DBR1 Antibody
-
中文名稱:DBR1兔多克隆抗體
-
貨號:CSB-PA890914LA01HU
-
規格:¥440
-
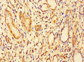
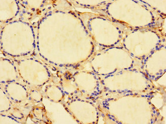
圖片:
-
其他:
產品詳情
-
產品名稱:Rabbit anti-Homo sapiens (Human) DBR1 Polyclonal antibody
-
Uniprot No.:
-
基因名:
-
別名:DBR1 antibody; DBR1_HUMAN antibody; Debranching enzyme homolog 1 (S. cerevisiae) antibody; Lariat debranching enzyme antibody; RNA lariat debranching enzyme antibody
-
宿主:Rabbit
-
反應種屬:Human
-
免疫原:Recombinant Human Lariat debranching enzyme protein (1-220AA)
-
免疫原種屬:Homo sapiens (Human)
-
標記方式:Non-conjugated
本頁面中的產品,DBR1 Antibody (CSB-PA890914LA01HU),的標記方式是Non-conjugated。對于DBR1 Antibody,我們還提供其他標記。見下表:
-
克隆類型:Polyclonal
-
抗體亞型:IgG
-
純化方式:>95%, Protein G purified
-
濃度:It differs from different batches. Please contact us to confirm it.
-
保存緩沖液:Preservative: 0.03% Proclin 300
Constituents: 50% Glycerol, 0.01M PBS, PH 7.4 -
產品提供形式:Liquid
-
應用范圍:ELISA, IHC
-
推薦稀釋比:
Application Recommended Dilution IHC 1:20-1:200 -
Protocols:
-
儲存條件:Upon receipt, store at -20°C or -80°C. Avoid repeated freeze.
-
貨期:Basically, we can dispatch the products out in 1-3 working days after receiving your orders. Delivery time maybe differs from different purchasing way or location, please kindly consult your local distributors for specific delivery time.
-
用途:For Research Use Only. Not for use in diagnostic or therapeutic procedures.
相關產品
靶點詳情
-
功能:Cleaves the 2'-5' phosphodiester linkage at the branch point of lariat intron pre-mRNAs after splicing and converts them into linear molecules that are subsequently degraded. It thereby facilitates ribonucleotide turnover. It may also participate in retrovirus replication via an RNA lariat intermediate in cDNA synthesis.
-
基因功能參考文獻:
- findings support a new view of the early steps in HIV genome replication - they support a model in which lariat formation of viral genomic RNA is important for minus-strand transfer, with DBR1 being required to resolve the lariat to allow reverse transcription to proceed PMID: 28931690
- Transcriptomic sequencing confirmed the effect of hDBR1 on RNA splicing, and metabolite profiling supported the observation that neoplasm is triggered by a decrease in hDBR1 expression both in vitro and in vivo. PMID: 28504715
- saturation mutagenesis of DBR1 and Gal4 and show that the experimental phenotypes for over 80% of the mutations correlate well with predicted effects of mutations on protein stability and RNA binding affinity. PMID: 26797105
- Results of protein-protein interaction between human Dbr1 and factors found in the Intron Large complex identify Xab2 and a novel protein CWF19L1 as specific interactors of DBR1. PMID: 25671812
- Inhibition of DBR1 caused a significant reduction in the formation of intermediate and full-length HIV-1 cDNA. PMID: 24672043
- Dbr1 protein cleaves the 2'-5' phosphodiester bond of intron lariats, necessary for subsequent intron degradation that follows pre-mRNA splicing. PMID: 1850323
顯示更多
收起更多
-
亞細胞定位:Nucleus.
-
蛋白家族:Lariat debranching enzyme family
-
數據庫鏈接:
Most popular with customers
-
-
YWHAB Recombinant Monoclonal Antibody
Applications: ELISA, WB, IHC, IF, FC
Species Reactivity: Human, Mouse, Rat
-
Phospho-YAP1 (S127) Recombinant Monoclonal Antibody
Applications: ELISA, WB, IHC
Species Reactivity: Human
-
-
-
-
-















