cadherin expression. Altogether, these results revealed that DCN is a tumor suppressor in RCC, and it could serve as a potential therapeutic target in patients with RCC. PMID: 26547587
- A synthetic peptide corresponding to this decorin region dose-dependently inhibited the response to myostatin in cardiomyocytes PMID: 27559042
- increased blood DCN levels could be a candidate biomarker for PE. PMID: 26554635
- An emerging concept that multiple proteases, especially those produced by inflammatory cells, are capable of cleaving DCN suggests that native DCN could be inactivated in a number of pathological inflammatory conditions PMID: 26697491
- Decorin plays a key role in the maintenance of the order in the normal corneal extracellular matrix. PMID: 26828927
- Compared with bone graft and marrow cavity contents, sticking scars had the highest expression of BMP-2 while bone grafts had the highest expression of DCN. PMID: 26400336
- Defective Proteolytic Processing of Fibrillar Procollagens and Prodecorin Due to Biallelic BMP1 Mutations Results in a Severe, Progressive Form of Osteogenesis Imperfecta. PMID: 25656619
- Data show that decorin is not only associated with angiogenesis, but it plays a causal role in this process. Also, depending on the molecular microenvironment where angiogenesis is induced, decorin can either promote or inhibit angiogenesis. [review] PMID: 25661523
- findings indicate that decorin may indirectly act as an antagonist to MM cell survival and that the interplay between MM and decorin may be an important target to explore in manipulating the tumor niche to inhibit tumorigenesis PMID: 25407518
- decorin expression and immunoreactivity in normal and malignant human colorectal tissue PMID: 26001829
- Our results reveal the molecular details of the periostin-decorin complex in both phyllodes tumor tissues and breast cancer cells; this interaction may represent a novel target for anti-cancer therapy PMID: 25400079
- A role for decorin and p-Smad-2 in the pathophysiology of fetal membranes and adverse pregnancy outcomes. PMID: 25232019
- decorin plays crucial roles in non-small-cell lung cancer against carcinogenesis and progression. PMID: 25524578
- The results suggest that regions within decorin is associated with ACL injury susceptibility and that genetic sequence variability within genes encoding proteoglycans may potentially modulate the ligament fibril properties. PMID: 24552666
- immunolocalization of decorin and biglycan in samples of first-trimester and term placentas, placenta accreta, invasive mole, and choriocarcinoma PMID: 24117774
- The targets of DCN include genes that play important roles in angiogenesis and cellular growth and may contribute to the pathogenesis of fetal growth restriction. PMID: 24947404
- DCN is a key regulator for chemoresistant mechanisms. PMID: 25550184
- Results demonstrate that DCN, a small leucine-rich proteoglycan, localizes to subregions of pathologically thickened arteries affected by CADASIL PMID: 25026535
- Lumican, decorin and dermatopontin are differentially expressed and may serve as biomarkers for metastatic and recurrent Giant cell tumor of bone PMID: 25304290
- Decorin differentially modulates the activity of insulin receptor isoform A ligands. PMID: 24389353
- AMPK is downstream of VEGFR2 and inhibition of AMPK signaling abrogated decorin-evoked autophagy. PMID: 24472739
- Decorin induced by dienogest appears to play a crucial role in suppressing endometriosis by exerting anti-proliferative effects and inducing cell cycle arrest. PMID: 25244916
- decorin secreted from myotubes in response to exercise is involved in the regulation of muscle hypertrophy and hence could play a role in exercise-related restructuring processes of skeletal muscle. PMID: 24996176
- Periductal myxoid stroma and reduced periductal decorin expression seem to be prognostic for overall ipsilateral locoregional recurrence in ductal carcinoma in situ PMID: 23889174
- The results of our study showed that the presence of increased DCN levels in women with fetal growth restriction could contribute to pathogenesis of the disease. PMID: 24256371
- we identified the methylated +58CpG in DCN 5'-UTR associated with reduced expression of DCN mRNA, thereby downregulating E-cadherin in NSCLC cells with high metastatic potential. PMID: 24424784
- We present the clinical, histopathological, and molecular genetic assessment of a Chinese family with congenital stromal corneal dystrophy in which a novel DCN mutation was identified. PMID: 24413633
- human bladder cancer cells in vitro were negative for decorin expression. PMID: 24146840
- findings have shown that MMP-8 is able to modify the metastatic potential of breast cancer cells because of its ability to proteolytically cleave decorin and regulate miR-21 levels PMID: 23851508
- Overexpress decorin together with angiogenesis- and adhesion/migration-related genes, and that decorin overexpression in the human bladder carcinoma cell line TCCSUP is required for efficient invasiveness in vitro. PMID: 24142880
- decorin-mediated inhibition of cholangiocarcinoma cell growth, migration, and invasion and promotion of cell apoptosis might be through regulation of the expression of E-cadherin in vitro. PMID: 24272200
- Polymorphonuclear cell proteases, especially neutrophil elastase, degrade decorin, and this degradation renders collagen fibrils more susceptible to MMP-1 cleavage. PMID: 24023624
- Micro vessel density and VEGF-A expression were significantly associated with reduced decorin expression in tumor stroma suggesting, decorin as angiogenic modulator in oral squamous cell carcinomas. PMID: 24152495
- Both lumican and decorin are involved in collagen fibrillogenesis and stability. PMID: 23747391
- This age-dependent alteration of decorin GAG may contribute to skin fragility of elderly people. PMID: 23939413
- Decorin lacking c-terminal repeat is retained intracellularly, its accumulation triggering endoplasmic reticulum stress that results in abnormal synthesis and secretion, leading to congenital stromal corneal dystrophy. PMID: 23685109
- decorin induced VEGFR2-dependent mitochondrial fragmentation and loss of mitochondrial membrane potential PMID: 23798385
- The expression of collagen type IalphaI, collagen type III and decorin could be detected in tenocyte-like cell cultures using both enzymatic digestion and cell migration methodology. PMID: 22871215
- immunohistochemistry. Gene expression from mRNA extracted from cartilage showed high levels of decorin expression, likely associated with the large, complex tubular structures running through this cartilage type. PMID: 22490077
- The concentration of aggrecan, biglycan, and decorin was determined in six regions of the human supraspinatus tendon. PMID: 22329809
顯示更多
收起更多
-
相關疾病:Corneal dystrophy, congenital stromal (CSCD)
-
亞細胞定位:Secreted, extracellular space, extracellular matrix.
-
蛋白家族:Small leucine-rich proteoglycan (SLRP) family, SLRP class I subfamily
-
數據庫鏈接:
Most popular with customers
-
-
Phospho-YAP1 (S127) Recombinant Monoclonal Antibody
Applications: ELISA, WB, IHC
Species Reactivity: Human
-
-
-
-
-
-















