DAZ2 Antibody
-
中文名稱:DAZ2兔多克隆抗體
-
貨號:CSB-PA623785ESR1HU
-
規格:¥440
-
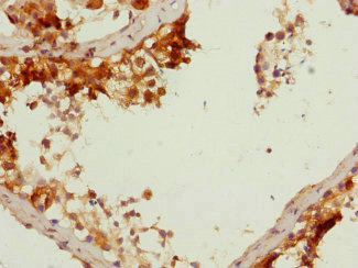
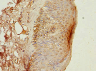
圖片:
-
其他:
產品詳情
-
產品名稱:Rabbit anti-Homo sapiens (Human) DAZ2 Polyclonal antibody
-
Uniprot No.:
-
基因名:DAZ2
-
別名:DAZ2 antibody; DAZ2_HUMAN antibody; DAZ3 antibody; Deleted in azoospermia 2 antibody; Deleted in azoospermia protein 2 antibody; Deleted in azoospermia protein 3 antibody; MGC126442 antibody; pDP1678 antibody
-
宿主:Rabbit
-
反應種屬:Human
-
免疫原:Recombinant Human Deleted in azoospermia protein 2 protein (1-200AA)
-
免疫原種屬:Homo sapiens (Human)
-
標記方式:Non-conjugated
-
克隆類型:Polyclonal
-
抗體亞型:IgG
-
純化方式:Antigen Affinity Purified
-
濃度:It differs from different batches. Please contact us to confirm it.
-
保存緩沖液:PBS with 0.02% sodium azide, 50% glycerol, pH7.3.
-
產品提供形式:Liquid
-
應用范圍:ELISA, IHC
-
推薦稀釋比:
Application Recommended Dilution IHC 1:20-1:200 -
Protocols:
-
儲存條件:Upon receipt, store at -20°C or -80°C. Avoid repeated freeze.
-
貨期:Basically, we can dispatch the products out in 1-3 working days after receiving your orders. Delivery time maybe differs from different purchasing way or location, please kindly consult your local distributors for specific delivery time.
-
用途:For Research Use Only. Not for use in diagnostic or therapeutic procedures.
相關產品
靶點詳情
-
功能:RNA-binding protein that plays an essential role in spermatogenesis. May act by binding to the 3'-UTR of mRNAs and regulating their translation.
-
基因功能參考文獻:
- study reported a new type of AZFc deletion (gr/gr-DAZ2-DAZ4-CDY1b) and hypothesis that this new deletion is the result of 2 successive events favored by the unstable structure of AZFc region; also demonstrated that this deletion constitutes a relative high-risk factor for male infertility in Tunisian population PMID: 27457284
- There appears to be an asociation of DAZ1/DAZ2 deletion with spermatogenic impairment and male infertility in the South Chinese population. PMID: 23512232
- Deletion of DAZ2 and DAZ4 gene copies is associated with male infertility. PMID: 24878370
- DAZ gene copy number in severely idiopathic infertile men. Gene deletion of two copies of DAZ (DAZI and 2) was the cause of spermatogenic damage. PMID: 11883873
-
相關疾病:Spermatogenic failure Y-linked 2 (SPGFY2)
-
亞細胞定位:Cytoplasm. Nucleus. Note=Predominantly cytoplasmic. Nuclear at some stages of spermatozoide development. Localizes both to the nuclei and cytoplasm of spermatozoide differentiation. Nuclear in fetal gonocytes and in spermatogonial nuclei. It then relocates to the cytoplasm during male meiosis.
-
蛋白家族:RRM DAZ family
-
組織特異性:Testis specific.
-
數據庫鏈接:
Most popular with customers
-
-
YWHAB Recombinant Monoclonal Antibody
Applications: ELISA, WB, IHC, IF, FC
Species Reactivity: Human, Mouse, Rat
-
Phospho-YAP1 (S127) Recombinant Monoclonal Antibody
Applications: ELISA, WB, IHC
Species Reactivity: Human
-
-
-
-
-















