DCLK1 Antibody
-
中文名稱:DCLK1兔多克隆抗體
-
貨號:CSB-PA876215
-
規格:¥1100
-
圖片:
-
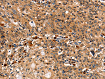
The image on the left is immunohistochemistry of paraffin-embedded Human gastic cancer tissue using CSB-PA876215(DCLK1 Antibody) at dilution 1/25, on the right is treated with synthetic peptide. (Original magnification: ×200)
-
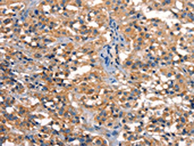
The image on the left is immunohistochemistry of paraffin-embedded Human thyroid cancer tissue using CSB-PA876215(DCLK1 Antibody) at dilution 1/25, on the right is treated with synthetic peptide. (Original magnification: ×200)
-
-
其他:
產品詳情
-
Uniprot No.:
-
基因名:
-
別名:Calcium/calmodulin-dependent protein kinase type I-like CPG16 antibody; CL1 antibody; CLICK1 antibody; Cpg16 antibody; DCDC3A antibody; Dcl antibody; Dclk antibody; Dclk1 antibody; DCLK1_HUMAN antibody; Doublecortin domain-containing protein 3A antibody; Doublecortin-like and CAM kinase-like 1 antibody; Doublecortin-like kinase 1 antibody; KIAA0369 antibody; Serine/threonine-protein kinase DCAMKL1 antibody; Serine/threonine-protein kinase DCLK1 antibody
-
宿主:Rabbit
-
反應種屬:Human,Mouse
-
免疫原:Synthetic peptide of Human DCLK1
-
免疫原種屬:Homo sapiens (Human)
-
標記方式:Non-conjugated
-
抗體亞型:IgG
-
純化方式:Antigen affinity purification
-
濃度:It differs from different batches. Please contact us to confirm it.
-
保存緩沖液:-20°C, pH7.4 PBS, 0.05% NaN3, 40% Glycerol
-
產品提供形式:Liquid
-
應用范圍:ELISA,IHC
-
推薦稀釋比:
Application Recommended Dilution ELISA 1:1000-1:2000 IHC 1:25-1:100 -
Protocols:
-
儲存條件:Upon receipt, store at -20°C or -80°C. Avoid repeated freeze.
-
貨期:Basically, we can dispatch the products out in 1-3 working days after receiving your orders. Delivery time maybe differs from different purchasing way or location, please kindly consult your local distributors for specific delivery time.
-
用途:For Research Use Only. Not for use in diagnostic or therapeutic procedures.
相關產品
靶點詳情
-
功能:Probable kinase that may be involved in a calcium-signaling pathway controlling neuronal migration in the developing brain. May also participate in functions of the mature nervous system.
-
基因功能參考文獻:
- DCLK1 plays an important role in cancer progression and is involved in the regulation of miR-200c expression. PMID: 29656186
- The expression of DCLK1 was found in low-grade adenomas and increased with worsening severity of dysplasia. DCLK1 expression was highly observed in advanced adenomas, which had a clinically higher malignant potential. PMID: 29475922
- High DCLK1 expression is associated with malignant pleural mesothelioma. PMID: 28560410
- On the basis of these data, FOXD3 is a potent repressor of DCLK1-S expression in normal cells; loss of FOXD3 in hCCCs/hCRCs allows upregulation of DCLK1-S, imparting a potent invasive potential to the cells PMID: 28851816
- Expression levels of phosphorylated cdc25A (p-cdc25A) and phosphorylated Chk1 (p-Chk1), belonging to the ATR pathway, were decreased by treatment with Dclk1 inhibitor LRRK2-IN-1 (LRRK), indicating Dclk1 involvement in the ATR pathway PMID: 29048622
- In rectal cancer patients treated with preoperative chemoradiotherapy (CRT), DCLK1 expression was significantly correlated with lymph node metastasis and poor cancer-specific survival. However, in patients treated without preoperative therapy, no such correlation was found. DCLK1 expression can be associated with lymph node metastasis and poor cancer-specific survival in rectal cancer patients who receive CRT. PMID: 29924454
- Pancreatic ductal adenocarcinoma patients with DCLK1-positive tumors had significantly shorter survival times than those with DCLK1-negative tumors. PMID: 28883702
