-
中文名稱:DBH兔多克隆抗體
-
貨號:CSB-PA020742
-
規格:¥1100
-
圖片:
-
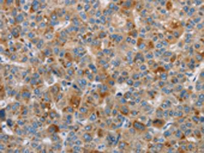
The image on the left is immunohistochemistry of paraffin-embedded Human thyroid cancer tissue using CSB-PA020742(DBH Antibody) at dilution 1/70, on the right is treated with fusion protein. (Original magnification: ×200)
-
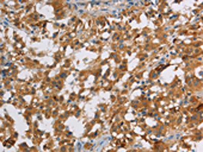
The image on the left is immunohistochemistry of paraffin-embedded Human liver cancer tissue using CSB-PA020742(DBH Antibody) at dilution 1/70, on the right is treated with fusion protein. (Original magnification: ×200)
-
Gel: 8%SDS-PAGE, Lysate: 40 μg, Lane 1-3: Mouse brain tissue, A172 cells, Hela cells, Primary antibody: CSB-PA020742(DBH Antibody) at dilution 1/200, Secondary antibody: Goat anti rabbit IgG at 1/8000 dilution, Exposure time: 10 seconds
-
-
其他:
產品詳情
-
Uniprot No.:
-
基因名:DBH
-
別名:dbh antibody; DBM antibody; Dopamine beta hydroxylase antibody; Dopamine beta monooxygenase antibody; Dopamine beta-hydroxylase (dopamine beta-monooxygenase) antibody; Dopamine beta-monooxygenase antibody; DOPO_HUMAN antibody; OTTHUMP00000022501 antibody; Soluble dopamine beta-hydroxylase antibody
-
宿主:Rabbit
-
反應種屬:Human,Mouse
-
免疫原:Fusion protein of Human DBH
-
免疫原種屬:Homo sapiens (Human)
-
標記方式:Non-conjugated
-
抗體亞型:IgG
-
純化方式:Antigen affinity purification
-
濃度:It differs from different batches. Please contact us to confirm it.
-
保存緩沖液:-20°C, pH7.4 PBS, 0.05% NaN3, 40% Glycerol
-
產品提供形式:Liquid
-
應用范圍:ELISA,WB,IHC
-
推薦稀釋比:
Application Recommended Dilution ELISA 1:2000-1:10000 WB 1:200-1:1000 IHC 1:100-1:300 -
Protocols:
-
儲存條件:Upon receipt, store at -20°C or -80°C. Avoid repeated freeze.
-
貨期:Basically, we can dispatch the products out in 1-3 working days after receiving your orders. Delivery time maybe differs from different purchasing way or location, please kindly consult your local distributors for specific delivery time.
-
用途:For Research Use Only. Not for use in diagnostic or therapeutic procedures.
引用文獻
- Developmental Parallels Between the Human Organs of Zuckerkandl and Adrenal Medulla E Otlyga, D Otlyga, O Junemann, Y Krivova,Life,2025
- Comparative Morphological and Immunohistochemical Characteristics of the Human Fetal Organs of Zuckerkandl and Adrenal Medulla E Otlyga, D Otlyga, O Junemann, Y Krivova,Cell and Tissue Research,2024
相關產品
靶點詳情
-
功能:Conversion of dopamine to noradrenaline.
