DCC Antibody
-
中文名稱:DCC兔多克隆抗體
-
貨號:CSB-PA827634
-
規格:¥1100
-
圖片:
-
The image on the left is immunohistochemistry of paraffin-embedded Human gastic cancer tissue using CSB-PA827634(DCC Antibody) at dilution 1/70, on the right is treated with synthetic peptide. (Original magnification: ×200)
-
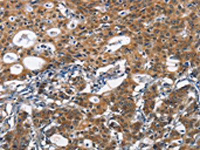
The image on the left is immunohistochemistry of paraffin-embedded Human liver cancer tissue using CSB-PA827634(DCC Antibody) at dilution 1/70, on the right is treated with synthetic peptide. (Original magnification: ×200)
-
-
其他:
產品詳情
-
Uniprot No.:
-
基因名:DCC
-
別名:Colorectal cancer related chromosome sequence 18 antibody; Colorectal cancer suppressor antibody; CRC 18 antibody; CRC18 antibody; CRCR 1 antibody; CRCR1 antibody; DCC antibody; DCC_HUMAN antibody; Deleted in colorectal cancer protein antibody; Deleted in colorectal carcinoma antibody; Immunoglobulin superfamily DCC subclass member 1 antibody; Netrin receptor DCC antibody; Tumor suppressor protein DCC antibody
-
宿主:Rabbit
-
反應種屬:Human,Mouse,Rat
-
免疫原:Synthetic peptide of Human DCC
-
免疫原種屬:Homo sapiens (Human)
-
標記方式:Non-conjugated
-
抗體亞型:IgG
-
純化方式:Antigen affinity purification
-
濃度:It differs from different batches. Please contact us to confirm it.
-
保存緩沖液:-20°C, pH7.4 PBS, 0.05% NaN3, 40% Glycerol
-
產品提供形式:Liquid
-
應用范圍:ELISA,IHC
-
推薦稀釋比:
Application Recommended Dilution ELISA 1:2000-1:5000 IHC 1:50-1:200 -
Protocols:
-
儲存條件:Upon receipt, store at -20°C or -80°C. Avoid repeated freeze.
-
貨期:Basically, we can dispatch the products out in 1-3 working days after receiving your orders. Delivery time maybe differs from different purchasing way or location, please kindly consult your local distributors for specific delivery time.
-
用途:For Research Use Only. Not for use in diagnostic or therapeutic procedures.
相關產品
靶點詳情
-
功能:Receptor for netrin required for axon guidance. Mediates axon attraction of neuronal growth cones in the developing nervous system upon ligand binding. Its association with UNC5 proteins may trigger signaling for axon repulsion. It also acts as a dependence receptor required for apoptosis induction when not associated with netrin ligand. Implicated as a tumor suppressor gene.
-
基因功能參考文獻:
- Based on the variable expressivity and incomplete penetrance present in heterozygous carriers of a DCC variant, classification and clinical interpretation of missense variants is challenging in the absence of evidence of pathogenicity originated from functional studies PMID: 29366874
- Study results indicate that DCC controls corticospinal tract midline crossing in both humans and mice, and that this process is non cell-autonomous in mice. PMID: 28341853
- rs2229080 and rs7504990 polymorphisms in DCC might be related with breast cancer susceptibility in Chinese women. PMID: 27127179
- Somatic DCC mutations are associated with metastatic NUT midline carcinoma. PMID: 28967088
- Authors demonstrate that tripartite motif protein 9 (TRIM9)-dependent ubiquitination of DCC blocks the interaction with and phosphorylation of FAK. PMID: 28701345
- Environmental and endogenous proteases may contribute to cancer development by depleting DCC and neogenin. PMID: 27716118
- Identified DCC mutations in four families. PMID: 28250454
- DCC polymorphism maybe responsible for successful treatment of patients with hydrochlorothiazide . diagnosed with hypertension. PMID: 27381900
- Deleted in colorectal cancer (DCC) confers susceptibility to depression-like behaviors in humans and mice and Is regulated by miR-218. By regulating DCC, miR-218 may be a switch of susceptibility versus resilience to stress-related disorders. PMID: 27773352
- DCC/18q and ERBB2/17q gene copy number variations are associated with disease-free survival in microsatellite stable colon cancer PMID: 28006840
- Allelic and genotypic frequencies of the DCC polymorphism rs2229080 were nominally associated with schizophrenia. PMID: 27055860
- Results of APC and DCC LOH, KRAS and microsatellite instability indicate our colorectal cancer cases were typical of sporadic cancers following the 'chromosomal instability' pathway. PMID: 26970738
- The study identified DCC as a differentially expressed gene and clustered meningiomas into DCC low expression (3 grade I and 3 grade II tumors), DCC medium expression (2 grade I and 1 grade II tumors), and DCC high expression (5 grade I tumors) groups. PMID: 27096627
- Data suggest that, in response to netrin-1/netrin receptor (DCC) signaling, p120RasGAP is recruited to growth cones and supports axon outgrowth; p120RasGAP Src homology 2 domains exhibit scaffolding properties sufficient to support axon outgrowth. PMID: 26710849
- By analyzing multiple myeloma-derived cell lines and patient-derived primary CD138-positive plasma cells ... authors show for the first time that transcriptional dysregulation of DCC is involved in the progression of plasma cell malignancy. PMID: 26390996
- the transfected DCC gene can suppress cell proliferation and lead to downregulation of CEA expression in SW1116 cells. PMID: 26345965
- Signaling mechanism of the netrin-1 receptor DCC in axon guidance PMID: 25881791
- NTN1-DCC pathway contains targets of FDA-approved drugs and may offer promise for guiding applied clinical research on preventive and therapeutic interventions for AMD PMID: 25950802
- DCC mutation correlated with fractionated mirroring in individuals with Congenital mirror movements PMID: 25813273