- DCLK1 plays crucial role in the regulation of epithelial-mesenchymal transition.DCLK1 is highly expressed in pancreatic neuroendocrine tumor. PMID: 28179411
- DCLK1 is a prognostic biomarker for shortened survival. Secondly, through inhibition of DCLK1, it may serve as a therapeutic target as well PMID: 28351564
- DCLK1 has been identified as a potential target for miR-448 to regulate lung squamous cell carcinoma cells growth. PMID: 28320089
- Generated a (doublecortin like kinase 1) DCLK1-S-specific polyclonal antibody (S-isoform specific), and studied its use in screening of colon cancer after colonoscopy. PMID: 28414327
- DCLK1 expression was observed in tumor cells in patients with pathological stage I non-small cell lung cancer (NSCLC)and was correlated with adverse prognosis, especially in patients with adenocarcinoma. DCLK1 may be a potential new therapeutic target PMID: 28382517
- Biochemical and structural characterization of DCLK1 allowed for the mapping of cancer-causing mutations within the kinase domain. PMID: 27545623
- Hence, we outline and discuss emerging evidence that strongly supports tuft cells as key regulatory cells in the complex network of the intestinal microenvironment. [review] PMID: 28684459
- Our results indicate that Dclk1 is essential in advancing intestinal tumorigenesis. Knocking down Dclk1 decreases tumor stemness and progression and is thus predicted to regulate pro-survival signaling and tumor cell pluripotency. PMID: 28148261
- The univariate and multivariate analyses suggested DCAMKL1 protein overexpression was an unfavorable prognostic factor in bladder cancer patients. In conclusion, DCAMKL1 is an independent poor prognostic factor for bladder cancer patients. PMID: 28621231
- DCLK1 induction and its overexpression following hepatic injury are likely to contribute to tumorigenesis including maintenance and dissemination of tumor cells in circulation. PMID: 27694285
- first evidence for the suppressive activity of miR-613 in hepatocellular carcinoma, which is causally linked to targeting of DCLK1 PMID: 27049311
- MSX1 and DCLK1 might be used in colorectal cancer detection or as target of cancer therapies. PMID: 27966796
- Increased expression of stromal DCLK1 was detected in endometriotic tissue compared to endometriosis patient endometrium. Stromal expression of DCLK1 was increased in endometrium of endometriosis patients compared to controls. PMID: 27881125
- DCLK1 up-regulation may play a contributory role in colorectal cancer metastasis and poor prognosis via activation of EMT. DCLK1 may serve as an independent predictor for CRC prognosis. PMID: 27520310
- Results showed the mechanism in which miR-137 regulates the expression of DCLK1, and demonstrated the opposite expression patterns of miR-137/DCLK1 in human non-small cell lung carcinoma and colon cancer stem cells. PMID: 26747706
- DCLK1 promoter methylationis associated with lung cancer. PMID: 26311076
- DCLK1 expression could aid in the prognostication and management of breast cancer with neuroendocrine differentiation. PMID: 26621833
- DCLK1 controls these complex cellular signaling pathways to regulate hepatocellular carcinoma growth, and may be used as a prognostic biomarker. PMID: 26468984
- results provide new insights into the molecular mechanism of the hepatitis B/C-virus induced liver inflammation and tumorigenesis via DCLK1-controlled networks PMID: 25948779
- Data suggest that doublecortin and CaM kinase-like 1 protein short-transcripts (DCLK1-S) may represent an important target for preventing/inhibiting colon-cancers, and for eliminating colon-cancer-stem-cells (CSCs). PMID: 26447334
- DCLK1 is essential for the invasive and metastatic properties of pancreatic cancer stem cells. PMID: 26764906