-
基因功能參考文獻:
- Most DBH polymorphisms from the currently available loci showed no linkage to Alzheimer's disease, Parkinson's disease, and schizophrenia, indicating the lower possibility of these loci serving as genetic markers of the risks of diseases with neurodegenerative characteristics. On the other hand, the DBH rs2283123 and rs2007153 polymorphisms could have opposite effects on schizophrenia development in Caucasians PMID: 30453293
- The findings of this study confirmed a strong association between genotype at rs1611115 and pDbetaH activity in Chinese patients with schizophrenia. Our data also suggest the rs1108580 polymorphism may influence some aspects of cognitive function in schizophrenia. PMID: 28647493
- Its single-nucleotide polymorphisms involves in dopaminergic metabolism and motor and cognitive function in older adults PMID: 29525179
- This study demonstrate the genetic influence of a family history of alcohol use disorders and DAT and DBH gene polymorphisms on the risk of withdrawal seizures and delirium tremens. PMID: 28139629
- Homospecific activity computed for the WT of DBH and variant proteins showed a marginal decrease in A318S, W544S and R549C variants PMID: 28707163
- This study indicated that DBH5'-Ins/Del polymorphism may not play a role in the susceptibility to tardive dyskinesia and cognitive deficits in schizophrenia with tardive dyskinesia. PMID: 27776953
- DRD2 A2/A1, DRD3 Ser9Gly, DbetaH -1021C>T, OPRM1 A118G and GRIK1 rs2832407C>A are not associated with alcoholism alone or in interaction. PMID: 27447243
- Results suggest that interference of cannabis and cocaine with cognitive impulse control and functional corticostriatal connectivity depends on DBH genotype. PMID: 26667034
- Dopamine beta-Hydroxylase Deficiency is associated with Hyperinsulinemia and Insulin Resistance. PMID: 27778639
- Dopamin Beta Hydroxylase gene +1603C > T polymorphism may be one of the many genetic factors for migraine susceptibility in the Turkish population. PMID: 26868704
- The genotype and allele distribution frequencies in rs1611115 were different between Parkinson's disease patients and the healthy control. The TT genotype may lead to a 2.95 times higher risk of Parkinson's disease occurrence compared with the common genotype CC. DBH rs1611115 polymorphism was likely to be associated with the susceptibility to PD, but we did not find that rs732833 is a susceptibility marker PMID: 27177268
- Results suggest that the DBH gene may play an important role in the occurrence of schizophrenia (SCZ). Also, rs1611114 may be associated with SCZ susceptibility and related clinical symptoms in the Chinese Zhuang but not Han Chinese population. PMID: 27236774
- Study found that the functional T allele in DBH SNP rs1611115, which reduces the conversion of dopamine to norepinephrine, corresponds with different BOLD-signal changes in responses to gambling, drug or sad cues in individuals with and without pathological gambling PMID: 27194378
- This study demonstrated that the association between DbetaH genotype (C1021T), early onset of conduct disorder and psychopathic traits in juvenile delinquents. PMID: 26616837
- We report the crystal structure of human dopamine b-hydroxylase, which is the enzyme converting dopamine to norepinephrine. The structure of the DOMON (dopamine b-monooxygenase N-terminal) domain, also found in 1600 other proteins, reveals a possible metal-binding site and a ligand-binding pocket PMID: 27152332
- The p.Val26Met variant in the dopamine beta-hydroxylase gene at 9q34.2 was associated with Lung Cancer. PMID: 26762739
- A DBH gene variant, rs129882, which confers risk to attention deficit hyperactivity disorder, is also associated with reduced in vitro gene expression. PMID: 25975715
- No significant association was found between the DbetaH 5'-Ins/Del polymorphism and patients with chronic schizophrenia. PMID: 26891013
- This study finding significant excess of rare nonsynonymous variants exclusive to European Americans smokers in DBH. PMID: 25450229
- did not find a significant association of rs1611115 with PTSD risk [meta-analysis] PMID: 26986136
- Reported is the construction of a tissue engineered intervertebral disc with high biological activity using an allogeneic intervertebral disc supplemented with transfected nucleus pulposus cells expressing exogenous dopamine beta-hydroxylase. PMID: 26400296
- There was no significant relationship between Migraine susceptibility and genetic polymorphisms of DBH. PMID: 26632697
- Results suggest that the DBH5'-Ins/Del polymorphism may not contribute directly to the development of tardive dyskinesia in schizophrenia, but it may be involved in the excited behavior of tardive dyskinesia patients PMID: 25336319
- C-1021T polymorphism not associated with orthostatic hypotensive risk in a Chinese population PMID: 24990418
- this study shows the influence of 444 G/A (rs 1108580) and -1021 C/T (rs 1611115) polymorphisms of the dopamine beta-hydroxylase (DBH) gene on clinical parameters of the trajectory of alcohol dependence. PMID: 26356164
- Identification of DBH variants with strong effects makes it possible to take advantage of Mendelian randomization approaches to test causal effects of this intermediate trait on disease. PMID: 24986918
