DAPL1 Antibody
-
中文名稱:DAPL1兔多克隆抗體
-
貨號:CSB-PA006502LA01HU
-
規格:¥440
-
圖片:
-
其他:
產品詳情
-
產品名稱:Rabbit anti-Homo sapiens (Human) DAPL1 Polyclonal antibody
-
Uniprot No.:
-
基因名:DAPL1
-
別名:dapL1 antibody; DAPL1_HUMAN antibody; death associated protein-like 1 antibody; Death-associated protein-like 1 antibody; Early epithelial differentiation-associated protein antibody; EEDA antibody; RP23-151F21.4 antibody
-
宿主:Rabbit
-
反應種屬:Human
-
免疫原:Recombinant Human Death-associated protein-like 1 protein (1-107AA)
-
免疫原種屬:Homo sapiens (Human)
-
標記方式:Non-conjugated
本頁面中的產品,DAPL1 Antibody (CSB-PA006502LA01HU),的標記方式是Non-conjugated。對于DAPL1 Antibody,我們還提供其他標記。見下表:
-
克隆類型:Polyclonal
-
抗體亞型:IgG
-
純化方式:>95%, Protein G purified
-
濃度:It differs from different batches. Please contact us to confirm it.
-
保存緩沖液:Preservative: 0.03% Proclin 300
Constituents: 50% Glycerol, 0.01M PBS, PH 7.4 -
產品提供形式:Liquid
-
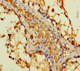
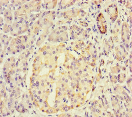
應用范圍:ELISA, IHC
-
推薦稀釋比:
Application Recommended Dilution IHC 1:20-1:200 -
Protocols:
-
儲存條件:Upon receipt, store at -20°C or -80°C. Avoid repeated freeze.
-
貨期:Basically, we can dispatch the products out in 1-3 working days after receiving your orders. Delivery time maybe differs from different purchasing way or location, please kindly consult your local distributors for specific delivery time.
-
用途:For Research Use Only. Not for use in diagnostic or therapeutic procedures.
相關產品
靶點詳情
-
功能:May play a role in the early stages of epithelial differentiation or in apoptosis.
-
基因功能參考文獻:
- Authors show that DAPL1 is a novel regulator of RPE cell proliferation that is important for the maintenance of the RPE as a monolayer. The findings suggest that DAPL1 dysregulation may be involved in abnormal RPE-related proliferative diseases and corresponding retinal dysfunctions in humans. PMID: 28334846
- DAPL1 plays a role in epithelial differentiation and may be involved in apoptotic processes thereby suggesting a possible novel pathway in AMD pathogenesis. PMID: 25680934
-
組織特異性:Expressed in hair follicle (at protein level).
-
數據庫鏈接:
Most popular with customers
-
-
YWHAB Recombinant Monoclonal Antibody
Applications: ELISA, WB, IHC, IF, FC
Species Reactivity: Human, Mouse, Rat
-
Phospho-YAP1 (S127) Recombinant Monoclonal Antibody
Applications: ELISA, WB, IHC
Species Reactivity: Human
-
-
-
-
-