- Data show that silencing ezrin-radixin-moesin (ERM) protein expression ablates deleted in colorectal carcinoma protein (DCC)-protein kinase A (PKA) interaction and specifically blocks netrin-induced PKA activity and phosphorylation. PMID: 25575591
- Three novel truncating mutations of DCC are associated with congenital mirror movements. PMID: 24808016
- EDNRB and/or DCC methylation in salivary rinses compares well to examination by an expert clinician in CRC of oral lesions. PMID: 23637120
- genetic variations in DCC rs714 (A>G) modulate risk of esophageal and gastric cancers in a high-risk Kashmir population. PMID: 23765761
- Ethnic Malays is genetically susceptible to H. pylori infection and is possibly mediated through a genetic variation in the DCC gene. PMID: 22829558
- results suggested that cohypermethylation of p14 in combination with DCC and/or CADM1 may be an independent prognostic factor for recurrence in patients with stage I ESCC PMID: 23310950
- Netrin-1 and DCC are increased in diseased lumbar intervertebral discs and may play a role in the process of neurovascular growth. PMID: 22588384
- This study re-affirms the role of plausible tumor suppressor DCC variants, in gallbladder carcinogenesis and the risk haplotype may be explored as a useful marker for gallbladder cancer susceptibility. PMID: 23353777
- The results of this study suggested that DCC as a promising novel candidate gene that may contribute to the genetic basis behind individual differences in susceptibility to schizophrenia. PMID: 22418395
- SNP rs7504990 in the DCC showed genome-wide significant association with gallbladder cancer susceptibility. PMID: 22318345
- An unexpected binding mode of the DCC peptide to the subdomain C groove of the FERM domain, which is distinct from previously reported beta-beta associations found in radixin-adhesion molecule complexes. PMID: 21642953
- Lost expression of DCC gene is associated with ovarian cancer. PMID: 20054719
- study reports a novel DCC gene mutation responsible for congenital isolated persistent mirror movements in an Italian family and provide evidence that this entity is genetically heterogeneous PMID: 21242494
- our findings might indicate also an important role for DCC and netrin-1 in human foetal central nervous system development PMID: 20609112
- study found that individuals affected with congenital mirror movements carried protein-truncating mutations in DCC; mutant DCC protein revealed a defect in netrin-1 binding; DCC has an important role in lateralization of the nervous system PMID: 20431009
- DCC methylation was observed in the course of gastric carcinogenesis and disappeared in advanced gastric carcinoma. PMID: 20150623
- DCC receptor is localized to syncytiotrophoblasts and invasive extravillous cytotrophoblasts during the first trimester and at term. PMID: 19826074
- Altered expression of DCC protein is detectable in gastric carcinomas, an event that may have a role in the development of the disease. PMID: 11518545
- The netrin-1 receptor DCC promotes filopodia formation and cell spreading by activating Cdc42 and Rac1. PMID: 11817894
- Loss of dcc gene expression is associated with acute myelogenous leukemia PMID: 12060632
- loss of DCC expression occurs in some colon adenomas, but is insufficient to drive the adenoma to carcinoma progression. PMID: 12432238
- data suggest that the codon 201 polymorphism of the DCC gene was a target of LOH, and predicted prognosis in colorectal cancer patients PMID: 12787729
- DCC binds to netrin, which regulates its interactions with heparin PMID: 12810718
- Prognostic significance of the DCC gene protein expression in high-risk resected gastric carcinoma PMID: 12901278
- Deletions in this gene are found in colorectal and gastric cancers PMID: 12901294
- Multiple aberrations involving the DCC locus may play a role in the progression of nephroblastomas, and hence confer a poorer prognosis. PMID: 14631365
- DCC/netrin-1 signaling may commit cells to the transition of endometrial gland architecture or function from a proliferating to a secretory phase. PMID: 15491747
- Binding of netrin-1 to its receptors inhibits tumour suppressor p53-dependent apoptosis (review) PMID: 15573119
- DCC binds netrin through the fourth fibronectin type III domain. PMID: 15574733
- DCC expression appears not to be predictive in poor survival outcome in patients with stage II or III colorectal cancer. PMID: 15722793
- DCC in both commissural neurons and immortalized cells, is partially associated with cholesterol- and sphingolipid-enriched membrane domains named lipid rafts. PMID: 15811950
顯示更多
收起更多
-
相關疾病:Mirror movements 1 (MRMV1); Gaze palsy, familial horizontal, with progressive scoliosis, 2 (HGPPS2)
-
亞細胞定位:Membrane; Single-pass type I membrane protein.
-
蛋白家族:Immunoglobulin superfamily, DCC family
-
組織特異性:Found in axons of the central and peripheral nervous system and in differentiated cell types of the intestine. Not expressed in colorectal tumor cells that lost their capacity to differentiate into mucus producing cells.
-
數據庫鏈接:
Most popular with customers
-
-
YWHAB Recombinant Monoclonal Antibody
Applications: ELISA, WB, IHC, IF, FC
Species Reactivity: Human, Mouse, Rat
-
Phospho-YAP1 (S127) Recombinant Monoclonal Antibody
Applications: ELISA, WB, IHC
Species Reactivity: Human
-
-
-
-
-