- Data indicate that doublecortin-like kinase 1 (DCLK1) is overexpressed and has a unique methylation signature in renal clear cell carcinoma (RCC). PMID: 25605241
- Doublecortin-like kinase 1 is elevated serologically in pancreatic ductal adenocarcinoma and widely expressed on circulating tumor cells. PMID: 25723399
- Increased expression of DCLK1 was observed in the epithelium, stroma and plasma of patients with Barrett's esophagus and esophageal adenocarcinoma. PMID: 25283374
- Potential exist for DCLK1 as a colorectal cancer biomarker for early detection, but may also have clinical implications regarding the previously proposed therapy toward DCLK1-positive cancer cells. PMID: 24384857
- XMD8-92 treatment results in inhibition of DCLK1 and downstream oncogenic pathways. PMID: 24880079
- RNA interference-mediated silencing of DCLK1 triggers apoptotic cell death of colon cancer cells in vitro and in vivo. PMID: 24626093
- DCLK1 mRNA levels were considerably reduced during FLV treatment. PMID: 24260365
- DCLK1 regulates pluripotency and angiogenic factors via microRNA-dependent mechanisms in pancreatic cancer. PMID: 24040120
- Human pancreatic ductal adenocarcinoma cells contain morphologically and functionally distinct subpopulations, expressing DCLK1, that have cancer stem cell-like properties. PMID: 24096005
- DCAMKL1 represses osteoblast activation by antagonizing Runx2, the master transcription factor in osteoblasts. PMID: 23918955
- Dclk1 distinguishes between tumor and normal stem cells in the intestine. PMID: 23202126
- DCAMKL-1 marks a subset of colorectal stem cells, as well as a subset of entero-endocrine cells. PMID: 22749579
- the progressive increase of DCAMKL-1 expression in Barrett's esophagus from dysplasia to esophageal adenocarcinoma PMID: 21916995
- Several DCLK1 variants were associated with disease phenotypes for rs7989807 in intron 3 (combination of SCZ, ADHD and BP), intron 19 (SCZ+BP) and the 3'UTR (SCZ+BP). PMID: 22539971
- High DCAMKL1 is associated with HCV-induced hepatocarcinogenesis. PMID: 21937640
- Eight suggestive significant loci were detected with a series of genes expressed within the inner ear that underlie the auditory function, such as: DCLK1, PTPRD, GRM8, CMIP. PMID: 21493956
- Data show that siRNA-mediated knockdown of DCAMKL-1 in pancreatic cancer cells induced microRNA miR-200a, an EMT inhibitor, along with downregulation of EMT-associated transcription factors. PMID: 21285251
- Together, our results suggest that silencing the DCLK splice variants DCL and DCLK-long induces apoptosis in NB cells. PMID: 20228126
- genomic organization underlying the splice variants of DCLK and the expression profile of two splice variants affecting the kinase domain of DCLK and CPG16 (candidate plasticity gene 16). PMID: 11884394
- high-quality wild-type crystals of doublecortin-like kinase were obtained and a complete native data set was collected to 1.5 A resolution PMID: 12595708
- an examination of the binding sites on this protein PMID: 12692530
顯示更多
收起更多
-
蛋白家族:Protein kinase superfamily, CAMK Ser/Thr protein kinase family, CaMK subfamily
-
組織特異性:In fetal tissues, highly expressed in brain, detectable in lung and liver, but not in kidney. In adult tissues, expressed ubiquitously in the brain, detectable in the heart, liver, spleen, thymus, prostate, testis, ovary, small intestine and colon. The ty
-
數據庫鏈接:
Most popular with customers
-
-
YWHAB Recombinant Monoclonal Antibody
Applications: ELISA, WB, IHC, IF, FC
Species Reactivity: Human, Mouse, Rat
-
Phospho-YAP1 (S127) Recombinant Monoclonal Antibody
Applications: ELISA, WB, IHC
Species Reactivity: Human
-
-
-
-
-