- DBH5'-Ins/Del and -1021C/T polymorphism in promoter region of DBH gene was associated with major depressive disorder. PMID: 24888991
- The genetic polymorphism in dopamine beta-hydroxylase is associated with methamphetamine-induced paranoia and influences smoking initiation. PMID: 24521142
- This study demonstrated the importance of DBH -1021C/T as a genetic basis of empathy and in predicting individual differences in social and affective processing. PMID: 23988761
- Demonstrate profound effects of DBH variants on expression in 2 sympathetically innervated organs, liver and lung, and association of these variants with clinical phenotypes responsive to peripheral sympathetic tone. PMID: 25326128
- An association between dopamine-beta hydroxylase (DBH) promoter polymorphisms (a 5'-ins/del and a GTn repeats) and a history of suicide attempt in 223 chronic schizophrenia individuals, was studied. PMID: 24710129
- This study demonistrated that the Polymorphisms of dopamine beta hydroxylase is not not associated with Alzheimer's disease. PMID: 24201835
- Individuals with the normal DbetaH activity genotype (CC) showed no differential response to levodopa treatment for cocaine dependence PMID: 24809448
- role for DBH promoter variation in long-term renal decline rate PMID: 24391727
- Data suggest that the interaction of single nucleotide polymorphism (SNP) of interleukin-10 (IL-10) and and dopamine beta-hydroxylase (DBH) may play a role in the general symptoms on PANSS in schizophrenic patients with Tardive dyskinesia (TD). PMID: 23951054
- This study show DBH5'-ins/del heterozygotes (associated with average level of plasma DbetaH activity) showed increased post-error slowing compared to del/del homozygotes and ins/ins homozygotes (associated with low and high level of plasma DbetaH activity. PMID: 23962674
- This study presents evidence for a potentially functional DBH variant influencing the risk for alcohol dependence while other comorbid conditions are not independently influenced PMID: 23906995
- These results suggested that dopamine beta hydroxylase gene (DBH) might be related to attention-deficit hyperactivity disorder (ADHD)symptoms in korean children. PMID: 23692268
- This study identified that the DBH5'-Ins/Del polymorphism may contribute to the susceptibility to first-episode schizophrenic patients. PMID: 23707643
- genetic association studies in the Netherlands: Data suggest that an SNP in DBH (rs2519152) is associated with attention deficit disorder with hyperactivity (but not substance abuse disorders). [PILOT STUDY] PMID: 22841130
- although the DBH 5'-Ins/Del polymorphism was not associated with susceptibility to TD in patients with schizophrenia, it might be related to positive symptoms of schizophrenia PMID: 23559427
- This study showed genotypes-independent decrease in pDBH activity in patients with AD compared to enzyme activity in age-matched healthy controls. We did not confirm the association of low activity T allele variant of the DBH C-970T and alzheimer disease. PMID: 23416088
- the dopamine beta-hydroxylase (DBH) polymorphism (DBH -1021C/T) that is associated with low DbetaH levels also was associated with greater improvement in cocaine positive urines in the vaccine-treated group. PMID: 23458673
- -1021TT genotype may be implicated with a more progressive nature of heroin addiction, although DBH -1021C/T is unlikely to be involved in the risk of heroin addiction. PMID: 23510745
- DBH rs7239728 imparted significant migraine risk at genotypic, allelic & carrier analyses. 2 genotype interactions between ANKK1 rs1800497 & DBH rs72393728 polymorphisms showed significant risks. PMID: 22875483
- DBH and MAOA can influence human attentional biases, and there is a gene-gene interaction between the DBH and MAOA on attentional bias for negative expressions. PMID: 23054588
- the DBH genotype of a patient could be used to identify a subset of individuals for which disulfiram treatment might be an effective pharmacotherapy for cocaine dependence. PMID: 22906516
- The 1603C>T polymorphism of the DBH gene is associated with susceptibility to bipolar disorder in a Turkish population. PMID: 23384717
- The distribution of AA genotype and A allele frequencies of rs5320 in the dopamine beta-hydroxylase gene in ADHD children differed significantly from that in healthy controls. PMID: 22895683
- These results suggest that the DBH 5'-Ins/Del polymorphism may influence smoking severity among schizophrenic smokers. PMID: 22871345
顯示更多
收起更多
-
相關疾病:Dopamine beta-hydroxylase deficiency (DBH deficiency)
-
亞細胞定位:[Soluble dopamine beta-hydroxylase]: Cytoplasmic vesicle, secretory vesicle lumen. Cytoplasmic vesicle, secretory vesicle, chromaffin granule lumen. Secreted.; Cytoplasmic vesicle, secretory vesicle membrane; Single-pass type II membrane protein. Cytoplasmic vesicle, secretory vesicle, chromaffin granule membrane; Single-pass type II membrane protein.
-
蛋白家族:Copper type II ascorbate-dependent monooxygenase family
-
數據庫鏈接:
Most popular with customers
-
-
YWHAB Recombinant Monoclonal Antibody
Applications: ELISA, WB, IHC, IF, FC
Species Reactivity: Human, Mouse, Rat
-
Phospho-YAP1 (S127) Recombinant Monoclonal Antibody
Applications: ELISA, WB, IHC
Species Reactivity: Human
-
-
-
-
-















